> Antigen, Antibodies, ELISA, Western Blot > Primary Antibody > Polyclonal Antibodies > MD-1 AntibodyBrand |
Leading Biology | Catalog Number |
APR06411G |
Product Type |
Polyclonal Antibodies | Field of Research |
|
Product Overview |
We constantly strive to ensure we provide our customers with the best antibodies. As a result of this work we offer this antibody in purified format.
We are in the process of updating our datasheets. If you have any questions regarding this update, please feel free to contact our technical support team.
This product is a high quality MD-1 Antibody.
|
||
Molecular Weight |
17906 Da
|
||
Cellular Localization |
Antigen Cellular Localization:
Secreted, extracellular space. Note=Associated with CD180 at the cell surface
|
||
Host |
Rabbit
|
||
Species Reactivity |
Human
|
||
Target |
LY86;
|
||
Isotype |
IgG
|
||
Symbol |
MD1
|
||
GeneID |
|||
UniProt ID |
|||
Function |
May cooperate with CD180 and TLR4 to mediate the innate immune response to bacterial lipopolysaccharide (LPS) and cytokine production. Important for efficient CD180 cell surface expression (By similarity).
|
||
Summary |
MD-1 Antibody: Toll-like receptors (TLRs) are evolutionarily conserved pattern-recognition molecules that recognize different microbial products during infection and serve as an important link between the innate and adaptive immune responses. The signaling of these TLRs is kept under tight control by the expression of endogenous inhibiting proteins such as RP105, a recently identified homolog of TLR4. This protein, in association with MD-1, interacts with and inhibits the TLR4/MD-2 signaling pathway. While MD-2 can directly bind to LPS, one of the activating molecules of TLR4, the function of MD-1 is less well-known. It has been suggested however, that the RP105/MD-1 complex influences antibody production mediated by both TLR4/MD-2 and TLR2 receptor complexes.
|
||
Storage & Stability |
Store at +4°C short term. For long-term storage, aliquot and store at -20°C or below. Stable for 12 months at -20°C. Avoid repeated freeze-thaw cycles.
|
||
Applications |
WB, IHC-P, E
|
||
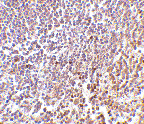
Images |
Western blot analysis of MD-1 in Daudi cell lysate with MD-1 antibody at (A) 0.5, (B) 1 and (C) 2 μg/mL.
Immunohistochemistry of MD-1 in human spleen tissue with MD-1 antibody at 2 μg/mL. |
||
Specification |
|||
Quantity |
|
||
| Select | Brand | Catalog No. | Product Name | Pack Size | Type | Field of Research | Specification | Quantity | Price(USD) | |
| 1 | Leading Biology | APR03440G | ITGA11 Antibody (N-term) | 100 μl | Polyclonal Antibodies |
|
$495.00 | Add Ask | ||
| 2 | Leading Biology | APR04537G | CMIP Antibody (C-term) | 100 μl | Polyclonal Antibodies |
|
$495.00 | Add Ask | ||
| 3 | Leading Biology | APR12422G | Human H4 Histamine Receptor (extracellular) Antibody | 50 μl | Polyclonal Antibodies |
|
$695.00 | Add Ask | ||
| 4 | Leading Biology | APR03844G | UBE2W Antibody (C-term) | 100 μl | Polyclonal Antibodies |
|
$495.00 | Add Ask | ||
| 5 | Leading Biology | APR04349G | HECTD2 Antibody (N-term) | 100 μl | Polyclonal Antibodies |
|
$495.00 | Add Ask | ||
| 6 | Leading Biology | APR03502G | IGHG1 Antibody (Center) | 100 μl | Polyclonal Antibodies |
|
$495.00 | Add Ask |
Leading Biology Inc.
2600 Hilltop DR, Building G, B Suite C138
Richmond, CA, 94806
Tel: 1-661-524(LBI)-0262
Email: info@leadingbiology.com
Complete this form and click send to ask us a question, request a quote or simply say hello.

You have 0 item in your cart

You have 0 item in your inquiry list