> Antigen, Antibodies, ELISA, Western Blot > Primary Antibody > Polyclonal Antibodies > AFAP1L2 AntibodyBrand |
Leading Biology | Catalog Number |
APR06547G |
Product Type |
Polyclonal Antibodies | Field of Research |
|
Product Overview |
We constantly strive to ensure we provide our customers with the best antibodies. As a result of this work we offer this antibody in purified format.
We are in the process of updating our datasheets. If you have any questions regarding this update, please feel free to contact our technical support team.
This product is a high quality AFAP1L2 Antibody.
|
||
Molecular Weight |
91300 Da
|
||
Cellular Localization |
Antigen Cellular Localization:
Cytoplasm.
|
||
Host |
Rabbit
|
||
Species Reactivity |
Human, Mouse, Rat
|
||
Target |
AFAP1L2;
|
||
Isotype |
IgG
|
||
Symbol |
KIAA1914, XB130
|
||
GeneID |
|||
UniProt ID |
|||
Function |
May play a role in a signaling cascade by enhancing the kinase activity of SRC. Contributes to SRC-regulated transcription activation.
|
||
Summary |
AFAP1L2 Antibody: AFAP1L2, also known as XB130, is structurally similar to actin-filament-associated protein (AFAP), containing several SH2- and SH3-binding motifs, two pleckstrin homology domains, a coiled-coil region, and many potential phosphorylation sites. It interacts with and is phosphorylated by c-Src tyrosine kinase. Suppression of AFAP1L2 via siRNA reduced Src activity, IL-8 production, EGF-induced phosphorylation of Akt and GSK3beta, and altered cell cycles in human lung epithelial cells suggesting that AFAP1L2 plays a role as an adaptor in the regulation of Src signal transduction and multiple cellular functions. Recent experiments have shown that AFAP1L2 is highly expressed in thyroid and is the substrate RET/PTC kinase, a thyroid-specific kinase that plays a pathogenic role in papillary thyroid cancer. Down-regulation of AFAP1L2 in these cancer cells reduced Akt activity, inhibiting cell-cycle progression and cancer cell survival in suspension, indicating that AFAP1L2 may be a valuable target in thyroid cancer therapy. At least four isoforms of AFAP1L2 are known to exist.
|
||
Storage & Stability |
Store at +4°C short term. For long-term storage, aliquot and store at -20°C or below. Stable for 12 months at -20°C. Avoid repeated freeze-thaw cycles.
|
||
Applications |
WB, IHC-P, IF, E
|
||
Images |
Western blot analysis of AFAP1L2 in mouse liver tissue lysate with AFAP1L2 antibody at (A) 1 and (B) 2 μg/mL.
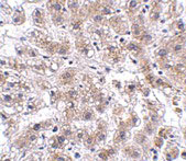
Immunohistochemistry of AFAP1L2 in human liver tissue with AFAP1L2 antibody at 2.5 μg/mL.
Immunofluorescence of AFAP1L2 in human liver tissue with AFAP1L antibody at 20 μg/mL. |
||
Specification |
|||
Quantity |
|
||
| Select | Brand | Catalog No. | Product Name | Pack Size | Type | Field of Research | Specification | Quantity | Price(USD) | |
| 1 | Leading Biology | APR03440G | ITGA11 Antibody (N-term) | 100 μl | Polyclonal Antibodies |
|
$495.00 | Add Ask | ||
| 2 | Leading Biology | APR04537G | CMIP Antibody (C-term) | 100 μl | Polyclonal Antibodies |
|
$495.00 | Add Ask | ||
| 3 | Leading Biology | APR12422G | Human H4 Histamine Receptor (extracellular) Antibody | 50 μl | Polyclonal Antibodies |
|
$695.00 | Add Ask | ||
| 4 | Leading Biology | APR03844G | UBE2W Antibody (C-term) | 100 μl | Polyclonal Antibodies |
|
$495.00 | Add Ask | ||
| 5 | Leading Biology | APR04349G | HECTD2 Antibody (N-term) | 100 μl | Polyclonal Antibodies |
|
$495.00 | Add Ask | ||
| 6 | Leading Biology | APR03502G | IGHG1 Antibody (Center) | 100 μl | Polyclonal Antibodies |
|
$495.00 | Add Ask |
Leading Biology Inc.
2600 Hilltop DR, Building G, B Suite C138
Richmond, CA, 94806
Tel: 1-661-524(LBI)-0262
Email: info@leadingbiology.com
Complete this form and click send to ask us a question, request a quote or simply say hello.

You have 0 item in your cart

You have 0 item in your inquiry list