> Antigen, Antibodies, ELISA, Western Blot > Primary Antibody > Polyclonal Antibodies > Plxdc2 AntibodyBrand |
Leading Biology | Catalog Number |
APR06474G |
Product Type |
Polyclonal Antibodies | Field of Research |
|
Product Overview |
We constantly strive to ensure we provide our customers with the best antibodies. As a result of this work we offer this antibody in purified format.
We are in the process of updating our datasheets. If you have any questions regarding this update, please feel free to contact our technical support team.
This product is a high quality Plxdc2 Antibody.
|
||
Molecular Weight |
59583 Da
|
||
Cellular Localization |
Antigen Cellular Localization:
Membrane; Single-pass type I membrane protein
|
||
Host |
Rabbit
|
||
Species Reactivity |
Human, Mouse, Rat
|
||
Target |
PLXDC2;
|
||
Isotype |
IgG
|
||
Symbol |
TEM7R
|
||
GeneID |
|||
UniProt ID |
|||
Function |
May play a role in tumor angiogenesis.
|
||
Summary |
Plxdc2 Antibody: Plxdc2, also known as Tumor endothelial marker 7-related (TEM7R) encodes a protein with 57% amino acid identity to TEM7, the most abundant tumor endothelial marker. Plxdc2 is strongly expressed in the endothelial cells of the tumor stroma, but not in the endothelial cells of normal colonic tissue. Plxdc2 is also expressed at high levels in vessels of some normal tissues, with highest expression in muscle and lung. Plxdc2 and TEM7 may be important for tumor angiogenesis in humans. Cortactin was identified as a protein capable of binding to the extracellular region of both TEM7 and Plxdc2, and may provide new opportunities for the delivery of therapeutic and imaging agents to the vessels of solid tumors.
|
||
Storage & Stability |
Store at +4°C short term. For long-term storage, aliquot and store at -20°C or below. Stable for 12 months at -20°C. Avoid repeated freeze-thaw cycles.
|
||
Applications |
WB, IHC-P, IF, E
|
||
Images |
Western blot analysis of Plxdc2 in human colon tissue lysate with Plxdc2 antibody at (A) 0.5 (B) 1 μg/mL.
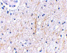
Immunohistochemical staining of human brain tissue using Plxdc2 antibody at 2.5 μg/mL.
Immunofluorescence of Plxdc2 in Human Brain cells with Plxdc2 antibody at 50 μg/mL. |
||
Specification |
|||
Quantity |
|
||
| Select | Brand | Catalog No. | Product Name | Pack Size | Type | Field of Research | Specification | Quantity | Price(USD) | |
| 1 | Leading Biology | APR03440G | ITGA11 Antibody (N-term) | 100 μl | Polyclonal Antibodies |
|
$495.00 | Add Ask | ||
| 2 | Leading Biology | APR04537G | CMIP Antibody (C-term) | 100 μl | Polyclonal Antibodies |
|
$495.00 | Add Ask | ||
| 3 | Leading Biology | APR12422G | Human H4 Histamine Receptor (extracellular) Antibody | 50 μl | Polyclonal Antibodies |
|
$695.00 | Add Ask | ||
| 4 | Leading Biology | APR03844G | UBE2W Antibody (C-term) | 100 μl | Polyclonal Antibodies |
|
$495.00 | Add Ask | ||
| 5 | Leading Biology | APR04349G | HECTD2 Antibody (N-term) | 100 μl | Polyclonal Antibodies |
|
$495.00 | Add Ask | ||
| 6 | Leading Biology | APR03502G | IGHG1 Antibody (Center) | 100 μl | Polyclonal Antibodies |
|
$495.00 | Add Ask |
Leading Biology Inc.
2600 Hilltop DR, Building G, B Suite C138
Richmond, CA, 94806
Tel: 1-661-524(LBI)-0262
Email: info@leadingbiology.com
Complete this form and click send to ask us a question, request a quote or simply say hello.

You have 0 item in your cart

You have 0 item in your inquiry list