> Antigen, Antibodies, ELISA, Western Blot > Primary Antibody > Polyclonal Antibodies > DCUN1D1 antibody - N-terminal regionBrand |
Leading Biology | Catalog Number |
APR00847G |
Product Type |
Polyclonal Antibodies | Field of Research |
|
Product Overview |
We constantly strive to ensure we provide our customers with the best antibodies. As a result of this work we offer this antibody in purified format.
We are in the process of updating our datasheets. If you have any questions regarding this update, please feel free to contact our technical support team.
This product is a high quality DCUN1D1 antibody - N-terminal region.
|
||
Molecular Weight |
28kDa
|
||
Host |
Rabbit
|
||
Species Reactivity |
Human, Mouse, Rat, Rabbit, Horse, Bovine, Guinea Pig, Dog
|
||
Symbol |
DCUN1L1, RP42, SCCRO
|
||
GeneID |
|||
UniProt ID |
|||
Function |
Part of an E3 ubiquitin ligase complex for neddylation. Required for neddylation of cullin components of E3 cullin-RING ubiquitin ligase complexes by enhancing the rate of cullins neddylation. Functions to recruit the NEDD8-charged E2 enzyme to the cullin component. Involved in the release of inhibitory effets of CAND1 on cullin-RING ligase E3 complex assembly and activity. Acts also as an oncogene facilitating malignant transformation and carcinogenic progression (By similarity).
|
||
Form |
Liquid |
||
Storage & Stability |
Store at +4°C short term. For long-term storage, aliquot and store at -20°C or below. Stable for 12 months at -20°C. Avoid repeated freeze-thaw cycles.
|
||
Applications |
WB, IHC
|
||
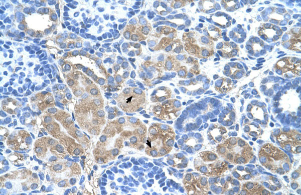
Images |
Human kidney
WB Suggested Anti-DCUN1D1 Antibody Titration: 0.2-1 μg/ml Positive Control: Jurkat cell lysateDCUN1D1 is supported by BioGPS gene expression data to be expressed in Jurkat |
||
Specification |
|||
Quantity |
|
||
| Select | Brand | Catalog No. | Product Name | Pack Size | Type | Field of Research | Specification | Quantity | Price(USD) | |
| 1 | Leading Biology | APR03440G | ITGA11 Antibody (N-term) | 100 μl | Polyclonal Antibodies |
|
$495.00 | Add Ask | ||
| 2 | Leading Biology | APR04537G | CMIP Antibody (C-term) | 100 μl | Polyclonal Antibodies |
|
$495.00 | Add Ask | ||
| 3 | Leading Biology | APR12422G | Human H4 Histamine Receptor (extracellular) Antibody | 50 μl | Polyclonal Antibodies |
|
$695.00 | Add Ask | ||
| 4 | Leading Biology | APR03844G | UBE2W Antibody (C-term) | 100 μl | Polyclonal Antibodies |
|
$495.00 | Add Ask | ||
| 5 | Leading Biology | APR04349G | HECTD2 Antibody (N-term) | 100 μl | Polyclonal Antibodies |
|
$495.00 | Add Ask | ||
| 6 | Leading Biology | APR03502G | IGHG1 Antibody (Center) | 100 μl | Polyclonal Antibodies |
|
$495.00 | Add Ask |
Leading Biology Inc.
2600 Hilltop DR, Building G, B Suite C138
Richmond, CA, 94806
Tel: 1-661-524(LBI)-0262
Email: info@leadingbiology.com
Complete this form and click send to ask us a question, request a quote or simply say hello.

You have 0 item in your cart

You have 0 item in your inquiry list