> Antigen, Antibodies, ELISA, Western Blot > Primary Antibody > Polyclonal Antibodies > CAD AntibodyBrand |
Leading Biology | Catalog Number |
APR06236G |
Product Type |
Polyclonal Antibodies | Field of Research |
|
Product Overview |
We constantly strive to ensure we provide our customers with the best antibodies. As a result of this work we offer this antibody in purified format.
We are in the process of updating our datasheets. If you have any questions regarding this update, please feel free to contact our technical support team.
This product is a high quality CAD Antibody.
|
||
Molecular Weight |
40 kDa
|
||
Cellular Localization |
Antigen Cellular Localization:
Cytoplasm. Nucleus.
|
||
Host |
Rabbit
|
||
Species Reactivity |
Mouse, Rat
|
||
Target |
Dffb;
|
||
Isotype |
IgG
|
||
Symbol |
Cad
|
||
GeneID |
|||
UniProt ID |
|||
Function |
Nuclease that induces DNA fragmentation and chromatin condensation during apoptosis. Degrades naked DNA and induces apoptotic morphology.
|
||
Summary |
CAD Antibody: Apoptosis is related to many diseases and induced by a family of cell death receptors and their ligands. Cell death signals are transduced by death domain containing adapter molecules and members of the caspase family of proteases. These death signals finally cause the degradation of chromosomal DNA by activated DNase. A mouse DNase that causes DNA fragmentation was identified recently and designated CAD (for caspase activated deoxyribonuclease). The human homologue of mouse CAD was more recently identified by two groups independently and termed CPAN and DFF40. Human DFF45 and its mouse homologue ICAD are the inhibitors of CPAN/DFF40 and CAD, respectively. Upon cleavage of DFF45/ICAD by activated caspase, DFF40/CAD is released and activated and eventually causes the degradation of DNA in the nuclei. Activation of CAD/DFF40, which causes DNA degradation, is the hallmark of apoptotic cell death.
|
||
Storage & Stability |
Store at +4°C short term. For long-term storage, aliquot and store at -20°C or below. Stable for 12 months at -20°C. Avoid repeated freeze-thaw cycles.
|
||
Applications |
WB, IHC-P, IF, E
|
||
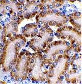
Images |
Western blot analysis of CAD in mouse kidney tissue lysate with CAD antibody at 2 μg/mL.
Immunohistochemistry of CAD in mouse kidney tissue with CAD antibody at 2 μg/mL.
Immunofluorescence of CAD in Mouse Kidney cells with CAD antibody at 10 μg/mL. |
||
Specification |
|||
Quantity |
|
||
| Select | Brand | Catalog No. | Product Name | Pack Size | Type | Field of Research | Specification | Quantity | Price(USD) | |
| 1 | Leading Biology | APR03440G | ITGA11 Antibody (N-term) | 100 μl | Polyclonal Antibodies |
|
$495.00 | Add Ask | ||
| 2 | Leading Biology | APR04537G | CMIP Antibody (C-term) | 100 μl | Polyclonal Antibodies |
|
$495.00 | Add Ask | ||
| 3 | Leading Biology | APR12422G | Human H4 Histamine Receptor (extracellular) Antibody | 50 μl | Polyclonal Antibodies |
|
$695.00 | Add Ask | ||
| 4 | Leading Biology | APR03844G | UBE2W Antibody (C-term) | 100 μl | Polyclonal Antibodies |
|
$495.00 | Add Ask | ||
| 5 | Leading Biology | APR04349G | HECTD2 Antibody (N-term) | 100 μl | Polyclonal Antibodies |
|
$495.00 | Add Ask | ||
| 6 | Leading Biology | APR03502G | IGHG1 Antibody (Center) | 100 μl | Polyclonal Antibodies |
|
$495.00 | Add Ask |
Leading Biology Inc.
2600 Hilltop DR, Building G, B Suite C138
Richmond, CA, 94806
Tel: 1-661-524(LBI)-0262
Email: info@leadingbiology.com
Complete this form and click send to ask us a question, request a quote or simply say hello.

You have 0 item in your cart

You have 0 item in your inquiry list