> Antigen, Antibodies, ELISA, Western Blot > Primary Antibody > Polyclonal Antibodies > PDPR Antibody (C-term)Brand |
Leading Biology | Catalog Number |
APR10904G |
Product Type |
Polyclonal Antibodies | Field of Research |
|
Product Overview |
We constantly strive to ensure we provide our customers with the best antibodies. As a result of this work we offer this antibody in purified format.
We are in the process of updating our datasheets. If you have any questions regarding this update, please feel free to contact our technical support team.
This product is a high quality PDPR antibody (C-term).
|
||
Molecular Weight |
99364 Da
|
||
Cellular Localization |
Antigen Cellular Localization:
Mitochondrion matrix.
|
||
Host |
Rabbit
|
||
Species Reactivity |
Human, Mouse
|
||
Immunogen |
821-850 aa
|
||
Target |
This PDPR antibody is generated from rabbits immunized with a KLH conjugated synthetic peptide between 821-850 amino acids from the C-terminal region of human PDPR.
|
||
Isotype |
Rabbit Ig
|
||
Symbol |
KIAA1990
|
||
GeneID |
|||
UniProt ID |
|||
Function |
Decreases the sensitivity of PDP1 to magnesium ions, and this inhibition is reversed by the polyamine spermine.
|
||
Summary |
PDPR decreases the sensitivity of PDP1 to magnesium ions, and this inhibition is reversed by the polyamine spermine (By similarity).
|
||
Form |
Purified polyclonal antibody supplied in PBS with 0.09% (W/V) sodium azide. This antibody is purified through a protein A column, followed by peptide affinity purification. |
||
Storage & Stability |
Store at +4°C short term. For long-term storage, aliquot and store at -20°C or below. Stable for 12 months at -20°C. Avoid repeated freeze-thaw cycles.
|
||
Applications |
WB, IHC-P, E
|
||
Dilution |
WB~~1:1000
IHC-P~~1:10~50
|
||
Synonyms |
Pyruvate dehydrogenase phosphatase regulatory subunit, mitochondrial, PDPr, PDPR, KIAA1990
|
||
Images |
Western blot analysis of PDPR Antibody (C-term) Pab (Cat. APR10904G) pre-incubated without(lane 1) and with(lane 2) blocking peptide in mouse testis tissue lysate. PDPR Antibody (C-term) (arrow) was detected using the purified Pab.
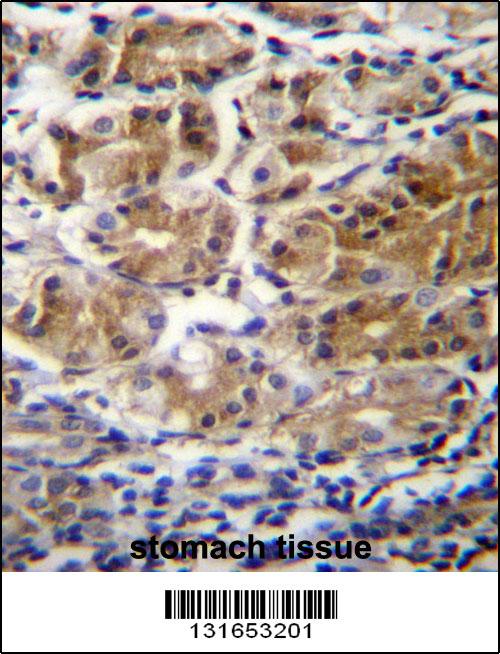
PDPR Antibdy (C-term) (Cat. APR10904G)immunohistochemistry analysis in formalin fixed and paraffin embedded human stomach tissue followed by peroxidase conjugation of the secondary antibody and DAB staining.This data demonstrates the use of PDPR Antibdy (C-term) for immunohistochemistry. Clinical relevance has not been evaluated. |
||
Specification |
|||
Quantity |
|
||
| Select | Brand | Catalog No. | Product Name | Pack Size | Type | Field of Research | Specification | Quantity | Price(USD) | |
| 1 | Leading Biology | APR03440G | ITGA11 Antibody (N-term) | 100 μl | Polyclonal Antibodies |
|
$495.00 | Add Ask | ||
| 2 | Leading Biology | APR04537G | CMIP Antibody (C-term) | 100 μl | Polyclonal Antibodies |
|
$495.00 | Add Ask | ||
| 3 | Leading Biology | APR12422G | Human H4 Histamine Receptor (extracellular) Antibody | 50 μl | Polyclonal Antibodies |
|
$695.00 | Add Ask | ||
| 4 | Leading Biology | APR03844G | UBE2W Antibody (C-term) | 100 μl | Polyclonal Antibodies |
|
$495.00 | Add Ask | ||
| 5 | Leading Biology | APR04349G | HECTD2 Antibody (N-term) | 100 μl | Polyclonal Antibodies |
|
$495.00 | Add Ask | ||
| 6 | Leading Biology | APR03502G | IGHG1 Antibody (Center) | 100 μl | Polyclonal Antibodies |
|
$495.00 | Add Ask |
Leading Biology Inc.
2600 Hilltop DR, Building G, B Suite C138
Richmond, CA, 94806
Tel: 1-661-524(LBI)-0262
Email: info@leadingbiology.com
Complete this form and click send to ask us a question, request a quote or simply say hello.

You have 0 item in your cart

You have 0 item in your inquiry list