> Antigen, Antibodies, ELISA, Western Blot > Primary Antibody > Polyclonal Antibodies > FAM120A AntibodyBrand |
Leading Biology | Catalog Number |
APR06562G |
Product Type |
Polyclonal Antibodies | Field of Research |
|
Product Overview |
We constantly strive to ensure we provide our customers with the best antibodies. As a result of this work we offer this antibody in purified format.
We are in the process of updating our datasheets. If you have any questions regarding this update, please feel free to contact our technical support team.
This product is a high quality FAM120A Antibody.
|
||
Molecular Weight |
121888 Da
|
||
Cellular Localization |
Antigen Cellular Localization:
Cytoplasm. Cell membrane; Peripheral membrane protein; Cytoplasmic side. Note=Translocates to plasma membrane upon ultraviolet exposure
|
||
Host |
Rabbit
|
||
Species Reactivity |
Human, Mouse, Rat
|
||
Target |
FAM120A; This antibody will not cross-reacti with FAM120B / PGCC1.
|
||
Isotype |
IgG
|
||
Symbol |
C9orf10, KIAA0183, OSSA
|
||
GeneID |
|||
UniProt ID |
|||
Function |
May participate in mRNA transport in the cytoplasm (By similarity). Critical component of the oxidative stress-induced survival signaling. Activates src family kinases and acts as a scaffolding protein enabling src family kinases to phosphorylate and activate PI3-kinase. Binds RNA and promotes the secretion of IGF-II. May play a pivotal role in the progression of scirrhous- type gastric cancer by supporting cancer cell survival in environments with various oxidative stresses.
|
||
Summary |
FAM120A Antibody: FAM120A (C9orf10) is a member of the constitutive coactivator of PPAR gamma family and the gene was mapped to chromosome 9q22.31. FAM120A was recently detected within the Pur-alpha-containing mRNA-protein complex in the brain. As a novel RNA-binding protein, FAM120A is a critical component of the oxidative stress-induced survival signaling. It may participate in mRNA transport in the cytoplasm. FAM120A activates src family kinases and acts as a scaffolding protein enabling src family kinases to phosphorylate and activate PI3-kinase. FAM120A protects cells from apoptosis through activation of SRKs in response to oxidative stress. Blocking of the survival signaling mediated by FAM120A, which sensitizes the cancer cells to stress-induced apoptosis, may be a novel therapeutic approach for gastric scirrhous carcinoma cells.
|
||
Storage & Stability |
Store at +4°C short term. For long-term storage, aliquot and store at -20°C or below. Stable for 12 months at -20°C. Avoid repeated freeze-thaw cycles.
|
||
Applications |
WB, IHC-P, IF, E
|
||
Images |
Western blot analysis of FAM120A in SK-N-SH cell lysate with FAM120A antibody at (A) 0.5 and (B) 1 μg/mL.
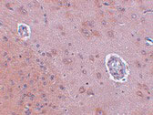
Immunohistochemistry of FAM120A in rat brain tissue with FAM120A antibody at 2.5 μg/mL.
Immunofluorescence of FAM120A in Rat Brain cells with FAM120A antibody at 20 μg/mL. |
||
Specification |
|||
Quantity |
|
||
| Select | Brand | Catalog No. | Product Name | Pack Size | Type | Field of Research | Specification | Quantity | Price(USD) | |
| 1 | Leading Biology | APR03440G | ITGA11 Antibody (N-term) | 100 μl | Polyclonal Antibodies |
|
$495.00 | Add Ask | ||
| 2 | Leading Biology | APR04537G | CMIP Antibody (C-term) | 100 μl | Polyclonal Antibodies |
|
$495.00 | Add Ask | ||
| 3 | Leading Biology | APR12422G | Human H4 Histamine Receptor (extracellular) Antibody | 50 μl | Polyclonal Antibodies |
|
$695.00 | Add Ask | ||
| 4 | Leading Biology | APR03844G | UBE2W Antibody (C-term) | 100 μl | Polyclonal Antibodies |
|
$495.00 | Add Ask | ||
| 5 | Leading Biology | APR04349G | HECTD2 Antibody (N-term) | 100 μl | Polyclonal Antibodies |
|
$495.00 | Add Ask | ||
| 6 | Leading Biology | APR03502G | IGHG1 Antibody (Center) | 100 μl | Polyclonal Antibodies |
|
$495.00 | Add Ask |
Leading Biology Inc.
2600 Hilltop DR, Building G, B Suite C138
Richmond, CA, 94806
Tel: 1-661-524(LBI)-0262
Email: info@leadingbiology.com
Complete this form and click send to ask us a question, request a quote or simply say hello.

You have 0 item in your cart

You have 0 item in your inquiry list