> Antigen, Antibodies, ELISA, Western Blot > Primary Antibody > Polyclonal Antibodies > Smac AntibodyBrand |
Leading Biology | Catalog Number |
APR06283G |
Product Type |
Polyclonal Antibodies | Field of Research |
|
Product Overview |
We constantly strive to ensure we provide our customers with the best antibodies. As a result of this work we offer this antibody in purified format.
We are in the process of updating our datasheets. If you have any questions regarding this update, please feel free to contact our technical support team.
This product is a high quality Smac Antibody.
|
||
Molecular Weight |
25 kDa
|
||
Cellular Localization |
Antigen Cellular Localization:
Mitochondrion. Note=Released into the cytosol when cells undergo apoptosis
|
||
Host |
Rabbit
|
||
Species Reactivity |
Human, Mouse, Rat
|
||
Target |
Diablo;
|
||
Isotype |
IgG
|
||
Symbol |
Smac
|
||
GeneID |
|||
UniProt ID |
|||
Function |
Promotes apoptosis by activating caspases in the cytochrome c/Apaf-1/caspase-9 pathway. Acts by opposing the inhibitory activity of inhibitor of apoptosis proteins (IAP). Inhibits the activity of BIRC6/bruce by inhibiting its binding to caspases (By similarity).
|
||
Summary |
Smac Antibody: The inhibitor of apoptosis proteins (IAPs) regulate programmed cell death by inhibiting members of the caspase family of enzymes. A novel mammalian protein that binds to IAPs and neutralizes the inhibitory effect of IAPs on caspases was recently identified and designated Smac/DIABLO. Smac/DIABLO is a mitochondrial protein that is released along with cytochrome c during apoptosis and activates cytochrome c/Apaf-1/capase-9 pathway. Analysis of the structural basis of Smac/DIABLO reveals that the N-terminal amino acids are required for binding of Smac/DIABLO to IAPs and activation of caspases. Smac/DIABLO is expressed in a variety of human and mouse tissues.
|
||
Storage & Stability |
Store at +4°C short term. For long-term storage, aliquot and store at -20°C or below. Stable for 12 months at -20°C. Avoid repeated freeze-thaw cycles.
|
||
Applications |
WB, IHC-P, IF, E, IP
|
||
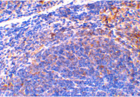
Images |
Western blot analysis of Smac in mouse heart tissue lysate in the absence (A) or presence (B) of blocking peptide and in rat heart tissue lysate with Smac antibody at 1 μg /ml.
Immunohistochemical staining of mouse spleen tissue using Smac antibody at 2 μg/mL.
Immunofluorescence of Smac in Mouse Spleen cells with Smac antibody at 10 μg/mL. |
||
Specification |
|||
Quantity |
|
||
| Select | Brand | Catalog No. | Product Name | Pack Size | Type | Field of Research | Specification | Quantity | Price(USD) | |
| 1 | Leading Biology | APR03440G | ITGA11 Antibody (N-term) | 100 μl | Polyclonal Antibodies |
|
$495.00 | Add Ask | ||
| 2 | Leading Biology | APR04537G | CMIP Antibody (C-term) | 100 μl | Polyclonal Antibodies |
|
$495.00 | Add Ask | ||
| 3 | Leading Biology | APR12422G | Human H4 Histamine Receptor (extracellular) Antibody | 50 μl | Polyclonal Antibodies |
|
$695.00 | Add Ask | ||
| 4 | Leading Biology | APR03844G | UBE2W Antibody (C-term) | 100 μl | Polyclonal Antibodies |
|
$495.00 | Add Ask | ||
| 5 | Leading Biology | APR04349G | HECTD2 Antibody (N-term) | 100 μl | Polyclonal Antibodies |
|
$495.00 | Add Ask | ||
| 6 | Leading Biology | APR03502G | IGHG1 Antibody (Center) | 100 μl | Polyclonal Antibodies |
|
$495.00 | Add Ask |
Leading Biology Inc.
2600 Hilltop DR, Building G, B Suite C138
Richmond, CA, 94806
Tel: 1-661-524(LBI)-0262
Email: info@leadingbiology.com
Complete this form and click send to ask us a question, request a quote or simply say hello.

You have 0 item in your cart

You have 0 item in your inquiry list