> Antigen, Antibodies, ELISA, Western Blot > Primary Antibody > Polyclonal Antibodies > TANK AntibodyBrand |
Leading Biology | Catalog Number |
APR06416G |
Product Type |
Polyclonal Antibodies | Field of Research |
|
Product Overview |
We constantly strive to ensure we provide our customers with the best antibodies. As a result of this work we offer this antibody in purified format.
We are in the process of updating our datasheets. If you have any questions regarding this update, please feel free to contact our technical support team.
This product is a high quality TANK Antibody.
|
||
Molecular Weight |
47816 Da
|
||
Cellular Localization |
Antigen Cellular Localization:
Cytoplasm.
|
||
Host |
Rabbit
|
||
Species Reactivity |
Human, Mouse, Rat
|
||
Target |
TANK;
|
||
Isotype |
IgG
|
||
Symbol |
ITRAF, TRAF2
|
||
GeneID |
|||
UniProt ID |
|||
Function |
Adapter protein involved in I-kappa-B-kinase (IKK) regulation which constitutively binds TBK1 and IKBKE playing a role in antiviral innate immunity. Acts as a regulator of TRAF function by maintaining them in a latent state. Blocks TRAF2 binding to LMP1 and inhibits LMP1-mediated NF-kappa-B activation. May control negatively TRAF2-mediated NF-kappa-B activation signaled by CD40, TNFR1 and TNFR2.
|
||
Summary |
TANK Antibody: TANK was initially identified as a novel TRAF-interacting protein that regulated TRAF-mediated signal transduction. Specifically, ligand binding by surface receptors in the tumor necrosis factor (TNF) receptor and Toll/interleukin-1 (IL-1) receptor families lead to the formation of a TRAF/TANK complex that mediates the activation of the transcription factor NF-κB. This activation of NF-κB occurs through an association with the kinases IKKε and TBK1. More recently, it was shown that these proteins can then form a complex with NEMO, a protein that regulates the activity of the IκB complex. This suggests that in addition to the possibility that TBK1 and IKKε activate the IKKs, the association with the IKK complex may help these kinases modulate other functions, such as the transactivation potential of NF-κB proteins. At least two isoforms of TANK are known to exist.
|
||
Storage & Stability |
Store at +4°C short term. For long-term storage, aliquot and store at -20°C or below. Stable for 12 months at -20°C. Avoid repeated freeze-thaw cycles.
|
||
Applications |
WB, IHC-P, IF, E
|
||
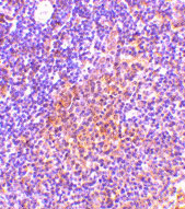
Images |
Western blot analysis of TANK in Daudi cell lysate with TANK antibody at (A) 0.5, (B) 1 and (C) 2 μg/mL.
Immunohistochemistry of TANK in rat spleen tissue with TANK antibody at 10 μg/mL.
Immunofluorescence of TANK in Rat Spleen cells with TANK antibody at 20 μg/mL. |
||
Specification |
|||
Quantity |
|
||
| Select | Brand | Catalog No. | Product Name | Pack Size | Type | Field of Research | Specification | Quantity | Price(USD) | |
| 1 | Leading Biology | APR03440G | ITGA11 Antibody (N-term) | 100 μl | Polyclonal Antibodies |
|
$495.00 | Add Ask | ||
| 2 | Leading Biology | APR04537G | CMIP Antibody (C-term) | 100 μl | Polyclonal Antibodies |
|
$495.00 | Add Ask | ||
| 3 | Leading Biology | APR12422G | Human H4 Histamine Receptor (extracellular) Antibody | 50 μl | Polyclonal Antibodies |
|
$695.00 | Add Ask | ||
| 4 | Leading Biology | APR03844G | UBE2W Antibody (C-term) | 100 μl | Polyclonal Antibodies |
|
$495.00 | Add Ask | ||
| 5 | Leading Biology | APR04349G | HECTD2 Antibody (N-term) | 100 μl | Polyclonal Antibodies |
|
$495.00 | Add Ask | ||
| 6 | Leading Biology | APR03502G | IGHG1 Antibody (Center) | 100 μl | Polyclonal Antibodies |
|
$495.00 | Add Ask |
Leading Biology Inc.
2600 Hilltop DR, Building G, B Suite C138
Richmond, CA, 94806
Tel: 1-661-524(LBI)-0262
Email: info@leadingbiology.com
Complete this form and click send to ask us a question, request a quote or simply say hello.

You have 0 item in your cart

You have 0 item in your inquiry list