> Antigen, Antibodies, ELISA, Western Blot > Primary Antibody > Polyclonal Antibodies > EBI3 AntibodyBrand |
Leading Biology | Catalog Number |
APR06520G |
Product Type |
Polyclonal Antibodies | Field of Research |
|
Product Overview |
We constantly strive to ensure we provide our customers with the best antibodies. As a result of this work we offer this antibody in purified format.
We are in the process of updating our datasheets. If you have any questions regarding this update, please feel free to contact our technical support team.
This product is a high quality EBI3 Antibody.
|
||
Molecular Weight |
25396 Da
|
||
Cellular Localization |
Antigen Cellular Localization:
Secreted.
|
||
Host |
Rabbit
|
||
Species Reactivity |
Human, Mouse, Rat
|
||
Target |
EBI3;
|
||
Isotype |
IgG
|
||
Symbol |
IL27B
|
||
GeneID |
|||
UniProt ID |
|||
Function |
Associates with IL27 to form the IL-27 interleukin, a heterodimeric cytokine which functions in innate immunity. IL-27 has pro- and anti-inflammatory properties, that can regulate T- helper cell development, suppress T-cell proliferation, stimulate cytotoxic T-cell activity, induce isotype switching in B-cells, and that has diverse effects on innate immune cells. Among its target cells are CD4 T-helper cells which can differentiate in type 1 effector cells (TH1), type 2 effector cells (TH2) and IL17 producing helper T-cells (TH17). It drives rapid clonal expansion of naive but not memory CD4 T-cells. It also strongly synergizes with IL-12 to trigger interferon-gamma/IFN-gamma production of naive CD4 T-cells, binds to the cytokine receptor WSX-1/TCCR. Another important role of IL-27 is its antitumor activity as well as its antiangiogenic activity with activation of production of antiangiogenic chemokines.
|
||
Summary |
EBI3 Antibody: EBI3 is a subunit in two distinct heterodimeric cytokines: interleukin-27 (IL-27) and IL-35. Like interleukin-23 (IL-23), IL-27 is a recently discovered member of the IL-6/IL-12 family of proinflammatory and immunoregulatory cytokines. It exists as a heterodimer composed of the p40-related protein EBI3 and an IL-12 p35-related protein termed p28. IL-27 is produced after activation by antigen-presenting cells and induces proliferation of na?ve but not memory CD4+ T-cells. It acts by binding to its receptor WSX-1 (also known as TCCR) and gp130 which results in the activation of a Jak/STAT signaling cascade, suggesting the IL-27 is involved in the regulation of immune processes. It has been suggested that IL-27 can also be used as a therapeutic agent against cancer as it can also induce tumor-specific anti-tumor activity mediated through CD8+ T-cells, IFN-gamma, and T-bet. IL-35 is composed of EBI3 and the p35 subunit of IL-12 and has been reported to have therapeutic effects against collagen-induced arthritis by expanding the population of regulatory T cells and suppressing Th17 cells. At least two isoform of EBI3 are known to exist.
|
||
Storage & Stability |
Store at +4°C short term. For long-term storage, aliquot and store at -20°C or below. Stable for 12 months at -20°C. Avoid repeated freeze-thaw cycles.
|
||
Applications |
WB, IHC-P, IF, E
|
||
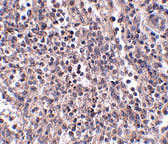
Images |
Western blot analysis of EBI3 in rat spleen tissue lysate with EBI3 antibody at 2 μg/mL.
Immunohistochemistry of EBI3 in human spleen tissue with EBI3 antibody at 2.5 μg/mL.
Immunofluorescence of EBI3 in Human Spleen cells with EBI3 antibody at 20 μg/mL. |
||
Specification |
|||
Quantity |
|
||
| Select | Brand | Catalog No. | Product Name | Pack Size | Type | Field of Research | Specification | Quantity | Price(USD) | |
| 1 | Leading Biology | APR03440G | ITGA11 Antibody (N-term) | 100 μl | Polyclonal Antibodies |
|
$495.00 | Add Ask | ||
| 2 | Leading Biology | APR04537G | CMIP Antibody (C-term) | 100 μl | Polyclonal Antibodies |
|
$495.00 | Add Ask | ||
| 3 | Leading Biology | APR12422G | Human H4 Histamine Receptor (extracellular) Antibody | 50 μl | Polyclonal Antibodies |
|
$695.00 | Add Ask | ||
| 4 | Leading Biology | APR03844G | UBE2W Antibody (C-term) | 100 μl | Polyclonal Antibodies |
|
$495.00 | Add Ask | ||
| 5 | Leading Biology | APR04349G | HECTD2 Antibody (N-term) | 100 μl | Polyclonal Antibodies |
|
$495.00 | Add Ask | ||
| 6 | Leading Biology | APR03502G | IGHG1 Antibody (Center) | 100 μl | Polyclonal Antibodies |
|
$495.00 | Add Ask |
Leading Biology Inc.
2600 Hilltop DR, Building G, B Suite C138
Richmond, CA, 94806
Tel: 1-661-524(LBI)-0262
Email: info@leadingbiology.com
Complete this form and click send to ask us a question, request a quote or simply say hello.

You have 0 item in your cart

You have 0 item in your inquiry list