> Antigen, Antibodies, ELISA, Western Blot > Primary Antibody > Polyclonal Antibodies > CAPN6 AntibodyBrand |
Leading Biology | Catalog Number |
APR06495G |
Product Type |
Polyclonal Antibodies | Field of Research |
|
Product Overview |
We constantly strive to ensure we provide our customers with the best antibodies. As a result of this work we offer this antibody in purified format.
We are in the process of updating our datasheets. If you have any questions regarding this update, please feel free to contact our technical support team.
This product is a high quality CAPN6 Antibody.
|
||
Molecular Weight |
74576 Da
|
||
Cellular Localization |
Antigen Cellular Localization:
Cytoplasm, perinuclear region. Cytoplasm, cytoskeleton, spindle. Note=During mitose associated with the mitotic spindle. At telophase colocalized to the midbody spindle
|
||
Host |
Rabbit
|
||
Species Reactivity |
Human, Mouse, Rat
|
||
Target |
CAPN6;
|
||
Isotype |
IgG
|
||
Symbol |
CALPM, CANPX
|
||
GeneID |
|||
UniProt ID |
|||
Function |
Microtubule-stabilizing protein that may be involved in the regulation of microtubule dynamics and cytoskeletal organization. May act as a regulator of RAC1 activity through interaction with ARHGEF2 to control lamellipodial formation and cell mobility. Does not seem to have protease activity as it has lost the active site residues (By similarity).
|
||
Summary |
CAPN6 Antibody: Calpains make up a ubiquitously expressed, well-conserved family of calcium-dependent cysteine proteases. The calpain proteins are heterodimers consisting of an invariant small subunit and variable large subunits. This large subunit possesses a cysteine protease domain, and both subunits possess calcium-binding domains. Calpains have been implicated in neurodegenerative processes as their activation can be triggered by calcium influx and oxidative stress. Calpain 6 (CAPN6) is most similar to Calpain 5; the C-terminal region of CAPN6 lacks homology to the calmodulin-like domain of other vertebrate calpains. CAPN6 is thought to be involved in the regulation of microtubule dynamics and cytoskeletal organization. CAPN6 has also been recently identified as an HIV dependency factor (HDF), suggesting that CAPN6 may be an important drug target in HIV treatment.
|
||
Storage & Stability |
Store at +4°C short term. For long-term storage, aliquot and store at -20°C or below. Stable for 12 months at -20°C. Avoid repeated freeze-thaw cycles.
|
||
Applications |
WB, IHC-P, IF, E
|
||
Images |
Western blot analysis of CAPN6 in rat lung tissue lysate with CAPN6 antibody at (A) 0.5 and (B) 1 μg/mL.
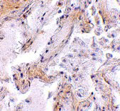
Immunohistochemistry of CAPN6 in human lung tissue with CAPN6 antibody at 2.5 μg/mL.
Immunofluorescence of CAPN6 in Human Lung cells with CAPN6 antibody at 20 μg/mL. |
||
Specification |
|||
Quantity |
|
||
| Select | Brand | Catalog No. | Product Name | Pack Size | Type | Field of Research | Specification | Quantity | Price(USD) | |
| 1 | Leading Biology | APR03440G | ITGA11 Antibody (N-term) | 100 μl | Polyclonal Antibodies |
|
$495.00 | Add Ask | ||
| 2 | Leading Biology | APR04537G | CMIP Antibody (C-term) | 100 μl | Polyclonal Antibodies |
|
$495.00 | Add Ask | ||
| 3 | Leading Biology | APR12422G | Human H4 Histamine Receptor (extracellular) Antibody | 50 μl | Polyclonal Antibodies |
|
$695.00 | Add Ask | ||
| 4 | Leading Biology | APR03844G | UBE2W Antibody (C-term) | 100 μl | Polyclonal Antibodies |
|
$495.00 | Add Ask | ||
| 5 | Leading Biology | APR04349G | HECTD2 Antibody (N-term) | 100 μl | Polyclonal Antibodies |
|
$495.00 | Add Ask | ||
| 6 | Leading Biology | APR03502G | IGHG1 Antibody (Center) | 100 μl | Polyclonal Antibodies |
|
$495.00 | Add Ask |
Leading Biology Inc.
2600 Hilltop DR, Building G, B Suite C138
Richmond, CA, 94806
Tel: 1-661-524(LBI)-0262
Email: info@leadingbiology.com
Complete this form and click send to ask us a question, request a quote or simply say hello.

You have 0 item in your cart

You have 0 item in your inquiry list