> Antigen, Antibodies, ELISA, Western Blot > Primary Antibody > Polyclonal Antibodies > REQUIEM AntibodyBrand |
Leading Biology | Catalog Number |
APR06685G |
Product Type |
Polyclonal Antibodies | Field of Research |
|
Product Overview |
We constantly strive to ensure we provide our customers with the best antibodies. As a result of this work we offer this antibody in purified format.
We are in the process of updating our datasheets. If you have any questions regarding this update, please feel free to contact our technical support team.
This product is a high quality REQUIEM Antibody.
|
||
Molecular Weight |
44155 Da
|
||
Cellular Localization |
Antigen Cellular Localization:
Nucleus. Cytoplasm. Note=30% nuclear. 70% cytoplasmic
|
||
Host |
Rabbit
|
||
Species Reactivity |
Human, Mouse
|
||
Target |
DPF2; Requiem antibody is predicted to not cross-react with other DPF protein family members.
|
||
Isotype |
IgG
|
||
Symbol |
BAF45D, REQ, UBID4
|
||
GeneID |
|||
UniProt ID |
|||
Function |
May be a transcription factor required for the apoptosis response following survival factor withdrawal from myeloid cells. Might also have a role in the development and maturation of lymphoid cells.
|
||
Summary |
REQUIEM Antibody: Requiem is a member of the d4 domain family, characterized by a zinc finger-like structural motif. This protein functions as a transcription factor which is necessary for the apoptotic response following deprivation of survival factors. It is expressed in numerous tissues in both cytosolic and nuclear regions and likely serves a regulatory role in rapid hematopoietic cell growth and turnover. Requiem has been found to act as an adaptor protein that links the NF-κB and SWI/SNF chromatin remodeling factor and is considered a candidate gene for multiple endocrine neoplasia type I, an inherited cancer syndrome involving multiple parathyroid, enteropancreatic, and pituitary tumors.
|
||
Storage & Stability |
Store at +4°C short term. For long-term storage, aliquot and store at -20°C or below. Stable for 12 months at -20°C. Avoid repeated freeze-thaw cycles.
|
||
Applications |
WB, IHC-P, IF, E
|
||
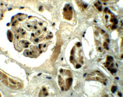
Images |
Western blot analysis of Requiem in mouse kidney tissue lysate with Requiem antibody at 1 μg/mL.
Immunohistochemistry of REQUIEM in human kidney tissue with REQUIEM antibody at 5 μg/mL.
Immunofluorescence of REQUIEM in human kidney tissue with REQUIEM antibody at 20 μg/mL. |
||
Specification |
|||
Quantity |
|
||
| Select | Brand | Catalog No. | Product Name | Pack Size | Type | Field of Research | Specification | Quantity | Price(USD) | |
| 1 | Leading Biology | APR03440G | ITGA11 Antibody (N-term) | 100 μl | Polyclonal Antibodies |
|
$495.00 | Add Ask | ||
| 2 | Leading Biology | APR04537G | CMIP Antibody (C-term) | 100 μl | Polyclonal Antibodies |
|
$495.00 | Add Ask | ||
| 3 | Leading Biology | APR12422G | Human H4 Histamine Receptor (extracellular) Antibody | 50 μl | Polyclonal Antibodies |
|
$695.00 | Add Ask | ||
| 4 | Leading Biology | APR03844G | UBE2W Antibody (C-term) | 100 μl | Polyclonal Antibodies |
|
$495.00 | Add Ask | ||
| 5 | Leading Biology | APR04349G | HECTD2 Antibody (N-term) | 100 μl | Polyclonal Antibodies |
|
$495.00 | Add Ask | ||
| 6 | Leading Biology | APR03502G | IGHG1 Antibody (Center) | 100 μl | Polyclonal Antibodies |
|
$495.00 | Add Ask |
Leading Biology Inc.
2600 Hilltop DR, Building G, B Suite C138
Richmond, CA, 94806
Tel: 1-661-524(LBI)-0262
Email: info@leadingbiology.com
Complete this form and click send to ask us a question, request a quote or simply say hello.

You have 0 item in your cart

You have 0 item in your inquiry list