> Antigen, Antibodies, ELISA, Western Blot > Primary Antibody > Polyclonal Antibodies > JMJD5 AntibodyBrand |
Leading Biology | Catalog Number |
APR06564G |
Product Type |
Polyclonal Antibodies | Field of Research |
|
Product Overview |
We constantly strive to ensure we provide our customers with the best antibodies. As a result of this work we offer this antibody in purified format.
We are in the process of updating our datasheets. If you have any questions regarding this update, please feel free to contact our technical support team.
This product is a high quality JMJD5 Antibody.
|
||
Molecular Weight |
47270 Da
|
||
Cellular Localization |
Antigen Cellular Localization:
Nucleus.
|
||
Host |
Rabbit
|
||
Species Reactivity |
Human, Mouse, Rat
|
||
Target |
JMJD5;
|
||
Isotype |
IgG
|
||
Symbol |
JMJD5
|
||
GeneID |
|||
UniProt ID |
|||
Function |
Histone demethylase required for G2/M phase cell cycle progression. Specifically demethylates dimethylated 'Lys-36' (H3K36me2) of histone H3, an epigenetic repressive mark, thereby acting as a transcription activator. Regulates expression of CCNA1 (cyclin-A1), leading to regulate cancer cell proliferation.
|
||
Summary |
JMJD5 Antibody: The jumonji domain-containing protein (JMJD) family is defined by the presence of the JmjC domain that is observed in several diverse species. While several JMJD proteins have been identified as being involved in chromatin regulation, histone demethylation and development, the function of JMJD5 has not been identified. JMJD5 is expressed in multiple tissues.
|
||
Storage & Stability |
Store at +4°C short term. For long-term storage, aliquot and store at -20°C or below. Stable for 12 months at -20°C. Avoid repeated freeze-thaw cycles.
|
||
Applications |
WB, IHC-P, IF, E
|
||
Images |
Western blot analysis of JMJD5 in human liver tissue lysate with JMJD5 antibody at (A) 1 and (B) 2 μg/mL.
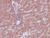
Immunohistochemistry of JMJD5 in rat liver tissue with JMJD5 antibody at 2.5 μg/mL.
Immunofluorescence of JMJD5 in Rat Liver cells with JMJD5 antibody at 20 μg/mL. |
||
Specification |
|||
Quantity |
|
||
| Select | Brand | Catalog No. | Product Name | Pack Size | Type | Field of Research | Specification | Quantity | Price(USD) | |
| 1 | Leading Biology | APR03440G | ITGA11 Antibody (N-term) | 100 μl | Polyclonal Antibodies |
|
$495.00 | Add Ask | ||
| 2 | Leading Biology | APR04537G | CMIP Antibody (C-term) | 100 μl | Polyclonal Antibodies |
|
$495.00 | Add Ask | ||
| 3 | Leading Biology | APR12422G | Human H4 Histamine Receptor (extracellular) Antibody | 50 μl | Polyclonal Antibodies |
|
$695.00 | Add Ask | ||
| 4 | Leading Biology | APR03844G | UBE2W Antibody (C-term) | 100 μl | Polyclonal Antibodies |
|
$495.00 | Add Ask | ||
| 5 | Leading Biology | APR04349G | HECTD2 Antibody (N-term) | 100 μl | Polyclonal Antibodies |
|
$495.00 | Add Ask | ||
| 6 | Leading Biology | APR03502G | IGHG1 Antibody (Center) | 100 μl | Polyclonal Antibodies |
|
$495.00 | Add Ask |
Leading Biology Inc.
2600 Hilltop DR, Building G, B Suite C138
Richmond, CA, 94806
Tel: 1-661-524(LBI)-0262
Email: info@leadingbiology.com
Complete this form and click send to ask us a question, request a quote or simply say hello.

You have 0 item in your cart

You have 0 item in your inquiry list