> Antigen, Antibodies, ELISA, Western Blot > Primary Antibody > Polyclonal Antibodies > RBM38 antibody - N-terminal regionBrand |
Leading Biology | Catalog Number |
APR00789G |
Product Type |
Polyclonal Antibodies | Field of Research |
|
Product Overview |
We constantly strive to ensure we provide our customers with the best antibodies. As a result of this work we offer this antibody in purified format.
We are in the process of updating our datasheets. If you have any questions regarding this update, please feel free to contact our technical support team.
This product is a high quality RBM38 antibody - N-terminal region.
|
||
Molecular Weight |
26kDa
|
||
Cellular Localization |
Antigen Cellular Localization:
Cytoplasm, cytosol. Nucleus
|
||
Host |
Rabbit
|
||
Species Reactivity |
Human, Mouse, Rat, Zebrafish, Pig, Bovine, Dog
|
||
Symbol |
RNPC1, SEB4
|
||
GeneID |
|||
UniProt ID |
|||
Function |
RNA-binding protein that specifically bind the 3'-UTR of CDKN1A transcripts, leading to maintain the stability of CDKN1A transcripts, thereby acting as a mediator of the p53/TP53 family to regulate CDKN1A. CDKN1A is a cyclin-dependent kinase inhibitor transcriptionally regulated by the p53/TP53 family to induce cell cycle arrest. Isoform 1, but not isoform 2, has the ability to induce cell cycle arrest in G1 and maintain the stability of CDKN1A transcripts induced by p53/TP53. Also acts as a mRNA splicing factor. Specifically regulates the expression of FGFR2- IIIb, an epithelial cell-specific isoform of FGFR2. Plays a role in myogenic differentiation.
|
||
Form |
Liquid |
||
Storage & Stability |
Store at +4°C short term. For long-term storage, aliquot and store at -20°C or below. Stable for 12 months at -20°C. Avoid repeated freeze-thaw cycles.
|
||
Applications |
WB, IHC
|
||
Images |
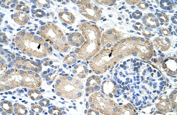
Rabbit Anti-RBM38 Antibody Paraffin Embedded Tissue: Human Kidney Cellular Data: Epithelial cells of renal tubule Antibody Concentration: 4.0-8.0 μg/ml Magnification: 400X
WB Suggested Anti-RBM38 Antibody Titration: 0.2-1 μg/ml Positive Control: RPMI 8226 cell lysateRBM38 is supported by BioGPS gene expression data to be expressed in RPMI 8226 |
||
Specification |
|||
Quantity |
|
||
| Select | Brand | Catalog No. | Product Name | Pack Size | Type | Field of Research | Specification | Quantity | Price(USD) | |
| 1 | Leading Biology | APR03440G | ITGA11 Antibody (N-term) | 100 μl | Polyclonal Antibodies |
|
$495.00 | Add Ask | ||
| 2 | Leading Biology | APR04537G | CMIP Antibody (C-term) | 100 μl | Polyclonal Antibodies |
|
$495.00 | Add Ask | ||
| 3 | Leading Biology | APR12422G | Human H4 Histamine Receptor (extracellular) Antibody | 50 μl | Polyclonal Antibodies |
|
$695.00 | Add Ask | ||
| 4 | Leading Biology | APR03844G | UBE2W Antibody (C-term) | 100 μl | Polyclonal Antibodies |
|
$495.00 | Add Ask | ||
| 5 | Leading Biology | APR04349G | HECTD2 Antibody (N-term) | 100 μl | Polyclonal Antibodies |
|
$495.00 | Add Ask | ||
| 6 | Leading Biology | APR03502G | IGHG1 Antibody (Center) | 100 μl | Polyclonal Antibodies |
|
$495.00 | Add Ask |
Leading Biology Inc.
2600 Hilltop DR, Building G, B Suite C138
Richmond, CA, 94806
Tel: 1-661-524(LBI)-0262
Email: info@leadingbiology.com
Complete this form and click send to ask us a question, request a quote or simply say hello.

You have 0 item in your cart

You have 0 item in your inquiry list