> Antigen, Antibodies, ELISA, Western Blot > Primary Antibody > Polyclonal Antibodies > Human Protease-activated Receptor-1 (extracellular) AntibodyBrand |
Leading Biology | Catalog Number |
APR00491G |
Product Type |
Polyclonal Antibodies | Field of Research |
|
Product Overview |
We constantly strive to ensure we provide our customers with the best antibodies. As a result of this work we offer this antibody in purified format.
We are in the process of updating our datasheets. If you have any questions regarding this update, please feel free to contact our technical support team.
This product is a high quality Human Protease-activated Receptor-1 (extracellular) Antibody.
|
||
Molecular Weight |
47441 Da
|
||
Host |
Rabbit
|
||
Species Reactivity |
Human
|
||
Target |
Peptide (C)KNESGLTEYRLVSINK, corresponding to amino acid residues 61-76 of human PAR-1 (Accession P25116). Extracellular, N terminal.Unlikely to recognize mouse or rat samples.
|
||
GeneID |
|||
UniProt ID |
|||
Summary |
Protease-activated receptor 1 (PAR-1) belongs to a family of four G protein-coupled receptors (PAR-1 - 4) that are activated as a result of proteolytic cleavage by certain serine proteases, hence their name. In this novel modality of activation, a specific protease cleaves the PAR receptor within a defined sequence in its extracellular N-terminal domain. This results in the creation of a new N-terminal tethered ligand, which subsequently binds to a site in the second extracellular loop of the same receptor. This binding results in the coupling of the receptor to G proteins and in the activation of several signal transduction pathways.1-3 Different PARs are activated by different proteases. Hence, PAR-1 is activated by thrombin (and is in fact also known as the thrombin receptor), as are PAR-3 and PAR-4, while PAR-2 is activated by trypsin.1-3 PAR-1 can be also cleaved and activated by other proteases such as plasmin, Factor Xa, cathepsin G, and others. The intramolecular nature of PAR activation and the continuous presence of the tethered ligand that cannot diffuse away imply the existence of several mechanisms for the rapid termination of PAR signaling. Indeed, following receptor activation, there is rapid phosphorylation of the C-terminal end of the receptor, followed by receptor internalization and degradation. In addition, several proteases can cleave away the tethered ligand, thereby “disarming” the PAR.1-3 PAR-1 signals through several G proteins including Gaq, Gai, and Ga12/13, resulting in the activation of several transduction pathways including intracellular Ca2+ mobilization, Rho and Rac signaling, and MAPK activation.1-3 PAR-1 is expressed in several cell types including platelets, leukocytes, vascular endothelial cells, gastrointestinal epithelial cells, myocytes, and neurons. The best studied physiological function of PAR-1 is its involvement in the coagulation cascade. Thrombin, the preeminent ligand of PAR-1, activates the receptor on the surface of platelets, hence inducing platelet aggregation, granular secretion, and procoagulant activity. PAR-1 also plays a crucial role in vascular ontogenesis. Accordingly, PAR-1 knockout mice show bleeding at multiple sites and usually die at mid-gestation.1-3 PAR-1 also plays important roles in tumor growth and metastasis. PAR-1 is upregulated in several human cancers as are several proteases such as plasmin and matrix metalloproteases (MMPs) that act as PAR-1 ligands, thereby creating an autocrine loop. PAR-1 activation in cancer cells transmits mitogenic signals through the activation of the erk1/2 pathway and is involved in tumor spread via its pro-angiogenic activity.4 Abgent is pleased to offer a highly specific antibody directed against an epitope at the extracellular N-terminus of the human protease-activated receptor-1. Anti-Human Protease-Activated Receptor-1 (extracellular) antibody (#AG1059) can be used in western blot analysis, immunohistochemical, immunocytochemical, and flow cytometry applications. It has been designed to recognize PAR-1 from human samples.
|
||
Form |
Liquid. Purified antibody supplied in 1x PBS buffer with 0.09% (w/v) sodium azide and 2% sucrose. |
||
Storage & Stability |
Store at +4°C short term. For long-term storage, aliquot and store at -20°C or below. Stable for 12 months at -20°C. Avoid repeated freeze-thaw cycles.
|
||
Applications |
WB, IHC, FC, ICC, LCI
|
||
Dilution |
WB~~1:200-1:2000
IHC~~1:100
ICC~~1:50
IF~~1:20
|
||
Images |
Western blot analysis of human promyelocytic leukemia HL-60 (lanes 1 and 4), human T-cell leukemia Jurkat (lanes 2 and 5), and chronic myelogenous leukemia K562 (lanes 3 and 6) cell line lysates: 1-3. Anti-Human Protease-Activated Receptor-1 (extracellular) antibody (APR00491G), (1:200). 4-6. Anti-Human Protease-Activated Receptor-1 (extracellular) antibody, preincubated with the control peptide antigen.
Western blot analysis of human colon cancer HT-29 (lanes 1 and 3) and Colo-205 (lanes 2 and 4) cell line lysates: 1, 2. Anti-Human Protease-Activated Receptor-1 (extracellular) antibody (APR00491G), (1:200). 3, 4. Anti-Human Protease-Activated Receptor-1 (extracellular) antibody, preincubated with the control peptide antigen.
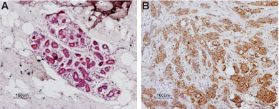
Expression of PAR-1 in normal human breast and human breast carcinoma Immunohistochemical staining of paraffin-embedded human breast sections using Anti-Human Protease-Activated Receptor-1 (extracellular) antibody (APR00491G), (1:100). PAR-1 staining is highly specific for epithelium-derived cells. A. In the normal resting breast, epithelial cells of the mammary ducts are visible using Histofine (pink). B. The breast carcinoma contains epithelium-derived malignant cells stained with DAB (brown). Hematoxilin is used as the counterstain. |
||
Specification |
|||
Quantity |
|
||
| Select | Brand | Catalog No. | Product Name | Pack Size | Type | Field of Research | Specification | Quantity | Price(USD) | |
| 1 | Leading Biology | APR03440G | ITGA11 Antibody (N-term) | 100 μl | Polyclonal Antibodies |
|
$495.00 | Add Ask | ||
| 2 | Leading Biology | APR04537G | CMIP Antibody (C-term) | 100 μl | Polyclonal Antibodies |
|
$495.00 | Add Ask | ||
| 3 | Leading Biology | APR12422G | Human H4 Histamine Receptor (extracellular) Antibody | 50 μl | Polyclonal Antibodies |
|
$695.00 | Add Ask | ||
| 4 | Leading Biology | APR03844G | UBE2W Antibody (C-term) | 100 μl | Polyclonal Antibodies |
|
$495.00 | Add Ask | ||
| 5 | Leading Biology | APR04349G | HECTD2 Antibody (N-term) | 100 μl | Polyclonal Antibodies |
|
$495.00 | Add Ask | ||
| 6 | Leading Biology | APR03502G | IGHG1 Antibody (Center) | 100 μl | Polyclonal Antibodies |
|
$495.00 | Add Ask |
Leading Biology Inc.
2600 Hilltop DR, Building G, B Suite C138
Richmond, CA, 94806
Tel: 1-661-524(LBI)-0262
Email: info@leadingbiology.com
Complete this form and click send to ask us a question, request a quote or simply say hello.

You have 0 item in your cart

You have 0 item in your inquiry list