> Antigen, Antibodies, ELISA, Western Blot > Primary Antibody > Polyclonal Antibodies > STAG2 Antibody (aa1100-1150)Brand |
Leading Biology | Catalog Number |
APG01232G |
Product Type |
Polyclonal Antibodies | Field of Research |
|
Product Overview |
We constantly strive to ensure we provide our customers with the best antibodies. As a result of this work we offer this antibody in purified format.
We are in the process of updating our datasheets. If you have any questions regarding this update, please feel free to contact our technical support team.
This product is a high quality STAG2 Antibody (aa1100-1150).
|
||
Molecular Weight |
141kDa
|
||
Cellular Localization |
Antigen Cellular Localization:
Nucleus. Chromosome. Chromosome, centromere. Note=Associates with chromatin. Before prophase it is scattered along chromosome arms. During prophase, most of cohesin complexes dissociate from chromatin probably because of phosphorylation by PLK1, except at centromeres, where cohesin complexes remain. At anaphase, the RAD21 subunit of cohesin is cleaved, leading to the dissociation of the complex from chromosomes, allowing chromosome separation. In germ cells, cohesin complex dissociates from chromatin at prophase I, and may be replaced by a meiosis-specific cohesin complex
|
||
Host |
Goat
|
||
Species Reactivity |
Human, Mouse, Rat, Rabbit, Pig, Bovine, Dog
|
||
Target |
Region between residues 1100 and 1150 of human Stromal Antigen 2 using the numbering given in entry NP_006594.3 (GeneID 10735).
|
||
Symbol |
SA2
|
||
GeneID |
|||
UniProt ID |
|||
Function |
Component of cohesin complex, a complex required for the cohesion of sister chromatids after DNA replication. The cohesin complex apparently forms a large proteinaceous ring within which sister chromatids can be trapped. At anaphase, the complex is cleaved and dissociates from chromatin, allowing sister chromatids to segregate. The cohesin complex may also play a role in spindle pole assembly during mitosis.
|
||
Summary |
Component of cohesin complex, a complex required for the cohesion of sister chromatids after DNA replication. The cohesin complex apparently forms a large proteinaceous ring within which sister chromatids can be trapped. At anaphase, the complex is cleaved and dissociates from chromatin, allowing sister chromatids to segregate. The cohesin complex may also play a role in spindle pole assembly during mitosis.
|
||
Storage & Stability |
Store at +4°C short term. For long-term storage, aliquot and store at -20°C or below. Stable for 12 months at -20°C. Avoid repeated freeze-thaw cycles.
|
||
Applications |
WB, IHC-P, IF, ICC
|
||
Dilution |
ICC (1:500-1:2000), IF (1:500-1:2000), IHC-P (5 μg/ml), WB (1:1000-1:10000) ,
|
||
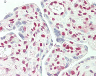
Images |
Detection of Human SA2 by Western Blot.
Immunocytochemical Localization of Human SA2.
Anti-STAG2 antibody IHC staining of human placenta. |
||
Specification |
|||
Quantity |
|
||
| Select | Brand | Catalog No. | Product Name | Pack Size | Type | Field of Research | Specification | Quantity | Price(USD) | |
| 1 | Leading Biology | APR03440G | ITGA11 Antibody (N-term) | 100 μl | Polyclonal Antibodies |
|
$495.00 | Add Ask | ||
| 2 | Leading Biology | APR04537G | CMIP Antibody (C-term) | 100 μl | Polyclonal Antibodies |
|
$495.00 | Add Ask | ||
| 3 | Leading Biology | APR12422G | Human H4 Histamine Receptor (extracellular) Antibody | 50 μl | Polyclonal Antibodies |
|
$695.00 | Add Ask | ||
| 4 | Leading Biology | APR03844G | UBE2W Antibody (C-term) | 100 μl | Polyclonal Antibodies |
|
$495.00 | Add Ask | ||
| 5 | Leading Biology | APR04349G | HECTD2 Antibody (N-term) | 100 μl | Polyclonal Antibodies |
|
$495.00 | Add Ask | ||
| 6 | Leading Biology | APR03502G | IGHG1 Antibody (Center) | 100 μl | Polyclonal Antibodies |
|
$495.00 | Add Ask |
Leading Biology Inc.
2600 Hilltop DR, Building G, B Suite C138
Richmond, CA, 94806
Tel: 1-661-524(LBI)-0262
Email: info@leadingbiology.com
Complete this form and click send to ask us a question, request a quote or simply say hello.

You have 0 item in your cart

You have 0 item in your inquiry list