> Antigen, Antibodies, ELISA, Western Blot > Primary Antibody > Polyclonal Antibodies > CDKN2A AntibodyBrand |
Leading Biology | Catalog Number |
APR06446G |
Product Type |
Polyclonal Antibodies | Field of Research |
|
Product Overview |
We constantly strive to ensure we provide our customers with the best antibodies. As a result of this work we offer this antibody in purified format.
We are in the process of updating our datasheets. If you have any questions regarding this update, please feel free to contact our technical support team.
This product is a high quality CDKN2A Antibody.
|
||
Molecular Weight |
Predicted: 17 kDa Observed: 20 kDa
|
||
Cellular Localization |
Antigen Cellular Localization:
Cytoplasm. Nucleus
|
||
Host |
Rabbit
|
||
Species Reactivity |
Human, Mouse, Rat
|
||
Target |
CDKN2A;
|
||
Isotype |
IgG
|
||
Symbol |
CDKN2, MTS1
|
||
GeneID |
|||
UniProt ID |
|||
Function |
Acts as a negative regulator of the proliferation of normal cells by interacting strongly with CDK4 and CDK6. This inhibits their ability to interact with cyclins D and to phosphorylate the retinoblastoma protein.
|
||
Summary |
CDKN2A Antibody: The CDKN2A locus gives rise to 2 distinct transcripts from different promoters. The transcripts have been designated p16(INK4A) and p14(ARF). This chromosomal region undergoes a number of inversions, translocations, heterozygous deletions, and homozygous deletions in a variety of malignant cell lines including those from glioma, non-small cell lung cancer, leukemia, and melanoma. Deletion of the region containing CDKN2A is found in more than half of all melanoma cell lines. Conversely, transfection of CDKN2A suppressed the growth of two independent mesothelioma cell lines, suggesting that inactivation of the CDKN2 gene is an essential step in the etiology of malignant mesotheliomas. CDKN2A induces a G1 cell cycle arrest by inhibiting the phosphorylation of the Rb protein by the cyclin-dependent kinases CDK4 and CDK6. CDKN2A is expressed as at least three distinct isoforms.
|
||
Storage & Stability |
Store at +4°C short term. For long-term storage, aliquot and store at -20°C or below. Stable for 12 months at -20°C. Avoid repeated freeze-thaw cycles.
|
||
Applications |
WB, IHC-P, IF, E
|
||
Images |
Western blot analysis of CDKN2A in mouse colon tissue lysate with CDKN2A antibody at (A) 1 and (B) 2 μg/mL.
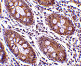
Immunohistochemistry of CDKN2A in human colon tissue with CDKN2A antibody at 10 μg/mL.
Immunofluorescence of CDKN2A in Human Colon tissue with CDKN2A antibody at 20 μg/mL. |
||
Specification |
|||
Quantity |
|
||
| Select | Brand | Catalog No. | Product Name | Pack Size | Type | Field of Research | Specification | Quantity | Price(USD) | |
| 1 | Leading Biology | APR03440G | ITGA11 Antibody (N-term) | 100 μl | Polyclonal Antibodies |
|
$495.00 | Add Ask | ||
| 2 | Leading Biology | APR04537G | CMIP Antibody (C-term) | 100 μl | Polyclonal Antibodies |
|
$495.00 | Add Ask | ||
| 3 | Leading Biology | APR12422G | Human H4 Histamine Receptor (extracellular) Antibody | 50 μl | Polyclonal Antibodies |
|
$695.00 | Add Ask | ||
| 4 | Leading Biology | APR03844G | UBE2W Antibody (C-term) | 100 μl | Polyclonal Antibodies |
|
$495.00 | Add Ask | ||
| 5 | Leading Biology | APR04349G | HECTD2 Antibody (N-term) | 100 μl | Polyclonal Antibodies |
|
$495.00 | Add Ask | ||
| 6 | Leading Biology | APR03502G | IGHG1 Antibody (Center) | 100 μl | Polyclonal Antibodies |
|
$495.00 | Add Ask |
Leading Biology Inc.
2600 Hilltop DR, Building G, B Suite C138
Richmond, CA, 94806
Tel: 1-661-524(LBI)-0262
Email: info@leadingbiology.com
Complete this form and click send to ask us a question, request a quote or simply say hello.

You have 0 item in your cart

You have 0 item in your inquiry list