> Antigen, Antibodies, ELISA, Western Blot > Primary Antibody > Polyclonal Antibodies > LIAR AntibodyBrand |
Leading Biology | Catalog Number |
APR06550G |
Product Type |
Polyclonal Antibodies | Field of Research |
|
Product Overview |
We constantly strive to ensure we provide our customers with the best antibodies. As a result of this work we offer this antibody in purified format.
We are in the process of updating our datasheets. If you have any questions regarding this update, please feel free to contact our technical support team.
This product is a high quality LIAR Antibody.
|
||
Molecular Weight |
32505 Da
|
||
Cellular Localization |
Antigen Cellular Localization:
Nucleus. Cytoplasm. Midbody. Note=Shuttles between nucleus and cytoplasm during the cell cycle. EPO stimulation induces nuclear accumulation (By similarity).
|
||
Host |
Rabbit
|
||
Species Reactivity |
Human, Mouse, Rat
|
||
Target |
ANKRD54;
|
||
Isotype |
IgG
|
||
Symbol |
LIAR
|
||
GeneID |
|||
UniProt ID |
|||
Function |
Plays an important role in regulating intracellular signaling events associated with erythroid terminal differentiation.
|
||
Summary |
LIAR Antibody: Ankyrin (ANK) repeats mediate protein-protein interactions in diverse families of proteins. The number of ANK repeats in a protein can range from 2 to over 20. ANK repeats may occur in combinations with other types of domains. The structural repeat unit contains two anti-parallel helices and a beta-hairpin, with repeats stacked in a superhelical arrangement. LIAR, also known as ANKRD54, is a recently identified ANK repeat-containing protein that is predominantly expressed in tissues rich in cilliated cells, such as olfactory sensory neurons and is predicted to be important to cilia. At least three isoforms of LIAR are known to exist.
|
||
Storage & Stability |
Store at +4°C short term. For long-term storage, aliquot and store at -20°C or below. Stable for 12 months at -20°C. Avoid repeated freeze-thaw cycles.
|
||
Applications |
WB, IHC-P, IF, E
|
||
Images |
Western blot analysis of LIAR in mouse kidney tissue lysate with LIAR antibody at 1 μg/mL in (A) the absence and (B) the presence of blocking peptide.
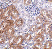
Immunohistochemistry of LIAR in mouse kidney tissue with LIAR antibody at 2.5 μg/mL.
Immunofluorescence of LIAR in Mouse Kidney cells with LIAR antibody at 20 μg/mL. |
||
Specification |
|||
Quantity |
|
||
| Select | Brand | Catalog No. | Product Name | Pack Size | Type | Field of Research | Specification | Quantity | Price(USD) | |
| 1 | Leading Biology | APR03440G | ITGA11 Antibody (N-term) | 100 μl | Polyclonal Antibodies |
|
$495.00 | Add Ask | ||
| 2 | Leading Biology | APR04537G | CMIP Antibody (C-term) | 100 μl | Polyclonal Antibodies |
|
$495.00 | Add Ask | ||
| 3 | Leading Biology | APR12422G | Human H4 Histamine Receptor (extracellular) Antibody | 50 μl | Polyclonal Antibodies |
|
$695.00 | Add Ask | ||
| 4 | Leading Biology | APR03844G | UBE2W Antibody (C-term) | 100 μl | Polyclonal Antibodies |
|
$495.00 | Add Ask | ||
| 5 | Leading Biology | APR04349G | HECTD2 Antibody (N-term) | 100 μl | Polyclonal Antibodies |
|
$495.00 | Add Ask | ||
| 6 | Leading Biology | APR03502G | IGHG1 Antibody (Center) | 100 μl | Polyclonal Antibodies |
|
$495.00 | Add Ask |
Leading Biology Inc.
2600 Hilltop DR, Building G, B Suite C138
Richmond, CA, 94806
Tel: 1-661-524(LBI)-0262
Email: info@leadingbiology.com
Complete this form and click send to ask us a question, request a quote or simply say hello.

You have 0 item in your cart

You have 0 item in your inquiry list