> Antigen, Antibodies, ELISA, Western Blot > Primary Antibody > Polyclonal Antibodies > PALMD AntibodyBrand |
Leading Biology | Catalog Number |
APR06920G |
Product Type |
Polyclonal Antibodies | Field of Research |
|
Product Overview |
We constantly strive to ensure we provide our customers with the best antibodies. As a result of this work we offer this antibody in purified format.
We are in the process of updating our datasheets. If you have any questions regarding this update, please feel free to contact our technical support team.
This product is a high quality PALMD Antibody.
|
||
Molecular Weight |
Predicted: 61 kDa; Observed: 60 kDa
|
||
Cellular Localization |
Antigen Cellular Localization:
Cytoplasm. Cell projection, dendrite. Cell projection, dendritic spine
|
||
Host |
Rabbit
|
||
Species Reactivity |
Human
|
||
Target |
PALMD; PALMD antibody is human specific. At least two isoforms are known to exist.
|
||
Isotype |
IgG
|
||
Symbol |
C1orf11, PALML
|
||
GeneID |
|||
UniProt ID |
|||
Summary |
Palmdelphin (PALMD) is a member of the paralemmin families that are lipid-anchored proteins having a role in the cell shape control and cell dynamics (1,2). While Paralemmin proteins typically anchor to the cytoplasm through via palmytoylation and prenylation, PALMD is found predominantly in the cytosol (3). PALMD is targeted to the nucleus to induce apoptosis in response to DNA damage (3-5). Abnormal genetic alterations in PALMD are observed in many malignant tumors (5).
|
||
Storage & Stability |
Store at +4°C short term. For long-term storage, aliquot and store at -20°C or below. Stable for 12 months at -20°C. Avoid repeated freeze-thaw cycles.
|
||
Applications |
WB, IHC, E
|
||
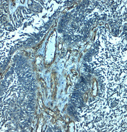
Images |
Western blot analysis of PALMD in human bladder tissue lysate with PALMD antibody at 1 μg/ml.
Immunohistochemistry of PALMD in human bladder tissue with PALMD antibody at 2.5 μg/mL. |
||
Specification |
|||
Quantity |
|
||
| Select | Brand | Catalog No. | Product Name | Pack Size | Type | Field of Research | Specification | Quantity | Price(USD) | |
| 1 | Leading Biology | APR03440G | ITGA11 Antibody (N-term) | 100 μl | Polyclonal Antibodies |
|
$495.00 | Add Ask | ||
| 2 | Leading Biology | APR04537G | CMIP Antibody (C-term) | 100 μl | Polyclonal Antibodies |
|
$495.00 | Add Ask | ||
| 3 | Leading Biology | APR12422G | Human H4 Histamine Receptor (extracellular) Antibody | 50 μl | Polyclonal Antibodies |
|
$695.00 | Add Ask | ||
| 4 | Leading Biology | APR03844G | UBE2W Antibody (C-term) | 100 μl | Polyclonal Antibodies |
|
$495.00 | Add Ask | ||
| 5 | Leading Biology | APR04349G | HECTD2 Antibody (N-term) | 100 μl | Polyclonal Antibodies |
|
$495.00 | Add Ask | ||
| 6 | Leading Biology | APR03502G | IGHG1 Antibody (Center) | 100 μl | Polyclonal Antibodies |
|
$495.00 | Add Ask |
Leading Biology Inc.
2600 Hilltop DR, Building G, B Suite C138
Richmond, CA, 94806
Tel: 1-661-524(LBI)-0262
Email: info@leadingbiology.com
Complete this form and click send to ask us a question, request a quote or simply say hello.

You have 0 item in your cart

You have 0 item in your inquiry list