> Antigen, Antibodies, ELISA, Western Blot > Primary Antibody > Polyclonal Antibodies > GREMLIN Antibody (C-term)Brand |
Leading Biology | Catalog Number |
AMM08565G |
Product Type |
Polyclonal Antibodies | Field of Research |
|
Product Overview |
We constantly strive to ensure we provide our customers with the best antibodies. As a result of this work we offer this antibody in purified format.
We are in the process of updating our datasheets. If you have any questions regarding this update, please feel free to contact our technical support team.
This product is a high quality GREMLIN antibody (C-term).
|
||
Molecular Weight |
20710 Da
|
||
Cellular Localization |
Antigen Cellular Localization:
Secreted.
|
||
Host |
Rabbit
|
||
Species Reactivity |
Human, Mouse
|
||
Immunogen |
147-175 aa
|
||
Target |
This GREMLIN antibody is generated from rabbits immunized with a KLH conjugated synthetic peptide between 147-175 amino acids from the C-terminal region of mouse GREMLIN.
|
||
Isotype |
Rabbit Ig
|
||
Symbol |
Cktsf1b1, Drm
|
||
GeneID |
|||
UniProt ID |
|||
Function |
Cytokine that may play an important role during carcinogenesis and metanephric kidney organogenesis, as BMP a antagonist required for early limb outgrowth and patterning in maintaining the FGF4-SHH feedback loop. Down-regulates the BMP4 signaling in a dose-dependent manner. Acts as inhibitor of monocyte chemotaxis.
|
||
Summary |
GREMLIN is a member of the BMP (bone morphogenic protein) antagonist family. Like BMPs, BMP antagonists contain cystine knots and typically form homo- and heterodimers. The CAN (cerberus and dan) subfamily of BMP antagonists, to which this gene belongs, is characterized by a C-terminal cystine knot with an eight-membered ring. The antagonistic effect of the secreted glycosylated protein encoded by this gene is likely due to its direct binding to BMP proteins. As an antagonist of BMP, this gene may play a role in regulating organogenesis, body patterning, and tissue differentiation. In mouse, this protein has been shown to relay the sonic hedgehog (SHH) signal from the polarizing region to the apical ectodermal ridge during limb bud outgrowth.
|
||
Form |
Purified polyclonal antibody supplied in PBS with 0.09% (W/V) sodium azide. This antibody is prepared by Saturated Ammonium Sulfate (SAS) precipitation followed by dialysis against PBS. |
||
Storage & Stability |
Store at +4°C short term. For long-term storage, aliquot and store at -20°C or below. Stable for 12 months at -20°C. Avoid repeated freeze-thaw cycles.
|
||
Applications |
WB, IHC-P, E
|
||
Dilution |
WB~~1:1000
IHC-P~~1:50~100
|
||
Synonyms |
Gremlin-1, Cysteine knot superfamily 1, BMP antagonist 1, Down-regulated in Mos-transformed cells protein, Grem1, Cktsf1b1, Drm
|
||
Images |
Western blot analysis of anti-Gremlin Pab (Cat. AMM08565G) in CEM cell line lysates (35ug/lane). Gremlin (arrow) was detected using the purified Pab.
Western blot analysis of anti-Gremlin Pab (Cat. AMM08565G) in mouse liver cell lysate. Gremlin (arrow) was detected by using AMM08565G. Secondary HRP-anti-rabbit was used for signal visualization with chemiluminescence.
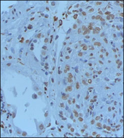
Formalin-PBS and Bouin embedded paraffin human renal tissue pretreated with heat induced epitope retrieval Citrate buffer pH 6.0 in microwave. Dilution of primary antibody was 1:50. Detection method was ABC system or Vectastaint Elite VECTOR. Data and protocol courtesy of Dr. Maria E. Burgos of Universidad Austral de Chile. |
||
Specification |
|||
Quantity |
|
||
| Select | Brand | Catalog No. | Product Name | Pack Size | Type | Field of Research | Specification | Quantity | Price(USD) | |
| 1 | Leading Biology | APR03440G | ITGA11 Antibody (N-term) | 100 μl | Polyclonal Antibodies |
|
$495.00 | Add Ask | ||
| 2 | Leading Biology | APR04537G | CMIP Antibody (C-term) | 100 μl | Polyclonal Antibodies |
|
$495.00 | Add Ask | ||
| 3 | Leading Biology | APR12422G | Human H4 Histamine Receptor (extracellular) Antibody | 50 μl | Polyclonal Antibodies |
|
$695.00 | Add Ask | ||
| 4 | Leading Biology | APR03844G | UBE2W Antibody (C-term) | 100 μl | Polyclonal Antibodies |
|
$495.00 | Add Ask | ||
| 5 | Leading Biology | APR04349G | HECTD2 Antibody (N-term) | 100 μl | Polyclonal Antibodies |
|
$495.00 | Add Ask | ||
| 6 | Leading Biology | APR03502G | IGHG1 Antibody (Center) | 100 μl | Polyclonal Antibodies |
|
$495.00 | Add Ask |
Leading Biology Inc.
2600 Hilltop DR, Building G, B Suite C138
Richmond, CA, 94806
Tel: 1-661-524(LBI)-0262
Email: info@leadingbiology.com
Complete this form and click send to ask us a question, request a quote or simply say hello.

You have 0 item in your cart

You have 0 item in your inquiry list