> Antigen, Antibodies, ELISA, Western Blot > Primary Antibody > Polyclonal Antibodies > SPHK2 Antibody (C-term)Brand |
Leading Biology | Catalog Number |
APS00021G |
Product Type |
Polyclonal Antibodies | Field of Research |
|
Product Overview |
We constantly strive to ensure we provide our customers with the best antibodies. As a result of this work we offer this antibody in purified format.
We are in the process of updating our datasheets. If you have any questions regarding this update, please feel free to contact our technical support team.
This product is a high quality SPHK2 antibody (C-term).
|
||
Molecular Weight |
69217 Da
|
||
Cellular Localization |
Antigen Cellular Localization:
Isoform 1: Cytoplasm. Membrane.
|
||
Host |
Rabbit
|
||
Species Reactivity |
Human
|
||
Immunogen |
590-620 aa
|
||
Target |
This SPHK2 antibody is generated from rabbits immunized with a KLH conjugated synthetic peptide between 590-620 amino acids from the C-terminal region of human SPHK2.
|
||
Isotype |
Rabbit Ig
|
||
GeneID |
|||
UniProt ID |
|||
Function |
Catalyzes the phosphorylation of sphingosine to form sphingosine 1-phosphate (SPP), a lipid mediator with both intra- and extracellular functions. Also acts on D-erythro- dihydrosphingosine, D-erythro-sphingosine and L-threo- dihydrosphingosine. Binds phosphoinositides.
|
||
Summary |
Sphingosine Kinase (SphK) catalyzes the phosphorylation of the lipid sphingosine, creating the bioactive lipid sphingosine-1-phosphate (S1P). S1P subsequently signals through cell surface G protein-coupled receptors, as well as intracellularly, to modulate cell proliferation, survival, motility and differentiation. SphK is an important signaling enzyme which is activated by diverse agents, including growth factors that signal through receptor tyrosine kinases, agents activating G protein-coupled receptors, and immunoglobulin receptors. Two SphK isotypes, SphK-1 and SphK-2, have been cloned, and both isotypes are ubiquitously expressed. SphK-1 has been shown to mediate cell growth, prevention of apoptosis, and cellular transformation, and is upregulated in a variety of human tumors. In contrast, SphK-2 increases apoptosis, and may be responsible for phosphorylating and activating the immunosuppressive drug FTY720.
|
||
Form |
Purified polyclonal antibody supplied in PBS with 0.09% (W/V) sodium azide. This antibody is prepared by Saturated Ammonium Sulfate (SAS) precipitation followed by dialysis against PBS. |
||
Storage & Stability |
Store at +4°C short term. For long-term storage, aliquot and store at -20°C or below. Stable for 12 months at -20°C. Avoid repeated freeze-thaw cycles.
|
||
Applications |
WB, IHC-P, E
|
||
Dilution |
WB~~1:1000
IHC-P~~1:50~100
|
||
Synonyms |
Sphingosine kinase 2, SK 2, SPK 2, SPHK2
|
||
Images |
SPHK2 Antibody (A605) (Cat. APS00021G) western blot analysis in HepG2 cell line lysates (35ug/lane).This demonstrates the SPHK2 antibody detected the SPHK2 protein (arrow).
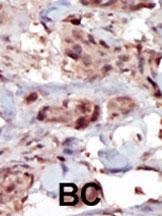
Formalin-fixed and paraffin-embedded human cancer tissue reacted with the primary antibody, which was peroxidase-conjugated to the secondary antibody, followed by AEC staining. This data demonstrates the use of this antibody for immunohistochemistry; clinical relevance has not been evaluated. BC = breast carcinoma; HC = hepatocarcinoma. |
||
Specification |
|||
Quantity |
|
||
| Select | Brand | Catalog No. | Product Name | Pack Size | Type | Field of Research | Specification | Quantity | Price(USD) | |
| 1 | Leading Biology | APR03440G | ITGA11 Antibody (N-term) | 100 μl | Polyclonal Antibodies |
|
$495.00 | Add Ask | ||
| 2 | Leading Biology | APR04537G | CMIP Antibody (C-term) | 100 μl | Polyclonal Antibodies |
|
$495.00 | Add Ask | ||
| 3 | Leading Biology | APR12422G | Human H4 Histamine Receptor (extracellular) Antibody | 50 μl | Polyclonal Antibodies |
|
$695.00 | Add Ask | ||
| 4 | Leading Biology | APR03844G | UBE2W Antibody (C-term) | 100 μl | Polyclonal Antibodies |
|
$495.00 | Add Ask | ||
| 5 | Leading Biology | APR04349G | HECTD2 Antibody (N-term) | 100 μl | Polyclonal Antibodies |
|
$495.00 | Add Ask | ||
| 6 | Leading Biology | APR03502G | IGHG1 Antibody (Center) | 100 μl | Polyclonal Antibodies |
|
$495.00 | Add Ask |
Leading Biology Inc.
2600 Hilltop DR, Building G, B Suite C138
Richmond, CA, 94806
Tel: 1-661-524(LBI)-0262
Email: info@leadingbiology.com
Complete this form and click send to ask us a question, request a quote or simply say hello.

You have 0 item in your cart

You have 0 item in your inquiry list