> Antigen, Antibodies, ELISA, Western Blot > Primary Antibody > Polyclonal Antibodies > P2X3 (extracellular) AntibodyBrand |
Leading Biology | Catalog Number |
APR00492G |
Product Type |
Polyclonal Antibodies | Field of Research |
|
Product Overview |
We constantly strive to ensure we provide our customers with the best antibodies. As a result of this work we offer this antibody in purified format.
We are in the process of updating our datasheets. If you have any questions regarding this update, please feel free to contact our technical support team.
This product is a high quality P2X3 (extracellular) Antibody.
|
||
Molecular Weight |
44392 Da
|
||
Host |
Rabbit
|
||
Species Reactivity |
Mouse, Rat
|
||
Target |
Peptide (C)KGFGRYANRVMDVSD, corresponding to amino acid residues 65-79 of rat P2X3 Receptor (Accession P49654). Extracellular.
|
||
GeneID |
|||
UniProt ID |
|||
Summary |
The P2X3 receptor belongs to the ligand-gated ion channel P2X family, that consists of seven receptor subtypes named P2X1-P2X7 and is activated by extracellular ATP 1-3.All P2X subunits, with the exception of P2X6, can assemble to form homomeric or heteromeric functional channels4,5. The different P2X receptors show distinct expression patterns. P2X1-6 has been found in the central and peripheral nervous system, while the P2X7 receptor is predominantly found in cells of the immune system. The P2X3 receptor is highly expressed on nociceptive sensory neurons in dorsal root ganglia (DRG) as a homomer or as a heteromer (P2X3/P2X2). ATP released from damaged cells activates the P2X3 receptor to initiate nociceptive signals6,7. Involvement of ATP in the mechanism of chronic pain has been also suggested7,8. P2X3 receptor is now becoming a possible target for the development of pain therapeutics.Abgent is pleased to offer a highly specific antibody directed against an extracellular epitope of rat P2X3 receptor. Anti-P2X3 Receptor (extracellular) antibody (#AG1060) can be used in western blot immunohistochemical and immunocytochemical applications. It has been designed to recognize P2X3 receptor from rat, mouse, and human samples.
|
||
Form |
Liquid. Purified antibody supplied in 1x PBS buffer with 0.09% (w/v) sodium azide and 2% sucrose. |
||
Storage & Stability |
Store at +4°C short term. For long-term storage, aliquot and store at -20°C or below. Stable for 12 months at -20°C. Avoid repeated freeze-thaw cycles.
|
||
Applications |
WB, LCI
|
||
Dilution |
WB~~1:200-1:2000
ICC~~1:50
|
||
Images |
Western blot analysis of rat DRG: 1. Anti-P2X3 Receptor (extracellular) antibody (APR00492G), (1:200). 2. Anti-P2X3 Receptor (extracellular) antibody, preincubated with the control peptide antigen.
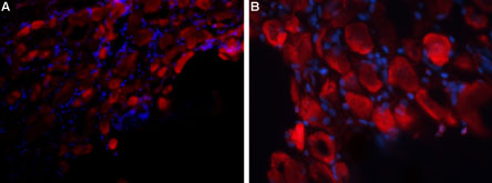
Expression of P2X3 Receptor in rat DRG Immunohistochemical staining of rat dorsal root ganglion (DRG) frozen sections using Anti-P2X3 Receptor (extracellular) antibody (APR00492G), followed by anti-rabbit-AlexaFluor-594 secondary antibody. P2X3 Receptor staining (red) appears in neuronal cell bodies. DAPI was used as the counter stain (blue). A. X20 magnification. B. X40 magnification.
Expression of P2X3 Receptor in rat PC12 cells Immunocytochemical staining of intact living rat pheochromocytoma (PC12) cells. A. Extracellular staining with Anti-P2X3 Receptor (extracellular) antibody (APR00492G), (1:50, red) followed by goat anti-rabbit-AlexaFluor-594 secondary antibody. B. DAPI was used as the counter stain (blue). C. Merge images of A and B. |
||
Specification |
|||
Quantity |
|
||
| Select | Brand | Catalog No. | Product Name | Pack Size | Type | Field of Research | Specification | Quantity | Price(USD) | |
| 1 | Leading Biology | APR03440G | ITGA11 Antibody (N-term) | 100 μl | Polyclonal Antibodies |
|
$495.00 | Add Ask | ||
| 2 | Leading Biology | APR04537G | CMIP Antibody (C-term) | 100 μl | Polyclonal Antibodies |
|
$495.00 | Add Ask | ||
| 3 | Leading Biology | APR12422G | Human H4 Histamine Receptor (extracellular) Antibody | 50 μl | Polyclonal Antibodies |
|
$695.00 | Add Ask | ||
| 4 | Leading Biology | APR03844G | UBE2W Antibody (C-term) | 100 μl | Polyclonal Antibodies |
|
$495.00 | Add Ask | ||
| 5 | Leading Biology | APR04349G | HECTD2 Antibody (N-term) | 100 μl | Polyclonal Antibodies |
|
$495.00 | Add Ask | ||
| 6 | Leading Biology | APR03502G | IGHG1 Antibody (Center) | 100 μl | Polyclonal Antibodies |
|
$495.00 | Add Ask |
Leading Biology Inc.
2600 Hilltop DR, Building G, B Suite C138
Richmond, CA, 94806
Tel: 1-661-524(LBI)-0262
Email: info@leadingbiology.com
Complete this form and click send to ask us a question, request a quote or simply say hello.

You have 0 item in your cart

You have 0 item in your inquiry list