> Antigen, Antibodies, ELISA, Western Blot > Primary Antibody > Polyclonal Antibodies > GCAP1 Antibody (C-term)Brand |
Leading Biology | Catalog Number |
APR14107G |
Product Type |
Polyclonal Antibodies | Field of Research |
|
Product Overview |
We constantly strive to ensure we provide our customers with the best antibodies. As a result of this work we offer this antibody in purified format.
We are in the process of updating our datasheets. If you have any questions regarding this update, please feel free to contact our technical support team.
This product is a high quality GCAP1 antibody (C-term).
|
||
Molecular Weight |
22920 Da
|
||
Cellular Localization |
Antigen Cellular Localization:
Membrane; Lipid-anchor.
|
||
Host |
Rabbit
|
||
Species Reactivity |
Human
|
||
Immunogen |
160-191 aa
|
||
Target |
This GCAP1 antibody is generated from rabbits immunized with a KLH conjugated synthetic peptide between 160-191 amino acids from the C-terminal region of human GCAP1.
|
||
Isotype |
Rabbit Ig
|
||
Symbol |
C6orf131, GCAP, GCAP1, GUCA1
|
||
GeneID |
|||
UniProt ID |
|||
Function |
Stimulates guanylyl cyclase 1 (GC1) when free calcium ions concentration is low and inhibits GC1 when free calcium ions concentration is elevated. This Ca(2+)-sensitive regulation of GC is a key event in recovery of the dark state of rod photoreceptors following light exposure.
|
||
Summary |
Guanylate cyclase-activating protein is a l Ca(2+)-binding protein that upregulates synthesis of cGMP in photoreceptors. The known mammalian GCAPs are more than 90% similar, consisting of 201 to 205 amino acids, and containing 3 identically conserved Ca(2+)-binding sites. The GUCA1A gene, also termed GCAP1, is transcribed into a single 1.7-kb mRNA species detectable only in the retina. In a 4-generation British family with typical clinical features of autosomal dominant cone dystrophy a tyr99-to-cys mutation) in the GUCA1A gene has been identified. Another family with a pro50-to-leu mutation in GUCA1A demonstrated phenotypic variability ranging from mild photophobia to rod-cone dystrophy. The mutant protein could activate guanylate cyclase 1 (GUCY2D) and displayed similar calcium sensitivity to wildtype protein. However, there was a marked increase in the susceptibility to protease degradation and a reduction in the thermal stability of the pro50-to-leu mutation, which may depress cellular concentration and thereby contribute to retinal cell mortality.
|
||
Form |
Purified polyclonal antibody supplied in PBS with 0.09% (W/V) sodium azide. This antibody is prepared by Saturated Ammonium Sulfate (SAS) precipitation followed by dialysis against PBS. |
||
Storage & Stability |
Store at +4°C short term. For long-term storage, aliquot and store at -20°C or below. Stable for 12 months at -20°C. Avoid repeated freeze-thaw cycles.
|
||
Applications |
WB, IHC-P, E
|
||
Dilution |
WB~~1:1000
IHC-P~~1:50~100
|
||
Synonyms |
Guanylyl cyclase-activating protein 1, GCAP 1, Guanylate cyclase activator 1A, GUCA1A, C6orf131, GCAP, GCAP1, GUCA1
|
||
Images |
The anti-GCAP1 C-term Pab (Cat. APR14107G) is used in Western blot to detect GCAP1 in Y79 cell lysate.
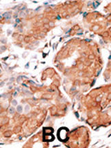
Formalin-fixed and paraffin-embedded human cancer tissue reacted with the primary antibody, which was peroxidase-conjugated to the secondary antibody, followed by DAB staining. This data demonstrates the use of this antibody for immunohistochemistry; clinical relevance has not been evaluated. BC = breast carcinoma; HC = hepatocarcinoma. |
||
Specification |
|||
Quantity |
|
||
| Select | Brand | Catalog No. | Product Name | Pack Size | Type | Field of Research | Specification | Quantity | Price(USD) | |
| 1 | Leading Biology | APR03440G | ITGA11 Antibody (N-term) | 100 μl | Polyclonal Antibodies |
|
$495.00 | Add Ask | ||
| 2 | Leading Biology | APR04537G | CMIP Antibody (C-term) | 100 μl | Polyclonal Antibodies |
|
$495.00 | Add Ask | ||
| 3 | Leading Biology | APR12422G | Human H4 Histamine Receptor (extracellular) Antibody | 50 μl | Polyclonal Antibodies |
|
$695.00 | Add Ask | ||
| 4 | Leading Biology | APR03844G | UBE2W Antibody (C-term) | 100 μl | Polyclonal Antibodies |
|
$495.00 | Add Ask | ||
| 5 | Leading Biology | APR04349G | HECTD2 Antibody (N-term) | 100 μl | Polyclonal Antibodies |
|
$495.00 | Add Ask | ||
| 6 | Leading Biology | APR03502G | IGHG1 Antibody (Center) | 100 μl | Polyclonal Antibodies |
|
$495.00 | Add Ask |
Leading Biology Inc.
2600 Hilltop DR, Building G, B Suite C138
Richmond, CA, 94806
Tel: 1-661-524(LBI)-0262
Email: info@leadingbiology.com
Complete this form and click send to ask us a question, request a quote or simply say hello.

You have 0 item in your cart

You have 0 item in your inquiry list