> Antigen, Antibodies, ELISA, Western Blot > Primary Antibody > Polyclonal Antibodies > Dtnbp1 Antibody (N-term)Brand |
Leading Biology | Catalog Number |
APR14102G |
Product Type |
Polyclonal Antibodies | Field of Research |
|
Product Overview |
We constantly strive to ensure we provide our customers with the best antibodies. As a result of this work we offer this antibody in purified format.
We are in the process of updating our datasheets. If you have any questions regarding this update, please feel free to contact our technical support team.
This product is a high quality Dtnbp1 antibody (N-term).
|
||
Molecular Weight |
39651 Da
|
||
Cellular Localization |
Antigen Cellular Localization:
Isoform 1: Cytoplasm. Cytoplasmic vesicle membrane; Peripheral membrane protein; Cytoplasmic side. Endosome membrane; Peripheral membrane protein; Cytoplasmic side Melanosome membrane; Peripheral membrane protein; Cytoplasmic side. Cell junction, synapse, postsynaptic cell membrane, postsynaptic density. Endoplasmic reticulum Nucleus. Note=Mainly cytoplasmic but shuttles between the cytoplasm and nucleus. Exported out of the nucleus via its NES in a XPO1-dependent manner. Nuclear localization is required for regulation of the expression of genes such as SYN1. Detected in neuron cell bodies, axons and dendrites. Mainly located to the postsynaptic density. Detected at tubulovesicular elements in the vicinity of the Golgi apparatus and of melanosomes. Occasionally detected at the membrane of pigmented melanosomes in cultured melanoma cells (By similarity). The BLOC-1 complex associates with the BLOC-2 complex in early endosome-associated tubules Associated with the AP-3 complex at presynaptic terminals
|
||
Host |
Rabbit
|
||
Species Reactivity |
Human, Mouse
|
||
Immunogen |
8-38 aa
|
||
Target |
This Dtnbp1 antibody is generated from rabbits immunized with a KLH conjugated synthetic peptide between 8-38 amino acids from the N-terminal region of human Dtnbp1.
|
||
Isotype |
Rabbit Ig
|
||
Symbol |
Bloc1s8, Sdy
|
||
GeneID |
|||
UniProt ID |
|||
Function |
Component of the BLOC-1 complex, a complex that is required for normal biogenesis of lysosome-related organelles (LRO), such as platelet dense granules and melanosomes. In concert with the AP-3 complex, the BLOC-1 complex is required to target membrane protein cargos into vesicles assembled at cell bodies for delivery into neurites and nerve terminals. The BLOC-1 complex, in association with SNARE proteins, is also proposed to be involved in neurite extension. Associates with the BLOC-2 complex to facilitate the transport of TYRP1 independent of AP-3 function. Plays a role in synaptic vesicle trafficking and in neurotransmitter release. Plays a role in the regulation of cell surface exposure of DRD2. May play a role in actin cytoskeleton reorganization and neurite outgrowth. May modulate MAPK8 phosphorylation. Appears to promote neuronal transmission and viability through regulating the expression of SNAP25 and SYN1, modulating PI3-kinase-Akt signaling and influencing glutamatergic release. Regulates the expression of SYN1 through binding to its promoter. Modulates prefrontal cortical activity via the dopamine/D2 pathway.
|
||
Summary |
Dtnbp1 may play a role in organelle biogenesis associated with melanosomes, platelet dense granules, and lysosomes. A similar protein in mouse is a component of a protein complex termed biogenesis of lysosome-related organelles complex 1 (BLOC-1), and binds to alpha- and beta-dystrobrevins, which are components of the dystrophin-associated protein complex (DPC). Mutations are associated with Hermansky-Pudlak syndrome type 7. This protein may also be associated with schizophrenia.
|
||
Form |
Purified monoclonal antibody supplied in PBS with 0.09% (W/V) sodium azide. This antibody is purified through a protein G column, followed by dialysis against PBS. |
||
Storage & Stability |
Store at +4°C short term. For long-term storage, aliquot and store at -20°C or below. Stable for 12 months at -20°C. Avoid repeated freeze-thaw cycles.
|
||
Applications |
WB, IHC-P, E
|
||
Dilution |
WB~~1:1000
IHC-P~~1:10~50
|
||
Synonyms |
Dysbindin, Biogenesis of lysosome-related organelles complex 1 subunit 8, BLOC-1 subunit 8, Dysbindin-1, Dystrobrevin-binding protein 1, Hermansky-Pudlak syndrome 7 protein homolog, HPS7 protein homolog, Dtnbp1, Bloc1s8, Sdy
|
||
Images |
Western blot analysis of Dtnbpt(arrow) using rabbit polyclonal Dysbindin(Dtnbp1) Antibody (N-term) (Cat. APR14102G). 293 cell lysates (2 ug/lane) either nontransfected (Lane 1) or transiently transfected with the Dtnbpt gene (Lane 2) (Origene Technologies).
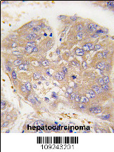
Formalin-fixed and paraffin-embedded human hepatocarcinoma tissue reacted with Dtnbp1 Antibody (N-term) (Cat. APR14102G), which was peroxidase-conjugated to the secondary antibody, followed by DAB staining. This data demonstrates the use of this antibody for immunohistochemistry; clinical relevance has not been evaluated. |
||
Specification |
|||
Quantity |
|
||
| Select | Brand | Catalog No. | Product Name | Pack Size | Type | Field of Research | Specification | Quantity | Price(USD) | |
| 1 | Leading Biology | APR03440G | ITGA11 Antibody (N-term) | 100 μl | Polyclonal Antibodies |
|
$495.00 | Add Ask | ||
| 2 | Leading Biology | APR04537G | CMIP Antibody (C-term) | 100 μl | Polyclonal Antibodies |
|
$495.00 | Add Ask | ||
| 3 | Leading Biology | APR12422G | Human H4 Histamine Receptor (extracellular) Antibody | 50 μl | Polyclonal Antibodies |
|
$695.00 | Add Ask | ||
| 4 | Leading Biology | APR03844G | UBE2W Antibody (C-term) | 100 μl | Polyclonal Antibodies |
|
$495.00 | Add Ask | ||
| 5 | Leading Biology | APR04349G | HECTD2 Antibody (N-term) | 100 μl | Polyclonal Antibodies |
|
$495.00 | Add Ask | ||
| 6 | Leading Biology | APR03502G | IGHG1 Antibody (Center) | 100 μl | Polyclonal Antibodies |
|
$495.00 | Add Ask |
Leading Biology Inc.
2600 Hilltop DR, Building G, B Suite C138
Richmond, CA, 94806
Tel: 1-661-524(LBI)-0262
Email: info@leadingbiology.com
Complete this form and click send to ask us a question, request a quote or simply say hello.

You have 0 item in your cart

You have 0 item in your inquiry list