> Antigen, Antibodies, ELISA, Western Blot > Primary Antibody > Polyclonal Antibodies > BOK AntibodyBrand |
Leading Biology | Catalog Number |
APR06350G |
Product Type |
Polyclonal Antibodies | Field of Research |
|
Product Overview |
We constantly strive to ensure we provide our customers with the best antibodies. As a result of this work we offer this antibody in purified format.
We are in the process of updating our datasheets. If you have any questions regarding this update, please feel free to contact our technical support team.
This product is a high quality BOK Antibody.
|
||
Molecular Weight |
23280 Da
|
||
Cellular Localization |
Antigen Cellular Localization:
Endoplasmic reticulum membrane; Single-pass membrane protein. Golgi apparatus membrane; Single-pass membrane protein. Note=The transmembrane domain is necessary and sufficient for Golgi and ER targeting
|
||
Host |
Rabbit
|
||
Species Reactivity |
Human
|
||
Target |
BOK; At least three isoforms of BOK are known to exist; this antibody will not detect the smallest isoform. BOK antibody is predicted to not cross-react with other Bcl-2 protein family members
|
||
Isotype |
IgG
|
||
Symbol |
BCL2L9
|
||
GeneID |
|||
UniProt ID |
|||
Function |
Induces apoptosis in a manner dependent on BAX and BAK.
|
||
Summary |
BOK Antibody: Apoptosis plays a major role in normal organism development, tissue homeostasis, and removal of damaged cells. Disruption of this process has been implicated in a variety of diseases such as cancer. The Bcl-2 family of proteins is comprised of critical regulators of apoptosis that can be divided into two classes: those that inhibit apoptosis and those that promote cell death. BOK, a pro-apoptotic Bcl-2 family member, was initially identified in the ovary, and was found to interact with other Bcl-2 family members such as Mcl-1 and Bfl-1. BOK expression is high during early placental development, suggesting that it may also play a role in regulating trophoblast cell proliferation.
|
||
Storage & Stability |
Store at +4°C short term. For long-term storage, aliquot and store at -20°C or below. Stable for 12 months at -20°C. Avoid repeated freeze-thaw cycles.
|
||
Applications |
IHC-P, E
|
||
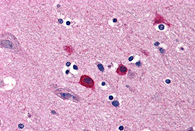
Images |
Immunohistochemistry of BOK in human brain tissue with BOK antibody at 5 μg/mL. |
||
Specification |
|||
Quantity |
|
||
| Select | Brand | Catalog No. | Product Name | Pack Size | Type | Field of Research | Specification | Quantity | Price(USD) | |
| 1 | Leading Biology | APR03440G | ITGA11 Antibody (N-term) | 100 μl | Polyclonal Antibodies |
|
$495.00 | Add Ask | ||
| 2 | Leading Biology | APR04537G | CMIP Antibody (C-term) | 100 μl | Polyclonal Antibodies |
|
$495.00 | Add Ask | ||
| 3 | Leading Biology | APR12422G | Human H4 Histamine Receptor (extracellular) Antibody | 50 μl | Polyclonal Antibodies |
|
$695.00 | Add Ask | ||
| 4 | Leading Biology | APR03844G | UBE2W Antibody (C-term) | 100 μl | Polyclonal Antibodies |
|
$495.00 | Add Ask | ||
| 5 | Leading Biology | APR04349G | HECTD2 Antibody (N-term) | 100 μl | Polyclonal Antibodies |
|
$495.00 | Add Ask | ||
| 6 | Leading Biology | APR03502G | IGHG1 Antibody (Center) | 100 μl | Polyclonal Antibodies |
|
$495.00 | Add Ask |
Leading Biology Inc.
2600 Hilltop DR, Building G, B Suite C138
Richmond, CA, 94806
Tel: 1-661-524(LBI)-0262
Email: info@leadingbiology.com
Complete this form and click send to ask us a question, request a quote or simply say hello.

You have 0 item in your cart

You have 0 item in your inquiry list