> Antigen, Antibodies, ELISA, Western Blot > Primary Antibody > Polyclonal Antibodies > Blimp-1 AntibodyBrand |
Leading Biology | Catalog Number |
APR06429G |
Product Type |
Polyclonal Antibodies | Field of Research |
|
Product Overview |
We constantly strive to ensure we provide our customers with the best antibodies. As a result of this work we offer this antibody in purified format.
We are in the process of updating our datasheets. If you have any questions regarding this update, please feel free to contact our technical support team.
This product is a high quality Blimp-1 Antibody.
|
||
Molecular Weight |
91771 Da
|
||
Cellular Localization |
Antigen Cellular Localization:
Nucleus {ECO:0000250|UniProtKB:Q60636}. Cytoplasm
|
||
Host |
Rabbit
|
||
Species Reactivity |
Human, Mouse, Rat
|
||
Target |
PRDM1;
|
||
Isotype |
IgG
|
||
Symbol |
BLIMP1
|
||
GeneID |
|||
UniProt ID |
|||
Function |
Transcriptional repressor that binds specifically to the PRDI element in the promoter of the beta-interferon gene (PubMed:1851123). Drives the maturation of B-lymphocytes into Ig secreting cells (PubMed:12626569).
|
||
Summary |
Blimp-1 Antibody: Blimp-1 was initially identified as a zinc finger-containing protein that drives the maturation of B lymphocytes into immunoglobulin-secreting cells. Together with X-box-binding protein 1 (XBP1), Blimp-1 is induced upon terminal differentiation of plasma cells. The transcriptional repressor activity of Blimp-1 has also been found to regulate T cell homeostasis and function, possibly by suppressing the expression of the cytokines IL-2 and interferon-gamma during T cell development. More recent experiments have suggested that Blimp-1 also plays a major role in the formation of primordial germ cells (PGC) in developing mammalian embryos. In these experiments, Blimp-1-deficient mutant mouse embryos form a cluster of PGC-like cells which fail to show the expected migration, proliferation, and repression of homeobox genes that normally accompany specification of primordial germ cells. Blimp-1 exists as at least two different isoforms.
|
||
Storage & Stability |
Store at +4°C short term. For long-term storage, aliquot and store at -20°C or below. Stable for 12 months at -20°C. Avoid repeated freeze-thaw cycles.
|
||
Applications |
WB, IHC-P, E
|
||
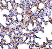
Images |
Western blot analysis of Blimp-1 in mouse lung tissue lysate with Blimp-1 antibody at (A) 0.5 and (B) 1 μg/mL.
Immunohistochemistry of Blimp-1 in mouse lung tissue with Blimp-1 antibody at 5 μg/mL. |
||
Specification |
|||
Quantity |
|
||
| Select | Brand | Catalog No. | Product Name | Pack Size | Type | Field of Research | Specification | Quantity | Price(USD) | |
| 1 | Leading Biology | APR03440G | ITGA11 Antibody (N-term) | 100 μl | Polyclonal Antibodies |
|
$495.00 | Add Ask | ||
| 2 | Leading Biology | APR04537G | CMIP Antibody (C-term) | 100 μl | Polyclonal Antibodies |
|
$495.00 | Add Ask | ||
| 3 | Leading Biology | APR12422G | Human H4 Histamine Receptor (extracellular) Antibody | 50 μl | Polyclonal Antibodies |
|
$695.00 | Add Ask | ||
| 4 | Leading Biology | APR03844G | UBE2W Antibody (C-term) | 100 μl | Polyclonal Antibodies |
|
$495.00 | Add Ask | ||
| 5 | Leading Biology | APR04349G | HECTD2 Antibody (N-term) | 100 μl | Polyclonal Antibodies |
|
$495.00 | Add Ask | ||
| 6 | Leading Biology | APR03502G | IGHG1 Antibody (Center) | 100 μl | Polyclonal Antibodies |
|
$495.00 | Add Ask |
Leading Biology Inc.
2600 Hilltop DR, Building G, B Suite C138
Richmond, CA, 94806
Tel: 1-661-524(LBI)-0262
Email: info@leadingbiology.com
Complete this form and click send to ask us a question, request a quote or simply say hello.

You have 0 item in your cart

You have 0 item in your inquiry list