> Antigen, Antibodies, ELISA, Western Blot > Primary Antibody > Polyclonal Antibodies > TIGAR AntibodyBrand |
Leading Biology | Catalog Number |
APR06434G |
Product Type |
Polyclonal Antibodies | Field of Research |
|
Product Overview |
We constantly strive to ensure we provide our customers with the best antibodies. As a result of this work we offer this antibody in purified format.
We are in the process of updating our datasheets. If you have any questions regarding this update, please feel free to contact our technical support team.
This product is a high quality TIGAR Antibody.
|
||
Molecular Weight |
30063 Da
|
||
Host |
Rabbit
|
||
Species Reactivity |
Human, Mouse, Rat
|
||
Target |
C12orf5;
|
||
Isotype |
IgG
|
||
Symbol |
C12orf5
|
||
GeneID |
|||
UniProt ID |
|||
Function |
Fructose-bisphosphatase hydrolyzing fructose-2,6- bisphosphate as well as fructose-1,6-bisphosphate. Inhibits glycolysis by reducing cellular levels of fructose-2,6- bisphosphate. May protect cells against reactive oxygen species and against apoptosis induced by tp53.
|
||
Summary |
TIGAR Antibody: The p53 tumor-suppressor gene integrates numerous signals that control cell life and death; loss of its functions contributes to the development of most cancers. Recent studies have demonstrated the ability of p53 to regulate the expression of several proteins involved in glycolysis and oxidative phosphorylation, such as TIGAR, SCO2, and phosphoglycerate mutase. TIGAR is a recently discovered protein that functions to regulate glycolysis and protect cells against oxidative stress. TIGAR is similar in structure to proteins in the phosphoglycerate mutase family, most notably 6-phosphofructo-2-kinase, suggesting TIGAR may function as a fructose bisphosphatase. Expression of TIGAR in transfected cells correlated with an inhibition of glycolysis and decreased levels of reactive oxygen species and p53-induced apoptosis, indicating that TIGAR may act to modulate the apoptotic response to p53, thereby allowing cells to survive mild or transient stresses.
|
||
Storage & Stability |
Store at +4°C short term. For long-term storage, aliquot and store at -20°C or below. Stable for 12 months at -20°C. Avoid repeated freeze-thaw cycles.
|
||
Applications |
WB, IHC-P, E
|
||
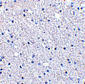
Images |
Western blot analysis of TIGAR in EL4 cell lysate with TIGAR antibody at (A) 0.5, (B) 1 and (C) 2 μg/mL.
Immunohistochemistry of TIGAR in human brain tissue with TIGAR antibody at 2.5 μg/mL. |
||
Specification |
|||
Quantity |
|
||
| Select | Brand | Catalog No. | Product Name | Pack Size | Type | Field of Research | Specification | Quantity | Price(USD) | |
| 1 | Leading Biology | APR03440G | ITGA11 Antibody (N-term) | 100 μl | Polyclonal Antibodies |
|
$495.00 | Add Ask | ||
| 2 | Leading Biology | APR04537G | CMIP Antibody (C-term) | 100 μl | Polyclonal Antibodies |
|
$495.00 | Add Ask | ||
| 3 | Leading Biology | APR12422G | Human H4 Histamine Receptor (extracellular) Antibody | 50 μl | Polyclonal Antibodies |
|
$695.00 | Add Ask | ||
| 4 | Leading Biology | APR03844G | UBE2W Antibody (C-term) | 100 μl | Polyclonal Antibodies |
|
$495.00 | Add Ask | ||
| 5 | Leading Biology | APR04349G | HECTD2 Antibody (N-term) | 100 μl | Polyclonal Antibodies |
|
$495.00 | Add Ask | ||
| 6 | Leading Biology | APR03502G | IGHG1 Antibody (Center) | 100 μl | Polyclonal Antibodies |
|
$495.00 | Add Ask |
Leading Biology Inc.
2600 Hilltop DR, Building G, B Suite C138
Richmond, CA, 94806
Tel: 1-661-524(LBI)-0262
Email: info@leadingbiology.com
Complete this form and click send to ask us a question, request a quote or simply say hello.

You have 0 item in your cart

You have 0 item in your inquiry list