> Antigen, Antibodies, ELISA, Western Blot > Primary Antibody > Polyclonal Antibodies > ICAD AntibodyBrand |
Leading Biology | Catalog Number |
APR06234G |
Product Type |
Polyclonal Antibodies | Field of Research |
|
Product Overview |
We constantly strive to ensure we provide our customers with the best antibodies. As a result of this work we offer this antibody in purified format.
We are in the process of updating our datasheets. If you have any questions regarding this update, please feel free to contact our technical support team.
This product is a high quality ICAD Antibody.
|
||
Molecular Weight |
45 kDa
|
||
Cellular Localization |
Antigen Cellular Localization:
Cytoplasm.
|
||
Host |
Rabbit
|
||
Species Reactivity |
Mouse
|
||
Target |
Dffa;
|
||
Isotype |
IgG
|
||
Symbol |
Icad
|
||
GeneID |
|||
UniProt ID |
|||
Function |
Inhibitor of the caspase-activated DNase (DFF40).
|
||
Summary |
ICAD Antibody: Apoptosis is related to many diseases and induced by a family of cell death receptors and their ligands. Cell death signals are transduced by death domain containing adapter molecules and members of the caspase family of proteases. These death signals finally cause the degradation of chromosomal DNA by activated DNase. A human DNA fragmentation factor (DFF) was identified recently which is cleaved by caspase-3 during apoptosis. Mouse homologue of human DFF was identified as a DNase inhibitor designated ICAD, for inhibitor of caspase-activated DNase. Upon cleavage of DFF/ICAD, a caspase activated deoxyribonuclease (CAD) is released and activated and eventually causes the degradation of DNA in the nuclei. Therefore, the cleavage of CAD inhibitor molecule DFF/ICAD, which causes DNase activation and DNA degradation, is the hallmark of apoptotic cell death.
|
||
Storage & Stability |
Store at +4°C short term. For long-term storage, aliquot and store at -20°C or below. Stable for 12 months at -20°C. Avoid repeated freeze-thaw cycles.
|
||
Applications |
WB, IHC-P, IF, E
|
||
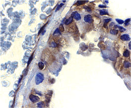
Images |
Western blot analysis of ICAD in mouse lung tissue lysate with ICAD antibody at 1 μg/mL.
Immunohistochemistry of ICAD in mouse lung tissue with ICAD antibody at 2 μg/mL.
Immunofluorescence of ICAD in Mouse Lung cells with ICAD antibody at 10 μg/mL. |
||
Specification |
|||
Quantity |
|
||
| Select | Brand | Catalog No. | Product Name | Pack Size | Type | Field of Research | Specification | Quantity | Price(USD) | |
| 1 | Leading Biology | APR03440G | ITGA11 Antibody (N-term) | 100 μl | Polyclonal Antibodies |
|
$495.00 | Add Ask | ||
| 2 | Leading Biology | APR04537G | CMIP Antibody (C-term) | 100 μl | Polyclonal Antibodies |
|
$495.00 | Add Ask | ||
| 3 | Leading Biology | APR12422G | Human H4 Histamine Receptor (extracellular) Antibody | 50 μl | Polyclonal Antibodies |
|
$695.00 | Add Ask | ||
| 4 | Leading Biology | APR03844G | UBE2W Antibody (C-term) | 100 μl | Polyclonal Antibodies |
|
$495.00 | Add Ask | ||
| 5 | Leading Biology | APR04349G | HECTD2 Antibody (N-term) | 100 μl | Polyclonal Antibodies |
|
$495.00 | Add Ask | ||
| 6 | Leading Biology | APR03502G | IGHG1 Antibody (Center) | 100 μl | Polyclonal Antibodies |
|
$495.00 | Add Ask |
Leading Biology Inc.
2600 Hilltop DR, Building G, B Suite C138
Richmond, CA, 94806
Tel: 1-661-524(LBI)-0262
Email: info@leadingbiology.com
Complete this form and click send to ask us a question, request a quote or simply say hello.

You have 0 item in your cart

You have 0 item in your inquiry list