> Antigen, Antibodies, ELISA, Western Blot > Primary Antibody > Polyclonal Antibodies > NOD6 AntibodyBrand |
Leading Biology | Catalog Number |
APR06665G |
Product Type |
Polyclonal Antibodies | Field of Research |
|
Product Overview |
We constantly strive to ensure we provide our customers with the best antibodies. As a result of this work we offer this antibody in purified format.
We are in the process of updating our datasheets. If you have any questions regarding this update, please feel free to contact our technical support team.
This product is a high quality NOD6 Antibody.
|
||
Molecular Weight |
113312 Da
|
||
Cellular Localization |
Antigen Cellular Localization:
Cytoplasm.
|
||
Host |
Rabbit
|
||
Species Reactivity |
Human, Mouse
|
||
Target |
NLRP9;
|
||
Isotype |
IgG
|
||
Symbol |
NALP9, NOD6, PAN12
|
||
GeneID |
|||
UniProt ID |
|||
Function |
Involved in inflammation.
|
||
Summary |
NOD6 Antibody: NOD6, also known as NALP9, is a member of the NALP family, a group of proteins that typically contain a NACHT domain, a NACHT-associated domain (NAD), a C-terminal leucine-rich repeat (LRR) region, and an N-terminal pyrin domain (PYD) and are involved in inflammation and innate immune defense. The bovine NOD6, which has 76% homology to its human counterpart, has been suggested to be an oocyte marker gene. In adult tissues, NALP9 mRNA is expressed exclusively in ovary and testis.
|
||
Storage & Stability |
Store at +4°C short term. For long-term storage, aliquot and store at -20°C or below. Stable for 12 months at -20°C. Avoid repeated freeze-thaw cycles.
|
||
Applications |
WB, IHC-P, IF, E
|
||
Images |
Western blot analysis of NOD6 in EL4 cell lysate with NOD6 antibody at 1 μg/mL in the (A) absence and (B) presence of blocking peptide.
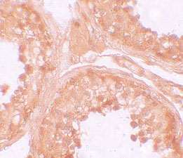
Immunohistochemistry of NOD6 in human testis tissue with NOD6 antibody at 10 μg/mL.
Immunofluorescence of NOD6 in human testis tissue with NOD6 antibody at 20 μg/mL. |
||
Specification |
|||
Quantity |
|
||
| Select | Brand | Catalog No. | Product Name | Pack Size | Type | Field of Research | Specification | Quantity | Price(USD) | |
| 1 | Leading Biology | APR03440G | ITGA11 Antibody (N-term) | 100 μl | Polyclonal Antibodies |
|
$495.00 | Add Ask | ||
| 2 | Leading Biology | APR04537G | CMIP Antibody (C-term) | 100 μl | Polyclonal Antibodies |
|
$495.00 | Add Ask | ||
| 3 | Leading Biology | APR12422G | Human H4 Histamine Receptor (extracellular) Antibody | 50 μl | Polyclonal Antibodies |
|
$695.00 | Add Ask | ||
| 4 | Leading Biology | APR03844G | UBE2W Antibody (C-term) | 100 μl | Polyclonal Antibodies |
|
$495.00 | Add Ask | ||
| 5 | Leading Biology | APR04349G | HECTD2 Antibody (N-term) | 100 μl | Polyclonal Antibodies |
|
$495.00 | Add Ask | ||
| 6 | Leading Biology | APR03502G | IGHG1 Antibody (Center) | 100 μl | Polyclonal Antibodies |
|
$495.00 | Add Ask |
Leading Biology Inc.
2600 Hilltop DR, Building G, B Suite C138
Richmond, CA, 94806
Tel: 1-661-524(LBI)-0262
Email: info@leadingbiology.com
Complete this form and click send to ask us a question, request a quote or simply say hello.

You have 0 item in your cart

You have 0 item in your inquiry list