> Antigen, Antibodies, ELISA, Western Blot > Primary Antibody > Polyclonal Antibodies > VISA AntibodyBrand |
Leading Biology | Catalog Number |
APR06437G |
Product Type |
Polyclonal Antibodies | Field of Research |
|
Product Overview |
We constantly strive to ensure we provide our customers with the best antibodies. As a result of this work we offer this antibody in purified format.
We are in the process of updating our datasheets. If you have any questions regarding this update, please feel free to contact our technical support team.
This product is a high quality VISA Antibody.
|
||
Molecular Weight |
56528 Da
|
||
Cellular Localization |
Antigen Cellular Localization:
Mitochondrion outer membrane. Mitochondrion. Peroxisome
|
||
Host |
Rabbit
|
||
Species Reactivity |
Human, Mouse, Rat
|
||
Target |
MAVS;
|
||
Isotype |
IgG
|
||
Symbol |
IPS1, KIAA1271, VISA
|
||
GeneID |
|||
UniProt ID |
|||
Function |
Required for innate immune defense against viruses. Acts downstream of DDX58/RIG-I and IFIH1/MDA5, which detect intracellular dsRNA produced during viral replication, to coordinate pathways leading to the activation of NF-kappa-B, IRF3 and IRF7, and to the subsequent induction of antiviral cytokines such as IFN-beta and RANTES (CCL5). Peroxisomal and mitochondrial MAVS act sequentially to create an antiviral cellular state. Upon viral infection, peroxisomal MAVS induces the rapid interferon- independent expression of defense factors that provide short-term protection, whereas mitochondrial MAVS activates an interferon- dependent signaling pathway with delayed kinetics, which amplifies and stabilizes the antiviral response. May activate the same pathways following detection of extracellular dsRNA by TLR3. May protect cells from apoptosis.
|
||
Summary |
VISA Antibody: Two distinct signaling pathways activate the host innate immunity against viral infection. One pathway is reliant on members of the Toll-like receptor (TLR) family while the other uses the RNA helicase RIG-I as a receptor for intracellular viral double-stranded RNA as a trigger for the immune response. VISA is a mitochondrial membrane protein that was identified as a critical component in the IFN-b signaling pathways that recruits IRF-3 to RIG-I, leading to its activation and that of NF-κB. VISA is also thought to interact with other components of the innate immune pathway such as the TLR adapter protein TRIF, TRAF2 and TRAF6. VISA also interacts with the IKKα, IKKβ and IKKε kinases through its C-terminal region. Cleavage of this region by the Hepatitis C virus (HCV) protease allows HCV to escape the host immune system. At least three isoforms of VISA are known to exist.
|
||
Storage & Stability |
Store at +4°C short term. For long-term storage, aliquot and store at -20°C or below. Stable for 12 months at -20°C. Avoid repeated freeze-thaw cycles.
|
||
Applications |
WB, IHC-P, IF, E
|
||
Images |
Western blot analysis of VISA in rat brain tissue lysate with VISA antibody at (A) 0.5, (B) 1 and (C) 2 μg/mL.
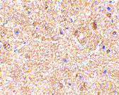
Immunohistochemistry of VISA in mouse brain tissue with VISA antibody at 2.5 μg/mL.
Immunofluorescence of VISA in Mouse Brain cells with VISA antibody at 20 μg/mL. |
||
Specification |
|||
Quantity |
|
||
| Select | Brand | Catalog No. | Product Name | Pack Size | Type | Field of Research | Specification | Quantity | Price(USD) | |
| 1 | Leading Biology | APR03440G | ITGA11 Antibody (N-term) | 100 μl | Polyclonal Antibodies |
|
$495.00 | Add Ask | ||
| 2 | Leading Biology | APR04537G | CMIP Antibody (C-term) | 100 μl | Polyclonal Antibodies |
|
$495.00 | Add Ask | ||
| 3 | Leading Biology | APR12422G | Human H4 Histamine Receptor (extracellular) Antibody | 50 μl | Polyclonal Antibodies |
|
$695.00 | Add Ask | ||
| 4 | Leading Biology | APR03844G | UBE2W Antibody (C-term) | 100 μl | Polyclonal Antibodies |
|
$495.00 | Add Ask | ||
| 5 | Leading Biology | APR04349G | HECTD2 Antibody (N-term) | 100 μl | Polyclonal Antibodies |
|
$495.00 | Add Ask | ||
| 6 | Leading Biology | APR03502G | IGHG1 Antibody (Center) | 100 μl | Polyclonal Antibodies |
|
$495.00 | Add Ask |
Leading Biology Inc.
2600 Hilltop DR, Building G, B Suite C138
Richmond, CA, 94806
Tel: 1-661-524(LBI)-0262
Email: info@leadingbiology.com
Complete this form and click send to ask us a question, request a quote or simply say hello.

You have 0 item in your cart

You have 0 item in your inquiry list