> Antigen, Antibodies, ELISA, Western Blot > Primary Antibody > Polyclonal Antibodies > K2P9.1 (TASK-3) AntibodyBrand |
Leading Biology | Catalog Number |
APR00496G |
Product Type |
Polyclonal Antibodies | Field of Research |
|
Product Overview |
We constantly strive to ensure we provide our customers with the best antibodies. As a result of this work we offer this antibody in purified format.
We are in the process of updating our datasheets. If you have any questions regarding this update, please feel free to contact our technical support team.
This product is a high quality K2P9.1 (TASK-3) Antibody.
|
||
Molecular Weight |
44357 Da
|
||
Host |
Rabbit
|
||
Species Reactivity |
Human, Rat
|
||
Target |
Peptide (C)DDYQQLELVILQSEPHR, corresponding to amino acid residues 57-73 of rat K2P9.1 (accession number Q9ES08). Extracellular, near the P1 loop.
|
||
GeneID |
|||
UniProt ID |
|||
Summary |
K2P9.1 (also named TASK3 or KCNK9) is a member of the 2-pore (2P) domainK+ channels family that probably assemble as dimers to constitute a functionalchannel.1 These channels show little time or voltage dependence and areconsidered to be “leak” or “background” K+ channels, thereby generatingbackground currents which help set the membrane resting potential and cell excitation. The channels are regulated by diverse physical and chemical stimuli includingtemperature, pH, mechanical stretch, inhalation anesthetics, etc.2 The physiological role of the K2P channels is not yet clear, though they were proposed to participate inbreathing, aldosterone secretion and anesthetic-mediated neuronal activity. In human, expression of K2P9.1 is restricted in brain and its expression overlapswith the structurally related K2P3.1 (TASK1, KCNK3) channel.In rat, it is more widely expressed in other tissues as well as in brain. Unexpectedly, K2P9.1 was found to be over-expressed between 5 to 100-foldin 44% of breast cancer tumors tested. Transfection and over-expression of K2P9.1 in cell lines promotes tumor growth andconfers resistance to hypoxia and serum deprivation.3 Recently, K2P9.1 was foundto play an important role in K+-dependent apoptosis of cerebellar granules.4 Abgent is pleased to present a new polyclonal antibody to Anti-K2P9.1 (TASK3). The antibody was raised against an epitope corresponding to residues 57-73 of the ratK2P9.1 protein. The chosen epitope is located in the extracellular region near to the Pore 1 loop, and shares 15 out of 17 residues with the human isoform.Reactivity of the antibody was confirmed by Western blotting in both rat and human samples.
|
||
Form |
Liquid. Purified antibody supplied in 1x PBS buffer with 0.09% (w/v) sodium azide and 2% sucrose. |
||
Storage & Stability |
Store at +4°C short term. For long-term storage, aliquot and store at -20°C or below. Stable for 12 months at -20°C. Avoid repeated freeze-thaw cycles.
|
||
Applications |
WB
|
||
Dilution |
WB~~1:200-1:2000
|
||
Images |
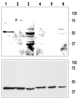
Western blot analysis of K2P 9.1 in rat cerebellum (lanes 1, 4) ;human mammary gland MCF-10A (lanes 2, 5) and MCF-7 (lanes 3, 6) cell lysates (upper panel): 1-3.Anti-K 2P 9.1 (TASK-3)antibody (APR00496G). 4-6. Anti-K 2P 9.1 (TASK-3) antibody, preincubated with the control peptide antigen. Lower panel: anti-ß actin to ensure equal loading. Note that the expected 50 kD MW band is present in cerebellum and in the tumorigenicbreast cancer cell line (MCF-7) but not in the non-tumorigenic breast cell line (MCF-10A).
Western blot analysisof rat cerebellum lysate: 1. Anti-K 2P 9.1 (TASK-3) antibody (APR00496G),(1:200). 2. Anti- K 2P 9.1 (TASK-3) antibody, preincubated with the control peptide antigen. |
||
Specification |
|||
Quantity |
|
||
| Select | Brand | Catalog No. | Product Name | Pack Size | Type | Field of Research | Specification | Quantity | Price(USD) | |
| 1 | Leading Biology | APR03440G | ITGA11 Antibody (N-term) | 100 μl | Polyclonal Antibodies |
|
$495.00 | Add Ask | ||
| 2 | Leading Biology | APR04537G | CMIP Antibody (C-term) | 100 μl | Polyclonal Antibodies |
|
$495.00 | Add Ask | ||
| 3 | Leading Biology | APR12422G | Human H4 Histamine Receptor (extracellular) Antibody | 50 μl | Polyclonal Antibodies |
|
$695.00 | Add Ask | ||
| 4 | Leading Biology | APR03844G | UBE2W Antibody (C-term) | 100 μl | Polyclonal Antibodies |
|
$495.00 | Add Ask | ||
| 5 | Leading Biology | APR04349G | HECTD2 Antibody (N-term) | 100 μl | Polyclonal Antibodies |
|
$495.00 | Add Ask | ||
| 6 | Leading Biology | APR03502G | IGHG1 Antibody (Center) | 100 μl | Polyclonal Antibodies |
|
$495.00 | Add Ask |
Leading Biology Inc.
2600 Hilltop DR, Building G, B Suite C138
Richmond, CA, 94806
Tel: 1-661-524(LBI)-0262
Email: info@leadingbiology.com
Complete this form and click send to ask us a question, request a quote or simply say hello.

You have 0 item in your cart

You have 0 item in your inquiry list