> Antigen, Antibodies, ELISA, Western Blot > Primary Antibody > Polyclonal Antibodies > TERF2 AntibodyBrand |
Leading Biology | Catalog Number |
APR06871G |
Product Type |
Polyclonal Antibodies | Field of Research |
|
Product Overview |
We constantly strive to ensure we provide our customers with the best antibodies. As a result of this work we offer this antibody in purified format.
We are in the process of updating our datasheets. If you have any questions regarding this update, please feel free to contact our technical support team.
This product is a high quality TERF2 Antibody.
|
||
Molecular Weight |
Predicted: 60 kDa Observed: 69 kDa
|
||
Cellular Localization |
Antigen Cellular Localization:
Nucleus {ECO:0000255|PROSITE- ProRule:PRU00625, ECO:0000269|PubMed:20655466}. Chromosome, telomere. Note=Colocalizes with telomeric DNA in interphase cells and is located at chromosome ends during metaphase
|
||
Host |
Rabbit
|
||
Species Reactivity |
Human
|
||
Target |
TERF2; TERF2 antibody is human specific.
|
||
Isotype |
IgG
|
||
Symbol |
TRBF2, TRF2
|
||
GeneID |
|||
UniProt ID |
|||
Function |
Binds the telomeric double-stranded 5'-TTAGGG-3' repeat and plays a central role in telomere maintenance and protection against end-to-end fusion of chromosomes. In addition to its telomeric DNA-binding role, required to recruit a number of factors and enzymes required for telomere protection, including the shelterin complex, TERF2IP/RAP1 and DCLRE1B/Apollo. Component of the shelterin complex (telosome) that is involved in the regulation of telomere length and protection. Shelterin associates with arrays of double-stranded 5'-TTAGGG-3' repeats added by telomerase and protects chromosome ends; without its protective activity, telomeres are no longer hidden from the DNA damage surveillance and chromosome ends are inappropriately processed by DNA repair pathways. Together with DCLRE1B/Apollo, plays a key role in telomeric loop (T loop) formation by generating 3' single- stranded overhang at the leading end telomeres: T loops have been proposed to protect chromosome ends from degradation and repair. Required both to recruit DCLRE1B/Apollo to telomeres and activate the exonuclease activity of DCLRE1B/Apollo. Preferentially binds to positive supercoiled DNA. Together with DCLRE1B/Apollo, required to control the amount of DNA topoisomerase (TOP1, TOP2A and TOP2B) needed for telomere replication during fork passage and prevent aberrant telomere topology. Recruits TERF2IP/RAP1 to telomeres, thereby participating in to repressing homology- directed repair (HDR), which can affect telomere length.
|
||
Summary |
The telomeric repeat binding factor family (TERF1 and TERF2) plays a key role in cellular immortalization and cellular senescence (1). TERF2, as a component of the telomere nucleoprotein complex, is present at telomeres in metaphase of the cell cycle (2). TERF2 is a second negative regulator of telomere length and binds as a dimer to TTAGGG repeats at ends of chromosomes (telomeres), where it blocks inappropriate activation of the ATM/p53 pathway (2,3). TERF1 negatively regulates telomere elongation, while TERF2 protects the chromosome ends by inhibiting end-to-end fusions. Down-regulation of TRF expression in tumor cells may contribute to cell immortalization and malignant progression (4,5).
|
||
Storage & Stability |
Store at +4°C short term. For long-term storage, aliquot and store at -20°C or below. Stable for 12 months at -20°C. Avoid repeated freeze-thaw cycles.
|
||
Applications |
WB, IHC-P, E
|
||
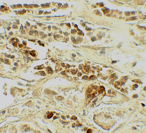
Images |
Western blot analysis of TERF2 in 293 cell lysate with TERF2 antibody at 1 μg/ml.
Immunohistochemistry of TERF2 in human kidney tissue with TERF2 antibody at 5 μg/mL. |
||
Specification |
|||
Quantity |
|
||
| Select | Brand | Catalog No. | Product Name | Pack Size | Type | Field of Research | Specification | Quantity | Price(USD) | |
| 1 | Leading Biology | APR03440G | ITGA11 Antibody (N-term) | 100 μl | Polyclonal Antibodies |
|
$495.00 | Add Ask | ||
| 2 | Leading Biology | APR04537G | CMIP Antibody (C-term) | 100 μl | Polyclonal Antibodies |
|
$495.00 | Add Ask | ||
| 3 | Leading Biology | APR12422G | Human H4 Histamine Receptor (extracellular) Antibody | 50 μl | Polyclonal Antibodies |
|
$695.00 | Add Ask | ||
| 4 | Leading Biology | APR03844G | UBE2W Antibody (C-term) | 100 μl | Polyclonal Antibodies |
|
$495.00 | Add Ask | ||
| 5 | Leading Biology | APR04349G | HECTD2 Antibody (N-term) | 100 μl | Polyclonal Antibodies |
|
$495.00 | Add Ask | ||
| 6 | Leading Biology | APR03502G | IGHG1 Antibody (Center) | 100 μl | Polyclonal Antibodies |
|
$495.00 | Add Ask |
Leading Biology Inc.
2600 Hilltop DR, Building G, B Suite C138
Richmond, CA, 94806
Tel: 1-661-524(LBI)-0262
Email: info@leadingbiology.com
Complete this form and click send to ask us a question, request a quote or simply say hello.

You have 0 item in your cart

You have 0 item in your inquiry list