> Antigen, Antibodies, ELISA, Western Blot > Primary Antibody > Polyclonal Antibodies > LTA / TNF Beta Antibody (aa31-80)Brand |
Leading Biology | Catalog Number |
APR03307G |
Product Type |
Polyclonal Antibodies | Field of Research |
|
Product Overview |
We constantly strive to ensure we provide our customers with the best antibodies. As a result of this work we offer this antibody in purified format.
We are in the process of updating our datasheets. If you have any questions regarding this update, please feel free to contact our technical support team.
This product is a high quality LTA / TNF Beta Antibody (aa31-80).
|
||
Molecular Weight |
22297 Da
|
||
Cellular Localization |
Antigen Cellular Localization:
Secreted. Membrane. Note=The homotrimer is secreted. The heterotrimer is membrane-associated
|
||
Host |
Rabbit
|
||
Species Reactivity |
Human, Mouse, Rat
|
||
Target |
Human TNF Beta
|
||
Symbol |
TNFB, TNFSF1
|
||
GeneID |
|||
UniProt ID |
|||
Function |
Cytokine that in its homotrimeric form binds to TNFRSF1A/TNFR1, TNFRSF1B/TNFBR and TNFRSF14/HVEM. In its heterotrimeric form with LTB binds to TNFRSF3/LTBR. Lymphotoxin is produced by lymphocytes and cytotoxic for a wide range of tumor cells in vitro and in vivo.
|
||
Summary |
Cytokine that in its homotrimeric form binds to TNFRSF1A/TNFR1, TNFRSF1B/TNFBR and TNFRSF14/HVEM. In its heterotrimeric form with LTB binds to TNFRSF3/LTBR. Lymphotoxin is produced by lymphocytes and cytotoxic for a wide range of tumor cells in vitro and in vivo.
|
||
Storage & Stability |
Store at +4°C short term. For long-term storage, aliquot and store at -20°C or below. Stable for 12 months at -20°C. Avoid repeated freeze-thaw cycles.
|
||
Applications |
WB, IHC-P
|
||
Dilution |
IHC-P (10 μg/ml), WB (1:500 - 1:1000),
|
||
Images |
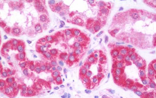
Anti-LTA / TNF Beta antibody IHC staining of human kidney.
Western blot of TNF- (H66) pAb in extracts from COS-7cells. |
||
Specification |
|||
Quantity |
|
||
| Select | Brand | Catalog No. | Product Name | Pack Size | Type | Field of Research | Specification | Quantity | Price(USD) | |
| 1 | Leading Biology | APR03440G | ITGA11 Antibody (N-term) | 100 μl | Polyclonal Antibodies |
|
$495.00 | Add Ask | ||
| 2 | Leading Biology | APR04537G | CMIP Antibody (C-term) | 100 μl | Polyclonal Antibodies |
|
$495.00 | Add Ask | ||
| 3 | Leading Biology | APR12422G | Human H4 Histamine Receptor (extracellular) Antibody | 50 μl | Polyclonal Antibodies |
|
$695.00 | Add Ask | ||
| 4 | Leading Biology | APR03844G | UBE2W Antibody (C-term) | 100 μl | Polyclonal Antibodies |
|
$495.00 | Add Ask | ||
| 5 | Leading Biology | APR04349G | HECTD2 Antibody (N-term) | 100 μl | Polyclonal Antibodies |
|
$495.00 | Add Ask | ||
| 6 | Leading Biology | APR03502G | IGHG1 Antibody (Center) | 100 μl | Polyclonal Antibodies |
|
$495.00 | Add Ask |
Leading Biology Inc.
2600 Hilltop DR, Building G, B Suite C138
Richmond, CA, 94806
Tel: 1-661-524(LBI)-0262
Email: info@leadingbiology.com
Complete this form and click send to ask us a question, request a quote or simply say hello.

You have 0 item in your cart

You have 0 item in your inquiry list