> Antigen, Antibodies, ELISA, Western Blot > Primary Antibody > Polyclonal Antibodies > Bcl-rambo AntibodyBrand |
Leading Biology | Catalog Number |
APR06304G |
Product Type |
Polyclonal Antibodies | Field of Research |
|
Product Overview |
We constantly strive to ensure we provide our customers with the best antibodies. As a result of this work we offer this antibody in purified format.
We are in the process of updating our datasheets. If you have any questions regarding this update, please feel free to contact our technical support team.
This product is a high quality Bcl-rambo Antibody.
|
||
Molecular Weight |
52723 Da
|
||
Cellular Localization |
Antigen Cellular Localization:
Isoform 2: Mitochondrion membrane; Single-pass membrane protein. Nucleus
|
||
Host |
Rabbit
|
||
Species Reactivity |
Human, Mouse, Rat
|
||
Target |
BCL2L13;
|
||
Isotype |
IgG
|
||
Symbol |
MIL1
|
||
GeneID |
|||
UniProt ID |
|||
Function |
May promote the activation of caspase-3 and apoptosis.
|
||
Summary |
Bcl-rambo Antibody: Apoptosis plays a major role in normal organism development, tissue homeostasis, and removal of damaged cells. Disruption of this process has been implicated in a variety of diseases such as cancer. Members of the Bcl-2 family are known to be critical regulators of this process. These proteins are characterized by the presence of several conserved motifs termed Bcl-2 homology (BH) domains. A novel, widely expressed member termed Bcl-rambo was recently identified. This protein is localized to mitochondria in mammalian cells and its overexpression induces apoptosis which could be blocked by co-expression of inhibitor of apoptosis proteins (IAPs) such as XIAP, cIAP1, and cIAP2. Bcl-rambo shows overall homology to the anti-apoptotic members containing BH motifs, but unlike Bcl-2, the C-terminal membrane anchor of Bcl-rambo is preceded by a unique 250 amino acid insertion. This region by itself can induce apoptosis more efficiently than the Bcl-2 homology regions, suggesting that Bcl-rambo may be important other pro-apoptotic pathways.
|
||
Storage & Stability |
Store at +4°C short term. For long-term storage, aliquot and store at -20°C or below. Stable for 12 months at -20°C. Avoid repeated freeze-thaw cycles.
|
||
Applications |
WB, IHC-P, IF, E
|
||
Images |
Western blot analysis of Bcl-rambo in K562 cell lysate with Bcl-rambo antibody at (A) 2 and (B) 4 μg/mL.
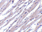
Immunohistochemistry of Bcl-rambo in human heart tissue with Bcl-rambo antibody at 10 μg/mL.
Immunofluorescence of Bcl-rambo in Human Heart cells with Bcl-rambo antibody at 20 μg/mL. |
||
Specification |
|||
Quantity |
|
||
| Select | Brand | Catalog No. | Product Name | Pack Size | Type | Field of Research | Specification | Quantity | Price(USD) | |
| 1 | Leading Biology | APR03440G | ITGA11 Antibody (N-term) | 100 μl | Polyclonal Antibodies |
|
$495.00 | Add Ask | ||
| 2 | Leading Biology | APR04537G | CMIP Antibody (C-term) | 100 μl | Polyclonal Antibodies |
|
$495.00 | Add Ask | ||
| 3 | Leading Biology | APR12422G | Human H4 Histamine Receptor (extracellular) Antibody | 50 μl | Polyclonal Antibodies |
|
$695.00 | Add Ask | ||
| 4 | Leading Biology | APR03844G | UBE2W Antibody (C-term) | 100 μl | Polyclonal Antibodies |
|
$495.00 | Add Ask | ||
| 5 | Leading Biology | APR04349G | HECTD2 Antibody (N-term) | 100 μl | Polyclonal Antibodies |
|
$495.00 | Add Ask | ||
| 6 | Leading Biology | APR03502G | IGHG1 Antibody (Center) | 100 μl | Polyclonal Antibodies |
|
$495.00 | Add Ask |
Leading Biology Inc.
2600 Hilltop DR, Building G, B Suite C138
Richmond, CA, 94806
Tel: 1-661-524(LBI)-0262
Email: info@leadingbiology.com
Complete this form and click send to ask us a question, request a quote or simply say hello.

You have 0 item in your cart

You have 0 item in your inquiry list