> Antigen, Antibodies, ELISA, Western Blot > Primary Antibody > Polyclonal Antibodies > TCCR AntibodyBrand |
Leading Biology | Catalog Number |
APR06293G |
Product Type |
Polyclonal Antibodies | Field of Research |
|
Product Overview |
We constantly strive to ensure we provide our customers with the best antibodies. As a result of this work we offer this antibody in purified format.
We are in the process of updating our datasheets. If you have any questions regarding this update, please feel free to contact our technical support team.
This product is a high quality TCCR Antibody.
|
||
Molecular Weight |
70 kDa
|
||
Cellular Localization |
Antigen Cellular Localization:
Membrane; Single-pass type I membrane protein
|
||
Host |
Rabbit
|
||
Species Reactivity |
Human
|
||
Target |
IL27RA;
|
||
Isotype |
IgG
|
||
Symbol |
CRL1, TCCR, WSX1
|
||
GeneID |
|||
UniProt ID |
|||
Function |
Receptor for IL27. Requires IL6ST/gp130 to mediate signal transduction in response to IL27. This signaling system acts through STAT3 and STAT1. Involved in the regulation of Th1- type immune responses. Also appears to be involved in innate defense mechanisms.
|
||
Summary |
TCCR Antibody: Upon antigen challenge, T-helper cells differentiate into two functional distinct subsets, Th1 and Th2. Th1 cells produce IL-2, IFN-gamma and lymphotoxin-beta that augment cell mediated immune response while Th2 cells secrete IL-4, IL-5, and IL-10 that enhance humoral immunity. The function of T-helper cells is regulated by cytokines. A novel cytokine receptor was recently identified and cloned. It is a new member in the type I cytokine receptor family and designated TCCR for T-cell cytokine receptor and WSX-1. TCCR deficient mice had impaired Th1 responses to protein antigen challenge, including decreased levels of IFN-gamma and Th1-dependent antibody IgG2a. TCCR is predominately expressed in thymus, spleen, lymph notes and peripheral blood leukocytes.
|
||
Storage & Stability |
Store at +4°C short term. For long-term storage, aliquot and store at -20°C or below. Stable for 12 months at -20°C. Avoid repeated freeze-thaw cycles.
|
||
Applications |
WB, IHC-P, IF, E
|
||
Images |
Western blot analysis of TCCR expression in human spleen tissue lysates with TCCR antibody at 1 μg /ml.
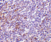
Immunohistochemistry of TCCR in human spleen tissue with TCCR antibody at 10 μg/mL.
Immunofluorescence of TCCR in A549 cells with TCCR antibody at 20 μg/mL. |
||
Specification |
|||
Quantity |
|
||
| Select | Brand | Catalog No. | Product Name | Pack Size | Type | Field of Research | Specification | Quantity | Price(USD) | |
| 1 | Leading Biology | APR03440G | ITGA11 Antibody (N-term) | 100 μl | Polyclonal Antibodies |
|
$495.00 | Add Ask | ||
| 2 | Leading Biology | APR04537G | CMIP Antibody (C-term) | 100 μl | Polyclonal Antibodies |
|
$495.00 | Add Ask | ||
| 3 | Leading Biology | APR12422G | Human H4 Histamine Receptor (extracellular) Antibody | 50 μl | Polyclonal Antibodies |
|
$695.00 | Add Ask | ||
| 4 | Leading Biology | APR03844G | UBE2W Antibody (C-term) | 100 μl | Polyclonal Antibodies |
|
$495.00 | Add Ask | ||
| 5 | Leading Biology | APR04349G | HECTD2 Antibody (N-term) | 100 μl | Polyclonal Antibodies |
|
$495.00 | Add Ask | ||
| 6 | Leading Biology | APR03502G | IGHG1 Antibody (Center) | 100 μl | Polyclonal Antibodies |
|
$495.00 | Add Ask |
Leading Biology Inc.
2600 Hilltop DR, Building G, B Suite C138
Richmond, CA, 94806
Tel: 1-661-524(LBI)-0262
Email: info@leadingbiology.com
Complete this form and click send to ask us a question, request a quote or simply say hello.

You have 0 item in your cart

You have 0 item in your inquiry list