> Antigen, Antibodies, ELISA, Western Blot > Primary Antibody > Polyclonal Antibodies > PIP5K3 Antibody (Center)Brand |
Leading Biology | Catalog Number |
APR10846G |
Product Type |
Polyclonal Antibodies | Field of Research |
|
Product Overview |
We constantly strive to ensure we provide our customers with the best antibodies. As a result of this work we offer this antibody in purified format.
We are in the process of updating our datasheets. If you have any questions regarding this update, please feel free to contact our technical support team.
This product is a high quality PIP5K3 antibody (Center).
|
||
Molecular Weight |
237136 Da
|
||
Cellular Localization |
Antigen Cellular Localization:
Endosome membrane Note=Mainly associated with membranes of the late endocytic pathway
|
||
Host |
Rabbit
|
||
Species Reactivity |
Human
|
||
Immunogen |
1531-1561 aa
|
||
Target |
This PIP5K3 antibody is generated from rabbits immunized with a KLH conjugated synthetic peptide between 1531-1561 amino acids from the Central region of human PIP5K3.
|
||
Isotype |
Rabbit Ig
|
||
Symbol |
KIAA0981, PIP5K3
|
||
GeneID |
|||
UniProt ID |
|||
Function |
The PI(3,5)P2 regulatory complex regulates both the synthesis and turnover of phosphatidylinositol 3,5-bisphosphate (PtdIns(3,5)P2). Catalyzes the phosphorylation of phosphatidylinositol 3-phosphate on the fifth hydroxyl of the myo- inositol ring, to form phosphatidylinositol 3,5-bisphosphate. Required for endocytic-vacuolar pathway and nuclear migration. Plays a role in the biogenesis of endosome carrier vesicles (ECV)/ multivesicular bodies (MVB) transport intermediates from early endosomes.
|
||
Summary |
PIP5K3 belongs to a large family of lipid kinases that alter the phosphorylation status of intracellular phosphatidylinositol. Signaling by phosphorylated species of phosphatidylinositol regulates diverse cellular processes, including membrane trafficking and cytoskeletal reorganization.
|
||
Form |
Purified polyclonal antibody supplied in PBS with 0.09% (W/V) sodium azide. This antibody is prepared by Saturated Ammonium Sulfate (SAS) precipitation followed by dialysis against PBS. |
||
Storage & Stability |
Store at +4°C short term. For long-term storage, aliquot and store at -20°C or below. Stable for 12 months at -20°C. Avoid repeated freeze-thaw cycles.
|
||
Applications |
WB, IHC-P, E
|
||
Dilution |
WB~~1:1000
IHC-P~~1:50~100
|
||
Synonyms |
1-phosphatidylinositol 3-phosphate 5-kinase, Phosphatidylinositol 3-phosphate 5-kinase, FYVE finger-containing phosphoinositide kinase, PIKfyve, Phosphatidylinositol 3-phosphate 5-kinase type III, PIPkin-III, Type III PIP kinase, PIKFYVE, KIAA0981, PIP5K3
|
||
Images |
Western blot analysis of PIP5K3 (arrow) using rabbit polyclonal PIP5K3 Antibody (Center) (Cat. APR10846G). 293 cell lysates (2 ug/lane) either nontransfected (Lane 1) or transiently transfected with the PIP5K3 gene (Lane 2) (Origene Technologies).
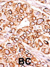
Formalin-fixed and paraffin-embedded human cancer tissue reacted with the primary antibody, which was peroxidase-conjugated to the secondary antibody, followed by AEC staining. This data demonstrates the use of this antibody for immunohistochemistry; clinical relevance has not been evaluated. BC = breast carcinoma; HC = hepatocarcinoma. |
||
Specification |
|||
Quantity |
|
||
| Select | Brand | Catalog No. | Product Name | Pack Size | Type | Field of Research | Specification | Quantity | Price(USD) | |
| 1 | Leading Biology | APR03440G | ITGA11 Antibody (N-term) | 100 μl | Polyclonal Antibodies |
|
$495.00 | Add Ask | ||
| 2 | Leading Biology | APR04537G | CMIP Antibody (C-term) | 100 μl | Polyclonal Antibodies |
|
$495.00 | Add Ask | ||
| 3 | Leading Biology | APR12422G | Human H4 Histamine Receptor (extracellular) Antibody | 50 μl | Polyclonal Antibodies |
|
$695.00 | Add Ask | ||
| 4 | Leading Biology | APR03844G | UBE2W Antibody (C-term) | 100 μl | Polyclonal Antibodies |
|
$495.00 | Add Ask | ||
| 5 | Leading Biology | APR04349G | HECTD2 Antibody (N-term) | 100 μl | Polyclonal Antibodies |
|
$495.00 | Add Ask | ||
| 6 | Leading Biology | APR03502G | IGHG1 Antibody (Center) | 100 μl | Polyclonal Antibodies |
|
$495.00 | Add Ask |
Leading Biology Inc.
2600 Hilltop DR, Building G, B Suite C138
Richmond, CA, 94806
Tel: 1-661-524(LBI)-0262
Email: info@leadingbiology.com
Complete this form and click send to ask us a question, request a quote or simply say hello.

You have 0 item in your cart

You have 0 item in your inquiry list