> Antigen, Antibodies, ELISA, Western Blot > Primary Antibody > Polyclonal Antibodies > CX3CR1 AntibodyBrand |
Leading Biology | Catalog Number |
APR06258G |
Product Type |
Polyclonal Antibodies | Field of Research |
|
Product Overview |
We constantly strive to ensure we provide our customers with the best antibodies. As a result of this work we offer this antibody in purified format.
We are in the process of updating our datasheets. If you have any questions regarding this update, please feel free to contact our technical support team.
This product is a high quality CX3CR1 Antibody.
|
||
Molecular Weight |
Predicted: 39, 43 kDa Observed: 50 kDa
|
||
Cellular Localization |
Antigen Cellular Localization:
Cell membrane; Multi-pass membrane protein.
|
||
Host |
Rabbit
|
||
Species Reactivity |
Human
|
||
Target |
CX3CR1; At least two isoforms of CX3CR1 are known to exist.
|
||
Isotype |
IgG
|
||
Symbol |
CMKBRL1, GPR13
|
||
GeneID |
|||
UniProt ID |
|||
Function |
Receptor for the CX3C chemokine fractalkine and mediates both its adhesive and migratory functions. Acts as coreceptor with CD4 for HIV-1 virus envelope protein (in vitro). Isoform 2 and isoform 3 seem to be more potent HIV-1 coreceptors than isoform 1.
|
||
Summary |
CX3CR1 Antibody: CX3CR1 is one of the chemokine receptors that are required as coreceptors for HIV infection. The genes encoding human, mouse, and rat CX3CR1 were cloned and designated V28 and CMKBRL1, CX3CR1, and RBS11, respectively. The encoded seven transmembrane protein was initially identified as the receptor for the transmembrane molecule fractalkine, and renamed CX3CR1. CX3CR1 is known to serve as a coreceptor for HIV-1 and HIV-2 envelope fusion and virus infection, which can be inhibited by fractokine. CX3CR1 mediates leukocyte migration and adhesion. CX3CR1 is expressed in a variety of human tissues and cell lines.
|
||
Storage & Stability |
Store at +4°C short term. For long-term storage, aliquot and store at -20°C or below. Stable for 12 months at -20°C. Avoid repeated freeze-thaw cycles.
|
||
Applications |
WB, IHC-P, IF, E
|
||
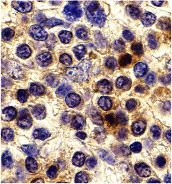
Images |
Western blot analysis of CX3CR1 in THP-1 cell lysate with CX3CR1 antibody at 1 μg/mL in (A) the absence and (B) the presence of blocking peptide.
Immunohistochemistry of CX3CR1 in human spleen cells with CX3CR1 antibody at 10 μg/mL.
Immunofluorescence of CX3CR1 in THP-1 cells with CX3CR1 antibody at 20 μg/mL. |
||
Specification |
|||
Quantity |
|
||
| Select | Brand | Catalog No. | Product Name | Pack Size | Type | Field of Research | Specification | Quantity | Price(USD) | |
| 1 | Leading Biology | APR03440G | ITGA11 Antibody (N-term) | 100 μl | Polyclonal Antibodies |
|
$495.00 | Add Ask | ||
| 2 | Leading Biology | APR04537G | CMIP Antibody (C-term) | 100 μl | Polyclonal Antibodies |
|
$495.00 | Add Ask | ||
| 3 | Leading Biology | APR12422G | Human H4 Histamine Receptor (extracellular) Antibody | 50 μl | Polyclonal Antibodies |
|
$695.00 | Add Ask | ||
| 4 | Leading Biology | APR03844G | UBE2W Antibody (C-term) | 100 μl | Polyclonal Antibodies |
|
$495.00 | Add Ask | ||
| 5 | Leading Biology | APR04349G | HECTD2 Antibody (N-term) | 100 μl | Polyclonal Antibodies |
|
$495.00 | Add Ask | ||
| 6 | Leading Biology | APR03502G | IGHG1 Antibody (Center) | 100 μl | Polyclonal Antibodies |
|
$495.00 | Add Ask |
Leading Biology Inc.
2600 Hilltop DR, Building G, B Suite C138
Richmond, CA, 94806
Tel: 1-661-524(LBI)-0262
Email: info@leadingbiology.com
Complete this form and click send to ask us a question, request a quote or simply say hello.

You have 0 item in your cart

You have 0 item in your inquiry list