> Antigen, Antibodies, ELISA, Western Blot > Primary Antibody > Polyclonal Antibodies > p53DINP1 AntibodyBrand |
Leading Biology | Catalog Number |
APR06310G |
Product Type |
Polyclonal Antibodies | Field of Research |
|
Product Overview |
We constantly strive to ensure we provide our customers with the best antibodies. As a result of this work we offer this antibody in purified format.
We are in the process of updating our datasheets. If you have any questions regarding this update, please feel free to contact our technical support team.
This product is a high quality p53DINP1 Antibody.
|
||
Molecular Weight |
Predicted: 18, 27 kDa Observed: 30 kDa
|
||
Cellular Localization |
Antigen Cellular Localization:
Cytoplasm, cytosol. Nucleus. Nucleus, PML body. Cytoplasmic vesicle, autophagosome. Note=Shuttles between the nucleus and the cytoplasm, depending on cellular stress conditions, and re-localizes to autophagosomes on autophagy activation
|
||
Host |
Rabbit
|
||
Species Reactivity |
Human, Mouse, Rat
|
||
Target |
TP53INP1; At least two isoforms of p53DINP1 are known to exist; this antibody will detect both isoforms.
|
||
Isotype |
IgG
|
||
Symbol |
P53DINP1, SIP
|
||
GeneID |
|||
UniProt ID |
|||
Function |
Antiproliferative and proapoptotic protein involved in cell stress response which acts as a dual regulator of transcription and autophagy. Acts as a positive regulator of autophagy. In response to cellular stress or activation of autophagy, relocates to autophagosomes where it interacts with autophagosome-associated proteins GABARAP, GABARAPL1/L2, MAP1LC3A/B/C and regulates autophagy. Acts as an antioxidant and plays a major role in p53/TP53-driven oxidative stress response. Possesses both a p53/TP53-independent intracellular reactive oxygen species (ROS) regulatory function and a p53/TP53-dependent transcription regulatory function. Positively regulates p53/TP53 and p73/TP73 and stimulates their capacity to induce apoptosis and regulate cell cycle. In response to double-strand DNA breaks, promotes p53/TP53 phosphorylation on 'Ser-46' and subsequent apoptosis. Acts as a tumor suppressor by inducing cell death by an autophagy and caspase-dependent mechanism. Can reduce cell migration by regulating the expression of SPARC.
|
||
Summary |
p53DINP1 Antibody: Apoptosis is related to many diseases and development. The p53 tumor-suppressor protein induces apoptosis through transcriptional activation of several genes. A novel p53 inducible gene was identified recently and designated p53DINP1 (for p53-dependent damage-inducible nuclear protein 1) and SIP (for stress induced protein) in human and mouse. A p53DINP1 antisense oligonucleotide inhibits and overexpression of p53DINP1 enhances Ser46 phosphorylation of p53, induction of p53AIP1, and cell death induced by DNA double-strand breaks. p53DINP1 may regulate p53-dependent apoptosis through phosphorylation at Ser46 and induction of p53AIP1. The p53DINP1/SIP gene encodes two proteins of 27 and 18 kDa in human and mouse termed p53DINP1-alpha and p53DINP1-beta or SIP27 and SIP18. p53DINP1/SIP is expressed in many tissues and induced by a variety of stress agents including UV stress, mutagenic stress, heat shock, and oxidative stress.
|
||
Storage & Stability |
Store at +4°C short term. For long-term storage, aliquot and store at -20°C or below. Stable for 12 months at -20°C. Avoid repeated freeze-thaw cycles.
|
||
Applications |
WB, IHC-P, E
|
||
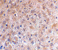
Images |
Western blot analysis of p53DINP1 expression in human lung tissue lysate with p53DINP1 antibody at (A) 0.5 and (B) 1 μg/mL.
Immunohistochemical staining of mouse liver using p53DINP1 antibody at 2 μg/mL. |
||
Specification |
|||
Quantity |
|
||
| Select | Brand | Catalog No. | Product Name | Pack Size | Type | Field of Research | Specification | Quantity | Price(USD) | |
| 1 | Leading Biology | APR03440G | ITGA11 Antibody (N-term) | 100 μl | Polyclonal Antibodies |
|
$495.00 | Add Ask | ||
| 2 | Leading Biology | APR04537G | CMIP Antibody (C-term) | 100 μl | Polyclonal Antibodies |
|
$495.00 | Add Ask | ||
| 3 | Leading Biology | APR12422G | Human H4 Histamine Receptor (extracellular) Antibody | 50 μl | Polyclonal Antibodies |
|
$695.00 | Add Ask | ||
| 4 | Leading Biology | APR03844G | UBE2W Antibody (C-term) | 100 μl | Polyclonal Antibodies |
|
$495.00 | Add Ask | ||
| 5 | Leading Biology | APR04349G | HECTD2 Antibody (N-term) | 100 μl | Polyclonal Antibodies |
|
$495.00 | Add Ask | ||
| 6 | Leading Biology | APR03502G | IGHG1 Antibody (Center) | 100 μl | Polyclonal Antibodies |
|
$495.00 | Add Ask |
Leading Biology Inc.
2600 Hilltop DR, Building G, B Suite C138
Richmond, CA, 94806
Tel: 1-661-524(LBI)-0262
Email: info@leadingbiology.com
Complete this form and click send to ask us a question, request a quote or simply say hello.

You have 0 item in your cart

You have 0 item in your inquiry list