> Antigen, Antibodies, ELISA, Western Blot > Primary Antibody > Polyclonal Antibodies > DEDAF AntibodyBrand |
Leading Biology | Catalog Number |
APR06260G |
Product Type |
Polyclonal Antibodies | Field of Research |
|
Product Overview |
We constantly strive to ensure we provide our customers with the best antibodies. As a result of this work we offer this antibody in purified format.
We are in the process of updating our datasheets. If you have any questions regarding this update, please feel free to contact our technical support team.
This product is a high quality DEDAF Antibody.
|
||
Molecular Weight |
32 kDa
|
||
Cellular Localization |
Antigen Cellular Localization:
Nucleus. Cytoplasm. Nucleus, nucleoplasm. Note=Primarily found in the nucleus. Detected in a punctate pattern likely to represent Polycomb group (PcG) bodies (By similarity).
|
||
Host |
Rabbit
|
||
Species Reactivity |
Human, Mouse, Rat
|
||
Target |
RYBP;
|
||
Isotype |
IgG
|
||
Symbol |
DEDAF, YEAF1
|
||
GeneID |
|||
UniProt ID |
|||
Function |
Inhibits ubiquitination and subsequent degradation of TP53, and thereby plays a role in regulating transcription of TP53 target genes. May be implicated in the regulation of the transcription as a repressor of the transcriptional activity of E4TF1. May bind to DNA. Promotes apoptosis.
|
||
Summary |
DEDAF Antibody: Apoptosis is related to many diseases and induced by a family of cell death receptors and their ligands. Cell death signals are transduced by death domain (DD) death effector domain (DED), and caspase recruitment domain (CARD) containing molecules. Several molecules including caspases and adaptor FADD contain DEDs. A novel protein that interacts with DED of caspase-8 and 10, and FADD was identified recently and designated DEDAF for DED associated factor. DEDAF is identical to the transcriptional repressor RYBP. DEDAF/RYBP is expressed in multiple tissues and cell lines. DEDAF interacts with FADD and augments the formation of CD95/FADD/capase-8 complexes at the cell membrane, and interacts with DED-containing DNA biding protein (DEDD) in the nucleus indicating it is involved in the regulation of both cytoplasmic and nuclear events of apoptosis.
|
||
Storage & Stability |
Store at +4°C short term. For long-term storage, aliquot and store at -20°C or below. Stable for 12 months at -20°C. Avoid repeated freeze-thaw cycles.
|
||
Applications |
WB, IHC-P, IF, E
|
||
Images |
Western blot analysis of DEDAF expression in human A549 (lane A), HepG2 (lane B), and mouse 3T3 (lane C) cell lysates with DEDAF antibody at 1 μg /ml.
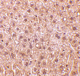
Immunohistochemistry of DEDAF in mouse liver tissue with DEDAF antibody at 10 μg/mL.
Immunofluorescence of DEDAF in A549 cells with DEDAF antibody at 20 μg/mL. |
||
Specification |
|||
Quantity |
|
||
| Select | Brand | Catalog No. | Product Name | Pack Size | Type | Field of Research | Specification | Quantity | Price(USD) | |
| 1 | Leading Biology | APR03440G | ITGA11 Antibody (N-term) | 100 μl | Polyclonal Antibodies |
|
$495.00 | Add Ask | ||
| 2 | Leading Biology | APR04537G | CMIP Antibody (C-term) | 100 μl | Polyclonal Antibodies |
|
$495.00 | Add Ask | ||
| 3 | Leading Biology | APR12422G | Human H4 Histamine Receptor (extracellular) Antibody | 50 μl | Polyclonal Antibodies |
|
$695.00 | Add Ask | ||
| 4 | Leading Biology | APR03844G | UBE2W Antibody (C-term) | 100 μl | Polyclonal Antibodies |
|
$495.00 | Add Ask | ||
| 5 | Leading Biology | APR04349G | HECTD2 Antibody (N-term) | 100 μl | Polyclonal Antibodies |
|
$495.00 | Add Ask | ||
| 6 | Leading Biology | APR03502G | IGHG1 Antibody (Center) | 100 μl | Polyclonal Antibodies |
|
$495.00 | Add Ask |
Leading Biology Inc.
2600 Hilltop DR, Building G, B Suite C138
Richmond, CA, 94806
Tel: 1-661-524(LBI)-0262
Email: info@leadingbiology.com
Complete this form and click send to ask us a question, request a quote or simply say hello.

You have 0 item in your cart

You have 0 item in your inquiry list