> Antigen, Antibodies, ELISA, Western Blot > Primary Antibody > Polyclonal Antibodies > NIPSNAP3B AntibodyBrand |
Leading Biology | Catalog Number |
APR06517G |
Product Type |
Polyclonal Antibodies | Field of Research |
|
Product Overview |
We constantly strive to ensure we provide our customers with the best antibodies. As a result of this work we offer this antibody in purified format.
We are in the process of updating our datasheets. If you have any questions regarding this update, please feel free to contact our technical support team.
This product is a high quality NIPSNAP3B Antibody.
|
||
Molecular Weight |
28313 Da
|
||
Host |
Rabbit
|
||
Species Reactivity |
Human, Mouse
|
||
Target |
NIPSNAP3B; NIPSNAP3B antibody is predicted to not cross-react with any other members of the NIPSNAP protein family.
|
||
Isotype |
IgG
|
||
Symbol |
NIPSNAP3
|
||
GeneID |
|||
UniProt ID |
|||
Summary |
NIPSNAP3B Antibody: The NIPSNAP proteins comprise a family of evolutionarily well-conserved proteins with strong sequence similarity to the central portion of a protein encoded by C. elegans chromosome III between a 4-nitrophenylphosphatase (NIP) domain and non-neuronal SNAP25-like protein. NIPSNAP2, a novel gene encoding a protein with tyrosine phosphorylation sites and a transmembrane domain, is co-amplified with EGFR in approximately 40% of glioblastomas, the most common and malignant form of central nervous system tumors. While NIPSNAP3B is highly expressed skeletal muscle, NIPSNAP3A mRNA levels are low. NIPSNAP proteins have been suggested to be important in vesicular transport.
|
||
Storage & Stability |
Store at +4°C short term. For long-term storage, aliquot and store at -20°C or below. Stable for 12 months at -20°C. Avoid repeated freeze-thaw cycles.
|
||
Applications |
WB, IHC-P, IF, E
|
||
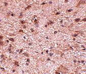
Images |
Western blot analysis of NIPSNAP3B in mouse brain tissue lysate with NIPSNAP3B antibody at (A) 1 and (B) 2 μg/mL.
Immunohistochemistry of NIPSNAP3B in mouse brain tissue with NIPSNAP3B antibody at 2.5 μg/mL.
Immunofluorescence of NIPSNAP3B in mouse brain tissue with NIPSNAP3B antibody at 5 μg/mL. |
||
Specification |
|||
Quantity |
|
||
| Select | Brand | Catalog No. | Product Name | Pack Size | Type | Field of Research | Specification | Quantity | Price(USD) | |
| 1 | Leading Biology | APR03440G | ITGA11 Antibody (N-term) | 100 μl | Polyclonal Antibodies |
|
$495.00 | Add Ask | ||
| 2 | Leading Biology | APR04537G | CMIP Antibody (C-term) | 100 μl | Polyclonal Antibodies |
|
$495.00 | Add Ask | ||
| 3 | Leading Biology | APR12422G | Human H4 Histamine Receptor (extracellular) Antibody | 50 μl | Polyclonal Antibodies |
|
$695.00 | Add Ask | ||
| 4 | Leading Biology | APR03844G | UBE2W Antibody (C-term) | 100 μl | Polyclonal Antibodies |
|
$495.00 | Add Ask | ||
| 5 | Leading Biology | APR04349G | HECTD2 Antibody (N-term) | 100 μl | Polyclonal Antibodies |
|
$495.00 | Add Ask | ||
| 6 | Leading Biology | APR03502G | IGHG1 Antibody (Center) | 100 μl | Polyclonal Antibodies |
|
$495.00 | Add Ask |
Leading Biology Inc.
2600 Hilltop DR, Building G, B Suite C138
Richmond, CA, 94806
Tel: 1-661-524(LBI)-0262
Email: info@leadingbiology.com
Complete this form and click send to ask us a question, request a quote or simply say hello.

You have 0 item in your cart

You have 0 item in your inquiry list