> Antigen, Antibodies, ELISA, Western Blot > Primary Antibody > Polyclonal Antibodies > KIRREL2 AntibodyBrand |
Leading Biology | Catalog Number |
APR06895G |
Product Type |
Polyclonal Antibodies | Field of Research |
|
Product Overview |
We constantly strive to ensure we provide our customers with the best antibodies. As a result of this work we offer this antibody in purified format.
We are in the process of updating our datasheets. If you have any questions regarding this update, please feel free to contact our technical support team.
This product is a high quality KIRREL2 Antibody.
|
||
Molecular Weight |
Predicted: 64, 70, 78 kDa Observed: 70 kDa
|
||
Cellular Localization |
Antigen Cellular Localization:
Cell membrane; Single-pass type I membrane protein
|
||
Host |
Rabbit
|
||
Species Reactivity |
Human, Mouse, Rat
|
||
Target |
KIRREL2; KIRREL2 antibody is human, mouse and rat reactive. At least five isoforms are are known to exist. This antibody is predicted to not cross-react with other members of the KIRREL protein family.
|
||
Isotype |
IgG
|
||
Symbol |
NEPH3
|
||
GeneID |
|||
UniProt ID |
|||
Summary |
KIRREL2, also known as nephrin-like 3, is a type I transmembrane protein belonging to the immunoglobulin superfamily of cell adhesion molecules (1). KIRREL2 consists of five extracellular Ig-like repeats, a transmembrane domain, several glycosylation sites and a cytoplasmic domain that has a stretch of nine conserved residues (1,2). KIRREL2 has been found to be expressed in beta cells of pancreatic islets and is involved in the regulation of both glomerular and neural development (3,4). Downregulation of KIRREL2 is implicated in several proteinuric diseases (4,5).
|
||
Storage & Stability |
Store at +4°C short term. For long-term storage, aliquot and store at -20°C or below. Stable for 12 months at -20°C. Avoid repeated freeze-thaw cycles.
|
||
Applications |
WB, IHC-P, IF, E
|
||
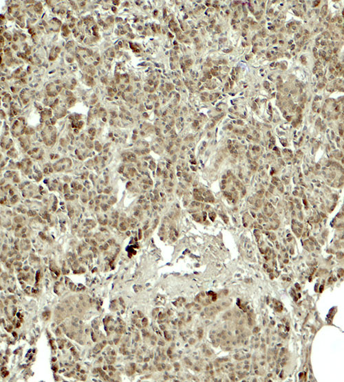
Images |
Western blot analysis of KIRREL2 in 293 cell lysate with KIRREL2 antibody at 1 μg/ml in (A) the absence and (B) the presence of blocking peptide.
Immunohistochemistry of KIRREL2 in human pancreas tissue with KIRREL2 antibody at 5 μg/ml.
Immunofluorescence of KIRREL2 in human pancreas tissue with KIRREL2 antibody at 20 μg/ml. |
||
Specification |
|||
Quantity |
|
||
| Select | Brand | Catalog No. | Product Name | Pack Size | Type | Field of Research | Specification | Quantity | Price(USD) | |
| 1 | Leading Biology | APR03440G | ITGA11 Antibody (N-term) | 100 μl | Polyclonal Antibodies |
|
$495.00 | Add Ask | ||
| 2 | Leading Biology | APR04537G | CMIP Antibody (C-term) | 100 μl | Polyclonal Antibodies |
|
$495.00 | Add Ask | ||
| 3 | Leading Biology | APR12422G | Human H4 Histamine Receptor (extracellular) Antibody | 50 μl | Polyclonal Antibodies |
|
$695.00 | Add Ask | ||
| 4 | Leading Biology | APR03844G | UBE2W Antibody (C-term) | 100 μl | Polyclonal Antibodies |
|
$495.00 | Add Ask | ||
| 5 | Leading Biology | APR04349G | HECTD2 Antibody (N-term) | 100 μl | Polyclonal Antibodies |
|
$495.00 | Add Ask | ||
| 6 | Leading Biology | APR03502G | IGHG1 Antibody (Center) | 100 μl | Polyclonal Antibodies |
|
$495.00 | Add Ask |
Leading Biology Inc.
2600 Hilltop DR, Building G, B Suite C138
Richmond, CA, 94806
Tel: 1-661-524(LBI)-0262
Email: info@leadingbiology.com
Complete this form and click send to ask us a question, request a quote or simply say hello.

You have 0 item in your cart

You have 0 item in your inquiry list