> Antigen, Antibodies, ELISA, Western Blot > Primary Antibody > Polyclonal Antibodies > beta2-Adrenoceptor (extracellular) AntibodyBrand |
Leading Biology | Catalog Number |
APR00513G |
Product Type |
Polyclonal Antibodies | Field of Research |
|
Product Overview |
We constantly strive to ensure we provide our customers with the best antibodies. As a result of this work we offer this antibody in purified format.
We are in the process of updating our datasheets. If you have any questions regarding this update, please feel free to contact our technical support team.
This product is a high quality beta2-Adrenoceptor (extracellular) Antibody.
|
||
Molecular Weight |
46998 Da
|
||
Host |
Rabbit
|
||
Species Reactivity |
Mouse, Rat
|
||
Target |
Peptide (C)NGSRAPDHDVTQERDE, corresponding to amino acid residues 15-30 of? mouse ??2-Adrenoceptor (Accession ?P18762).?? Extracellular, N-terminus.
|
||
GeneID |
|||
UniProt ID |
|||
Summary |
Adrenoceptors (also called adrenergic receptors) are the receptors for the catecholamines adrenaline and noradrenaline (called epinephrine and norepinephrine in the United States).Adrenaline and noradrenaline play important roles in the control of blood pressure, myocardial contractile rate and force, airway reactivity, and a variety of metabolic and central nervous system functions. The Adrenoceptors are members of the G-protein-coupled receptor (GPCR) superfamily of membrane proteins. They share a common structure of seven putative transmembrane domains, an extracellular amino terminus, and a cytoplasmic carboxyl terminus.The Adrenoceptors are divided into three types: α1, α2 and β-Adrenoceptors. Each type is further divided into at least three subtypes: α1A, α1B, α1D, α2A, α2B, α2C, β1, β2, β3. 1,2 The Adrenoceptors are expressed in nearly all peripheral tissues and in the central nervous system.1,2 β2-Adrenoceptors are mainly postsynaptic receptors. They are expressed on a number of tissues including blood vessels, bronchi, gastrointestinal tract (GIT), skeletal muscle, liver and mast cell.3 Functional β2-Adrenoceptors were also found on lymphocytes, macrophages and neutrophils.4,5 They are also the only β-Adrenoceptor subtype expressed in keratinocytes, fibroblasts and melanocytes.3 Activation of β2-Adrenoceptors results in vasodilation, relaxation of the GIT, inhibition of histamine release from mast cells and bronchodilation. Selective agonists of β2-Adrenoceptors are used to treat asthma and other related bronchospastic conditions such as Chronic obstructive pulmonary disease (COPD).5 Abgent is pleased to offer a highly specific antibody directed against an extracellular epitope of the mouse β2-Adrenoceptor. Anti-β2-Adrenoceptor (extracellular) antibody (#AG1380) can be used in western blot and immunohistochemistry applications. It has been designed to recognize β2-Adrenoceptor from mouse, rat and human samples.
|
||
Form |
Liquid. Purified antibody supplied in 1x PBS buffer with 0.09% (w/v) sodium azide and 2% sucrose. |
||
Storage & Stability |
Store at +4°C short term. For long-term storage, aliquot and store at -20°C or below. Stable for 12 months at -20°C. Avoid repeated freeze-thaw cycles.
|
||
Applications |
WB, IHC
|
||
Dilution |
WB~~1:200-1:2000
IHC~~1:100
|
||
Images |
Western blot analysis of rat heart (lanes 1 and 3) and lung (lanes 2 and 4) lysates: 1, 3. Anti-β2-Adrenoceptor (extracellular) antibody (APR00513G), (1:200). 2, 4. Anti-β2-Adrenoceptor (extracellular) antibody, preincubated with the control peptide antigen.
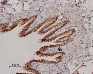
Expression of β2-Adrenoceptor in rat lung Immunohistochemical staining of paraffin-embedded section of rat lung using Anti-?2-Adrenoceptor (extracellular) antibody (APR00513G), (1:100). ?2-Adrenoceptor is expressed in the respiratory epithelium. Hematoxilin is used as the counterstain. |
||
Specification |
|||
Quantity |
|
||
| Select | Brand | Catalog No. | Product Name | Pack Size | Type | Field of Research | Specification | Quantity | Price(USD) | |
| 1 | Leading Biology | APR03440G | ITGA11 Antibody (N-term) | 100 μl | Polyclonal Antibodies |
|
$495.00 | Add Ask | ||
| 2 | Leading Biology | APR04537G | CMIP Antibody (C-term) | 100 μl | Polyclonal Antibodies |
|
$495.00 | Add Ask | ||
| 3 | Leading Biology | APR12422G | Human H4 Histamine Receptor (extracellular) Antibody | 50 μl | Polyclonal Antibodies |
|
$695.00 | Add Ask | ||
| 4 | Leading Biology | APR03844G | UBE2W Antibody (C-term) | 100 μl | Polyclonal Antibodies |
|
$495.00 | Add Ask | ||
| 5 | Leading Biology | APR04349G | HECTD2 Antibody (N-term) | 100 μl | Polyclonal Antibodies |
|
$495.00 | Add Ask | ||
| 6 | Leading Biology | APR03502G | IGHG1 Antibody (Center) | 100 μl | Polyclonal Antibodies |
|
$495.00 | Add Ask |
Leading Biology Inc.
2600 Hilltop DR, Building G, B Suite C138
Richmond, CA, 94806
Tel: 1-661-524(LBI)-0262
Email: info@leadingbiology.com
Complete this form and click send to ask us a question, request a quote or simply say hello.

You have 0 item in your cart

You have 0 item in your inquiry list