> Antigen, Antibodies, ELISA, Western Blot > Primary Antibody > Polyclonal Antibodies > TMIGD2 AntibodyBrand |
Leading Biology | Catalog Number |
APR06861G |
Product Type |
Polyclonal Antibodies | Field of Research |
|
Product Overview |
We constantly strive to ensure we provide our customers with the best antibodies. As a result of this work we offer this antibody in purified format.
We are in the process of updating our datasheets. If you have any questions regarding this update, please feel free to contact our technical support team.
This product is a high quality TMIGD2 Antibody.
|
||
Molecular Weight |
Predicted: 31 kDa Observed: 26 kDa
|
||
Cellular Localization |
Antigen Cellular Localization:
Cell membrane; Single-pass type I membrane protein
|
||
Host |
Rabbit
|
||
Species Reactivity |
Human, Mouse
|
||
Target |
TMIGD2; TMIGD2 antibody is human and mouse reactive. At least three isoforms of TMIGD2 are known to exist; this antibody will detect all three. TMIGD2 antibody is predicted to not cross-react with TMIGD1.
|
||
Isotype |
IgG
|
||
Symbol |
CD28H, IGPR1
|
||
GeneID |
|||
UniProt ID |
|||
Function |
Plays a role in cell-cell interaction, cell migration, and angiogenesis. Through interaction with HHLA2, costimulates T- cells in the context of TCR-mediated activation. Enhances T-cell proliferation and cytokine production via an AKT-dependent signaling cascade.
|
||
Summary |
TMIGD2 (transmembrane and immunoglobulin domain containing 1), also known as immunoglobulin-containing and proline-rich receptor 1 (IGPR1), is novel adhesion molecule that is expressed in multiple tissues, primarily in cells of epithelium and endothelium origins (1). TMIGD2 is thought to be involved in angiogenesis and regulates cellular morphology, homophilic cell aggregation, and cell-cell interaction. TMIGD2 activity also modulates actin stress fiber formation and focal adhesion and reduces cell migration (1).
|
||
Storage & Stability |
Store at +4°C short term. For long-term storage, aliquot and store at -20°C or below. Stable for 12 months at -20°C. Avoid repeated freeze-thaw cycles.
|
||
Applications |
WB, IHC-P, E
|
||
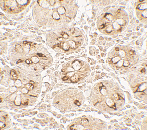
Images |
Western blot analysis of TMIGD2 in mouse small intestine tissue lysate with TMIGD2 antibody at 1 μg/ml.
Immunohistochemistry of TMIGD2 in human small intestine tissue with TMIGD2 antibody at 5 μg/mL. |
||
Specification |
|||
Quantity |
|
||
| Select | Brand | Catalog No. | Product Name | Pack Size | Type | Field of Research | Specification | Quantity | Price(USD) | |
| 1 | Leading Biology | APR03440G | ITGA11 Antibody (N-term) | 100 μl | Polyclonal Antibodies |
|
$495.00 | Add Ask | ||
| 2 | Leading Biology | APR04537G | CMIP Antibody (C-term) | 100 μl | Polyclonal Antibodies |
|
$495.00 | Add Ask | ||
| 3 | Leading Biology | APR12422G | Human H4 Histamine Receptor (extracellular) Antibody | 50 μl | Polyclonal Antibodies |
|
$695.00 | Add Ask | ||
| 4 | Leading Biology | APR03844G | UBE2W Antibody (C-term) | 100 μl | Polyclonal Antibodies |
|
$495.00 | Add Ask | ||
| 5 | Leading Biology | APR04349G | HECTD2 Antibody (N-term) | 100 μl | Polyclonal Antibodies |
|
$495.00 | Add Ask | ||
| 6 | Leading Biology | APR03502G | IGHG1 Antibody (Center) | 100 μl | Polyclonal Antibodies |
|
$495.00 | Add Ask |
Leading Biology Inc.
2600 Hilltop DR, Building G, B Suite C138
Richmond, CA, 94806
Tel: 1-661-524(LBI)-0262
Email: info@leadingbiology.com
Complete this form and click send to ask us a question, request a quote or simply say hello.

You have 0 item in your cart

You have 0 item in your inquiry list