> Antigen, Antibodies, ELISA, Western Blot > Primary Antibody > Polyclonal Antibodies > SOX17 antibody - middle regionBrand |
Leading Biology | Catalog Number |
APR00762G |
Product Type |
Polyclonal Antibodies | Field of Research |
|
Product Overview |
We constantly strive to ensure we provide our customers with the best antibodies. As a result of this work we offer this antibody in purified format.
We are in the process of updating our datasheets. If you have any questions regarding this update, please feel free to contact our technical support team.
This product is a high quality SOX17 antibody - middle region.
|
||
Molecular Weight |
44kDa
|
||
Cellular Localization |
Antigen Cellular Localization:
Nucleus {ECO:0000255|PROSITE- ProRule:PRU00267}
|
||
Host |
Rabbit
|
||
Species Reactivity |
Human, Mouse, Rat, Pig, Dog
|
||
GeneID |
|||
UniProt ID |
|||
Function |
Acts as transcription regulator that binds target promoter DNA and bends the DNA. Binds to the sequences 5'- AACAAT-'3 or 5'-AACAAAG-3'. Modulates transcriptional regulation via WNT3A. Inhibits Wnt signaling. Promotes degradation of activated CTNNB1. Plays a key role in the regulation of embryonic development. Required for normal looping of the embryonic heart tube. Required for normal development of the definitive gut endoderm. Probable transcriptional activator in the premeiotic germ cells (By similarity).
|
||
Form |
Liquid |
||
Storage & Stability |
Store at +4°C short term. For long-term storage, aliquot and store at -20°C or below. Stable for 12 months at -20°C. Avoid repeated freeze-thaw cycles.
|
||
Applications |
WB, IHC
|
||
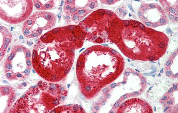
Images |
Rabbit Anti-SOX17 Antibody Paraffin Embedded Tissue: Human Kidney Antibody Concentration: 5 μg/ml
WB Suggested Anti-SOX17 Antibody Titration: 0.2-1 μg/ml ELISA Titer: 1:312500 Positive Control: Hela cell lysate |
||
Specification |
|||
Quantity |
|
||
| Select | Brand | Catalog No. | Product Name | Pack Size | Type | Field of Research | Specification | Quantity | Price(USD) | |
| 1 | Leading Biology | APR03440G | ITGA11 Antibody (N-term) | 100 μl | Polyclonal Antibodies |
|
$495.00 | Add Ask | ||
| 2 | Leading Biology | APR04537G | CMIP Antibody (C-term) | 100 μl | Polyclonal Antibodies |
|
$495.00 | Add Ask | ||
| 3 | Leading Biology | APR12422G | Human H4 Histamine Receptor (extracellular) Antibody | 50 μl | Polyclonal Antibodies |
|
$695.00 | Add Ask | ||
| 4 | Leading Biology | APR03844G | UBE2W Antibody (C-term) | 100 μl | Polyclonal Antibodies |
|
$495.00 | Add Ask | ||
| 5 | Leading Biology | APR04349G | HECTD2 Antibody (N-term) | 100 μl | Polyclonal Antibodies |
|
$495.00 | Add Ask | ||
| 6 | Leading Biology | APR03502G | IGHG1 Antibody (Center) | 100 μl | Polyclonal Antibodies |
|
$495.00 | Add Ask |
Leading Biology Inc.
2600 Hilltop DR, Building G, B Suite C138
Richmond, CA, 94806
Tel: 1-661-524(LBI)-0262
Email: info@leadingbiology.com
Complete this form and click send to ask us a question, request a quote or simply say hello.

You have 0 item in your cart

You have 0 item in your inquiry list