> Antigen, Antibodies, ELISA, Western Blot > Primary Antibody > Polyclonal Antibodies > DEPTOR AntibodyBrand |
Leading Biology | Catalog Number |
APR06880G |
Product Type |
Polyclonal Antibodies | Field of Research |
|
Product Overview |
We constantly strive to ensure we provide our customers with the best antibodies. As a result of this work we offer this antibody in purified format.
We are in the process of updating our datasheets. If you have any questions regarding this update, please feel free to contact our technical support team.
This product is a high quality DEPTOR Antibody.
|
||
Molecular Weight |
Predicted: 45 kDa Observed: 42 kDa
|
||
Host |
Rabbit
|
||
Species Reactivity |
Human, Mouse, Rat
|
||
Target |
DEPTOR; DEPTOR antibody is human, mouse and rat reactive. At least three isoforms of DEPTOR are known to exist; this antibody will detect all three isoforms.
|
||
Isotype |
IgG
|
||
Symbol |
DEPDC6
|
||
GeneID |
|||
UniProt ID |
|||
Function |
Negative regulator of the mTORC1 and mTORC2 signaling pathways. Inhibits the kinase activity of both complexes.
|
||
Summary |
DEPTOR is an mTOR (mammalian target of rapamycin)-interacting protein whose expression is negatively regualted by mTOR complex 1 (mTORC1) and mTORC2 (1). Loss of DEPTOR activates RP6SK1, Akt1, and SGK1, promotes cell growth and survival, and activates mTORC1 and mTORC2 kinase activities. DEPTOR expression is low in most cancers, but is often elevated in multiple myelomas (1). In respons to stimulation by mitogens, DEPTOR is rapidly phosphorylated leading to its ubiquitination and degradation, allowing mTOR to generate an auto-amplification loop to promotes its own full activation (2).
|
||
Storage & Stability |
Store at +4°C short term. For long-term storage, aliquot and store at -20°C or below. Stable for 12 months at -20°C. Avoid repeated freeze-thaw cycles.
|
||
Applications |
WB, IHC-P, E
|
||
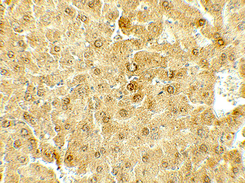
Images |
Western blot analysis of DEPTOR in mouse liver tissue lysate with DEPTOR antibody at (A) 1 and (B) 2 μg/ml.
Immunohistochemistry of DEPTOR in mouse liver tissue with DEPTOR antibody at 5 μg/mL. |
||
Specification |
|||
Quantity |
|
||
| Select | Brand | Catalog No. | Product Name | Pack Size | Type | Field of Research | Specification | Quantity | Price(USD) | |
| 1 | Leading Biology | APR03440G | ITGA11 Antibody (N-term) | 100 μl | Polyclonal Antibodies |
|
$495.00 | Add Ask | ||
| 2 | Leading Biology | APR04537G | CMIP Antibody (C-term) | 100 μl | Polyclonal Antibodies |
|
$495.00 | Add Ask | ||
| 3 | Leading Biology | APR12422G | Human H4 Histamine Receptor (extracellular) Antibody | 50 μl | Polyclonal Antibodies |
|
$695.00 | Add Ask | ||
| 4 | Leading Biology | APR03844G | UBE2W Antibody (C-term) | 100 μl | Polyclonal Antibodies |
|
$495.00 | Add Ask | ||
| 5 | Leading Biology | APR04349G | HECTD2 Antibody (N-term) | 100 μl | Polyclonal Antibodies |
|
$495.00 | Add Ask | ||
| 6 | Leading Biology | APR03502G | IGHG1 Antibody (Center) | 100 μl | Polyclonal Antibodies |
|
$495.00 | Add Ask |
Leading Biology Inc.
2600 Hilltop DR, Building G, B Suite C138
Richmond, CA, 94806
Tel: 1-661-524(LBI)-0262
Email: info@leadingbiology.com
Complete this form and click send to ask us a question, request a quote or simply say hello.

You have 0 item in your cart

You have 0 item in your inquiry list