> Antigen, Antibodies, ELISA, Western Blot > Primary Antibody > Polyclonal Antibodies > MANF AntibodyBrand |
Leading Biology | Catalog Number |
APR06463G |
Product Type |
Polyclonal Antibodies | Field of Research |
|
Product Overview |
We constantly strive to ensure we provide our customers with the best antibodies. As a result of this work we offer this antibody in purified format.
We are in the process of updating our datasheets. If you have any questions regarding this update, please feel free to contact our technical support team.
This product is a high quality MANF Antibody.
|
||
Molecular Weight |
Predicted: 20 kDa Observed: 27 kDa
|
||
Cellular Localization |
Antigen Cellular Localization:
Secreted
|
||
Host |
Rabbit
|
||
Species Reactivity |
Human, Mouse, Rat
|
||
Target |
ARMET; This antibody does not cross-react with CDNF.
|
||
Isotype |
IgG
|
||
Symbol |
ARMET, ARP
|
||
GeneID |
|||
UniProt ID |
|||
Function |
Selectively promotes the survival of dopaminergic neurons of the ventral mid-brain. Modulates GABAergic transmission to the dopaminergic neurons of the substantia nigra. Enhances spontaneous, as well as evoked, GABAergic inhibitory postsynaptic currents in dopaminergic neurons (By similarity). Inhibits cell proliferation and endoplasmic reticulum (ER) stress-induced cell death.
|
||
Summary |
MANF Antibody: MANF, also known as ARMET, was initially identified as a protein containing an arginine-rich region that was highly mutated in a variety of tumors. More recently it was identified as a mesencephalic astrocyte-derived neurotrophic factor with selectivity for dopaminergic neurons, similar to glial cell line-derived neurotrophic factor (GDNF) and CDNF. In rat brain slices, MANF enhanced nigral gamma-aminobutyric acid release. Like GDNF and CDNF, MANF has selective neuroprotective activity for dopaminergic neurons suggesting that it may be indicated for the treatment of Parkinson's disease. Expression of MANF has also been shown to be induced during ER stress, suggesting that it may play a role in protein quality control during ER stress.
|
||
Storage & Stability |
Store at +4°C short term. For long-term storage, aliquot and store at -20°C or below. Stable for 12 months at -20°C. Avoid repeated freeze-thaw cycles.
|
||
Applications |
WB, IHC-P, IF, E
|
||
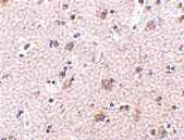
Images |
Western blot analysis of MANF in rat brain tissue lysate with MANF antibody at (A) 1 and (B) 2 μg/mL.
Immunohistochemistry of MANF in human brain tissue with MANF antibody at 2.5 μg/mL.
Immunofluorescence of MANF in Human Brain tissue with MANF antibody at 20 μg/mL. |
||
Specification |
|||
Quantity |
|
||
| Select | Brand | Catalog No. | Product Name | Pack Size | Type | Field of Research | Specification | Quantity | Price(USD) | |
| 1 | Leading Biology | APR03440G | ITGA11 Antibody (N-term) | 100 μl | Polyclonal Antibodies |
|
$495.00 | Add Ask | ||
| 2 | Leading Biology | APR04537G | CMIP Antibody (C-term) | 100 μl | Polyclonal Antibodies |
|
$495.00 | Add Ask | ||
| 3 | Leading Biology | APR12422G | Human H4 Histamine Receptor (extracellular) Antibody | 50 μl | Polyclonal Antibodies |
|
$695.00 | Add Ask | ||
| 4 | Leading Biology | APR03844G | UBE2W Antibody (C-term) | 100 μl | Polyclonal Antibodies |
|
$495.00 | Add Ask | ||
| 5 | Leading Biology | APR04349G | HECTD2 Antibody (N-term) | 100 μl | Polyclonal Antibodies |
|
$495.00 | Add Ask | ||
| 6 | Leading Biology | APR03502G | IGHG1 Antibody (Center) | 100 μl | Polyclonal Antibodies |
|
$495.00 | Add Ask |
Leading Biology Inc.
2600 Hilltop DR, Building G, B Suite C138
Richmond, CA, 94806
Tel: 1-661-524(LBI)-0262
Email: info@leadingbiology.com
Complete this form and click send to ask us a question, request a quote or simply say hello.

You have 0 item in your cart

You have 0 item in your inquiry list