> Antigen, Antibodies, ELISA, Western Blot > Primary Antibody > Polyclonal Antibodies > ARL6 Antibody (N-term)Brand |
Leading Biology | Catalog Number |
AMM08580G |
Product Type |
Polyclonal Antibodies | Field of Research |
|
Product Overview |
We constantly strive to ensure we provide our customers with the best antibodies. As a result of this work we offer this antibody in purified format.
We are in the process of updating our datasheets. If you have any questions regarding this update, please feel free to contact our technical support team.
This product is a high quality ARL6 antibody (N-term).
|
||
Molecular Weight |
21097 Da
|
||
Cellular Localization |
Antigen Cellular Localization:
Cell projection, cilium membrane; Peripheral membrane protein; Cytoplasmic side. Cytoplasm, cytoskeleton, cilium axoneme. Cytoplasm, cytoskeleton, cilium basal body Note=Appears in a pattern of punctae flanking the microtubule axoneme that likely correspond to small membrane-associated patches. Localizes to the so-called ciliary gate where vesicles carrying ciliary cargo fuse with the membrane
|
||
Host |
Rabbit
|
||
Species Reactivity |
Human
|
||
Immunogen |
1-30 aa
|
||
Target |
This ARL6 antibody is generated from rabbits immunized with a KLH conjugated synthetic peptide between 1-30 amino acids from the N-terminal region of human ARL6.
|
||
Isotype |
Rabbit Ig
|
||
Symbol |
BBS3
|
||
GeneID |
|||
UniProt ID |
|||
Function |
Involved in membrane protein trafficking at the base of the ciliary organelle. Mediates recruitment onto plasma membrane of the BBSome complex which would constitute a coat complex required for sorting of specific membrane proteins to the primary cilia (PubMed:20603001). Together with BBS1, is necessary for correct trafficking of PKD1 to primary cilia (By similarity). Together with the BBSome complex and LTZL1, controls SMO ciliary trafficking and contributes to the sonic hedgehog (SHH) pathway regulation (PubMed:22072986). May regulate cilia assembly and disassembly and subsequent ciliary signaling events such as the Wnt signaling cascade (PubMed:20207729). Isoform 2 may be required for proper retinal function and organization (By similarity).
|
||
Summary |
ARL6 belongs to the ARF family of GTP-binding proteins. ARF proteins are important regulators of cellular traffic and are the founding members of an expanding family of homologous proteins and genomic sequences. They depart from other small GTP-binding proteins by a unique structural device that implements front-back communication from the N-terminus to the nucleotide-binding site. Studies of the mouse ortholog of this protein suggest an involvement in protein transport, membrane trafficking, or cell signaling during hematopoietic maturation. Alternative splicing occurs at this locus and two transcript variants encoding the same protein have been described.
|
||
Form |
Purified polyclonal antibody supplied in PBS with 0.09% (W/V) sodium azide. This antibody is prepared by Saturated Ammonium Sulfate (SAS) precipitation followed by dialysis against PBS. |
||
Storage & Stability |
Store at +4°C short term. For long-term storage, aliquot and store at -20°C or below. Stable for 12 months at -20°C. Avoid repeated freeze-thaw cycles.
|
||
Applications |
WB, IHC-P, E
|
||
Dilution |
WB~~1:1000
IHC-P~~1:50~100
|
||
Synonyms |
ADP-ribosylation factor-like protein 6, Bardet-Biedl syndrome 3 protein, ARL6, BBS3
|
||
Images |
Western blot analysis of hARL6-M1 (Cat. AMM08580G) in HL-60 cell line lysates (35ug/lane). ARL6 (arrow) was detected using the purified Pab.
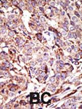
Formalin-fixed and paraffin-embedded human cancer tissue reacted with the primary antibody, which was peroxidase-conjugated to the secondary antibody, followed by AEC staining. This data demonstrates the use of this antibody for immunohistochemistry; clinical relevance has not been evaluated. BC = breast carcinoma; HC = hepatocarcinoma. |
||
Specification |
|||
Quantity |
|
||
| Select | Brand | Catalog No. | Product Name | Pack Size | Type | Field of Research | Specification | Quantity | Price(USD) | |
| 1 | Leading Biology | APR03440G | ITGA11 Antibody (N-term) | 100 μl | Polyclonal Antibodies |
|
$495.00 | Add Ask | ||
| 2 | Leading Biology | APR04537G | CMIP Antibody (C-term) | 100 μl | Polyclonal Antibodies |
|
$495.00 | Add Ask | ||
| 3 | Leading Biology | APR12422G | Human H4 Histamine Receptor (extracellular) Antibody | 50 μl | Polyclonal Antibodies |
|
$695.00 | Add Ask | ||
| 4 | Leading Biology | APR03844G | UBE2W Antibody (C-term) | 100 μl | Polyclonal Antibodies |
|
$495.00 | Add Ask | ||
| 5 | Leading Biology | APR04349G | HECTD2 Antibody (N-term) | 100 μl | Polyclonal Antibodies |
|
$495.00 | Add Ask | ||
| 6 | Leading Biology | APR03502G | IGHG1 Antibody (Center) | 100 μl | Polyclonal Antibodies |
|
$495.00 | Add Ask |
Leading Biology Inc.
2600 Hilltop DR, Building G, B Suite C138
Richmond, CA, 94806
Tel: 1-661-524(LBI)-0262
Email: info@leadingbiology.com
Complete this form and click send to ask us a question, request a quote or simply say hello.

You have 0 item in your cart

You have 0 item in your inquiry list