> Antigen, Antibodies, ELISA, Western Blot > Primary Antibody > Polyclonal Antibodies > RAE1 antibody - C-terminal regionBrand |
Leading Biology | Catalog Number |
APR00781G |
Product Type |
Polyclonal Antibodies | Field of Research |
|
Product Overview |
We constantly strive to ensure we provide our customers with the best antibodies. As a result of this work we offer this antibody in purified format.
We are in the process of updating our datasheets. If you have any questions regarding this update, please feel free to contact our technical support team.
This product is a high quality RAE1 antibody - C-terminal region.
|
||
Molecular Weight |
40kDa
|
||
Cellular Localization |
Antigen Cellular Localization:
Cytoplasm. Nucleus
|
||
Host |
Rabbit
|
||
Species Reactivity |
Human, Mouse, Rat, Rabbit, Zebrafish, Pig, Horse, Bovine, Dog
|
||
Symbol |
MRNP41
|
||
GeneID |
|||
UniProt ID |
|||
Function |
Binds mRNA. May function in nucleocytoplasmic transport and in directly or indirectly attaching cytoplasmic mRNPs to the cytoskeleton.
|
||
Form |
Liquid |
||
Storage & Stability |
Store at +4°C short term. For long-term storage, aliquot and store at -20°C or below. Stable for 12 months at -20°C. Avoid repeated freeze-thaw cycles.
|
||
Applications |
WB, IHC
|
||
Images |
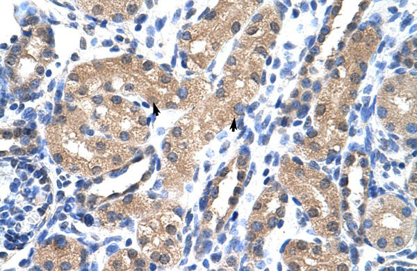
Rabbit Anti-RAE1 Antibody Paraffin Embedded Tissue: Human Kidney Cellular Data: Epithelial cells of renal tubule Antibody Concentration: 4.0-8.0 μg/ml Magnification: 400X
WB Suggested Anti-RAE1 Antibody Titration: 0.2-1 μg/ml ELISA Titer: 1:312500 Positive Control: Jurkat cell lysateRAE1 is strongly supported by BioGPS gene expression data to be expressed in Human Jurkat cells |
||
Specification |
|||
Quantity |
|
||
| Select | Brand | Catalog No. | Product Name | Pack Size | Type | Field of Research | Specification | Quantity | Price(USD) | |
| 1 | Leading Biology | APR03440G | ITGA11 Antibody (N-term) | 100 μl | Polyclonal Antibodies |
|
$495.00 | Add Ask | ||
| 2 | Leading Biology | APR04537G | CMIP Antibody (C-term) | 100 μl | Polyclonal Antibodies |
|
$495.00 | Add Ask | ||
| 3 | Leading Biology | APR12422G | Human H4 Histamine Receptor (extracellular) Antibody | 50 μl | Polyclonal Antibodies |
|
$695.00 | Add Ask | ||
| 4 | Leading Biology | APR03844G | UBE2W Antibody (C-term) | 100 μl | Polyclonal Antibodies |
|
$495.00 | Add Ask | ||
| 5 | Leading Biology | APR04349G | HECTD2 Antibody (N-term) | 100 μl | Polyclonal Antibodies |
|
$495.00 | Add Ask | ||
| 6 | Leading Biology | APR03502G | IGHG1 Antibody (Center) | 100 μl | Polyclonal Antibodies |
|
$495.00 | Add Ask |
Leading Biology Inc.
2600 Hilltop DR, Building G, B Suite C138
Richmond, CA, 94806
Tel: 1-661-524(LBI)-0262
Email: info@leadingbiology.com
Complete this form and click send to ask us a question, request a quote or simply say hello.

You have 0 item in your cart

You have 0 item in your inquiry list