> Antigen, Antibodies, ELISA, Western Blot > Primary Antibody > Polyclonal Antibodies > Mib1/Mindbomb Antibody (N-term)Brand |
Leading Biology | Catalog Number |
AMM08648G |
Product Type |
Polyclonal Antibodies | Field of Research |
|
Product Overview |
We constantly strive to ensure we provide our customers with the best antibodies. As a result of this work we offer this antibody in purified format.
We are in the process of updating our datasheets. If you have any questions regarding this update, please feel free to contact our technical support team.
This product is a high quality Mib1/Mindbomb antibody (N-term).
|
||
Molecular Weight |
110136 Da
|
||
Cellular Localization |
Antigen Cellular Localization:
Cytoplasm. Cytoplasm, cytoskeleton, microtubule organizing center, centrosome, centriolar satellite Cell membrane. Note=Localizes to the plasma membrane (By similarity). According to PubMed:15048887, it is mitochondrial, however such localization remains unclear Displaced from centriolar satellites in response to cellular stress, such as ultraviolet light (UV) radiation or heat shock
|
||
Host |
Rabbit
|
||
Species Reactivity |
Human
|
||
Immunogen |
13-42 aa
|
||
Target |
This Mib1/Mindbomb antibody is generated from rabbits immunized with a KLH conjugated synthetic peptide between 13-42 amino acids from the N-terminal region of human Mib1/Mindbomb.
|
||
Isotype |
Rabbit Ig
|
||
Symbol |
DIP1, KIAA1323, ZZANK2
|
||
GeneID |
|||
UniProt ID |
|||
Function |
E3 ubiquitin-protein ligase that mediates ubiquitination of Delta receptors, which act as ligands of Notch proteins. Positively regulates the Delta-mediated Notch signaling by ubiquitinating the intracellular domain of Delta, leading to endocytosis of Delta receptors. Probably mediates ubiquitination and subsequent proteasomal degradation of DAPK1, thereby antagonizing anti-apoptotic effects of DAPK1 to promote TNF- induced apoptosis (By similarity). Involved in ubiquitination of centriolar satellite CEP131, CEP290 and PCM1 proteins and hence inhibits primary cilium formation in proliferating cells. Mediates 'Lys-63'-linked polyubiquitination of TBK1, which probably participates in kinase activation.
|
||
Summary |
MIB is an E3 ubiquitin-protein ligase that mediates ubiquitination of Delta receptors, which act as ligands of Notch proteins. This protein positively regulates the Delta-mediated Notch signaling by ubiquitinating the intracellular domain of Delta, leading to endocytosis of Delta receptors. MIB probably mediates ubiquitination and subsequent proteasomal degradation of DAPK1, thereby antagonizing anti-apoptotic effects of DAPK1 to promote TNF-induced apoptosis.
|
||
Form |
Purified polyclonal antibody supplied in PBS with 0.09% (W/V) sodium azide. This antibody is prepared by Saturated Ammonium Sulfate (SAS) precipitation followed by dialysis against PBS. |
||
Storage & Stability |
Store at +4°C short term. For long-term storage, aliquot and store at -20°C or below. Stable for 12 months at -20°C. Avoid repeated freeze-thaw cycles.
|
||
Applications |
WB, IF, IHC-P, E
|
||
Dilution |
WB~~1:1000
IF~~1:20~100
IHC-P~~1:50~100
|
||
Synonyms |
E3 ubiquitin-protein ligase MIB1, 632-, DAPK-interacting protein 1, DIP-1, Mind bomb homolog 1, Zinc finger ZZ type with ankyrin repeat domain protein 2, MIB1, DIP1, KIAA1323, ZZANK2
|
||
Images |
MIB Antibody (K28) (Cat. AMM08648G) western blot analysis in K562 cell line lysates (35ug/lane).This demonstrates the MIB antibody detected the MIB protein (arrow).
Immunofluorescent staining of Hela cells incubated with MIB Antibody (N-term) (Cat AMM08648G) at a dilution of 1:20. Data courtesy of Dr. Vyacheslav Akimov, University of Southern Denmark.
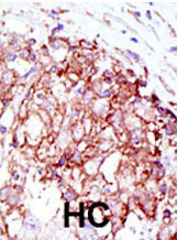
Formalin-fixed and paraffin-embedded human cancer tissue reacted with the primary antibody, which was peroxidase-conjugated to the secondary antibody, followed by AEC staining. This data demonstrates the use of this antibody for immunohistochemistry; clinical relevance has not been evaluated. BC = breast carcinoma; HC = hepatocarcinoma. |
||
Specification |
|||
Quantity |
|
||
| Select | Brand | Catalog No. | Product Name | Pack Size | Type | Field of Research | Specification | Quantity | Price(USD) | |
| 1 | Leading Biology | APR03440G | ITGA11 Antibody (N-term) | 100 μl | Polyclonal Antibodies |
|
$495.00 | Add Ask | ||
| 2 | Leading Biology | APR04537G | CMIP Antibody (C-term) | 100 μl | Polyclonal Antibodies |
|
$495.00 | Add Ask | ||
| 3 | Leading Biology | APR12422G | Human H4 Histamine Receptor (extracellular) Antibody | 50 μl | Polyclonal Antibodies |
|
$695.00 | Add Ask | ||
| 4 | Leading Biology | APR03844G | UBE2W Antibody (C-term) | 100 μl | Polyclonal Antibodies |
|
$495.00 | Add Ask | ||
| 5 | Leading Biology | APR04349G | HECTD2 Antibody (N-term) | 100 μl | Polyclonal Antibodies |
|
$495.00 | Add Ask | ||
| 6 | Leading Biology | APR03502G | IGHG1 Antibody (Center) | 100 μl | Polyclonal Antibodies |
|
$495.00 | Add Ask |
Leading Biology Inc.
2600 Hilltop DR, Building G, B Suite C138
Richmond, CA, 94806
Tel: 1-661-524(LBI)-0262
Email: info@leadingbiology.com
Complete this form and click send to ask us a question, request a quote or simply say hello.

You have 0 item in your cart

You have 0 item in your inquiry list