> Antigen, Antibodies, ELISA, Western Blot > Primary Antibody > Polyclonal Antibodies > CENPU / MLF1IP Antibody (C-Terminus)Brand |
Leading Biology | Catalog Number |
APR03155G |
Product Type |
Polyclonal Antibodies | Field of Research |
|
Product Overview |
We constantly strive to ensure we provide our customers with the best antibodies. As a result of this work we offer this antibody in purified format.
We are in the process of updating our datasheets. If you have any questions regarding this update, please feel free to contact our technical support team.
This product is a high quality CENPU / MLF1IP Antibody (C-Terminus).
|
||
Molecular Weight |
48kDa
|
||
Cellular Localization |
Antigen Cellular Localization:
Cytoplasm. Nucleus. Chromosome, centromere, kinetochore. Note=Localizes in the kinetochore domain of centromeres. Colocalizes with PLK1 at the interzone between the inner and the outer kinetochore plates
|
||
Host |
Rabbit
|
||
Species Reactivity |
Human
|
||
Target |
A BLAST analysis was used to suggest cross-reactivity with MLF1IP protein from human, chimpanzee (98%), horse (72%), bovine (69%), dog (65%), mouse (56%), rat (55%) and chicken (47%) sources based on homology with the immunizing sequence. Reactivity ...
|
||
Symbol |
ICEN24, KLIP1, MLF1IP, PBIP1
|
||
GeneID |
|||
UniProt ID |
|||
Function |
Component of the CENPA-NAC (nucleosome-associated) complex, a complex that plays a central role in assembly of kinetochore proteins, mitotic progression and chromosome segregation. The CENPA-NAC complex recruits the CENPA-CAD (nucleosome distal) complex and may be involved in incorporation of newly synthesized CENPA into centromeres. Plays an important role in the correct PLK1 localization to the mitotic kinetochores. A scaffold protein responsible for the initial recruitment and maintenance of the kinetochore PLK1 population until its degradation. Involved in transcriptional repression.
|
||
Summary |
Component of the CENPA-NAC (nucleosome-associated) complex, a complex that plays a central role in assembly of kinetochore proteins, mitotic progression and chromosome segregation. The CENPA-NAC complex recruits the CENPA-CAD (nucleosome distal) complex and may be involved in incorporation of newly synthesized CENPA into centromeres. Plays an important role in the correct PLK1 localization to the mitotic kinetochores. A scaffold protein responsible for the initial recruitment and maintenance of the kinetochore PLK1 population until its degradation. Involved in transcriptional repression.
|
||
Storage & Stability |
Store at +4°C short term. For long-term storage, aliquot and store at -20°C or below. Stable for 12 months at -20°C. Avoid repeated freeze-thaw cycles.
|
||
Applications |
WB, IHC-P, E
|
||
Dilution |
ELISA (1:650000), IHC-P (5 μg/ml), WB (1:500-1:2000)
|
||
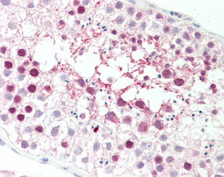
Images |
Anti-CENPU / MLF1IP antibody IHC staining of human testis. |
||
Specification |
|||
Quantity |
|
||
| Select | Brand | Catalog No. | Product Name | Pack Size | Type | Field of Research | Specification | Quantity | Price(USD) | |
| 1 | Leading Biology | APR03440G | ITGA11 Antibody (N-term) | 100 μl | Polyclonal Antibodies |
|
$495.00 | Add Ask | ||
| 2 | Leading Biology | APR04537G | CMIP Antibody (C-term) | 100 μl | Polyclonal Antibodies |
|
$495.00 | Add Ask | ||
| 3 | Leading Biology | APR12422G | Human H4 Histamine Receptor (extracellular) Antibody | 50 μl | Polyclonal Antibodies |
|
$695.00 | Add Ask | ||
| 4 | Leading Biology | APR03844G | UBE2W Antibody (C-term) | 100 μl | Polyclonal Antibodies |
|
$495.00 | Add Ask | ||
| 5 | Leading Biology | APR04349G | HECTD2 Antibody (N-term) | 100 μl | Polyclonal Antibodies |
|
$495.00 | Add Ask | ||
| 6 | Leading Biology | APR03502G | IGHG1 Antibody (Center) | 100 μl | Polyclonal Antibodies |
|
$495.00 | Add Ask |
Leading Biology Inc.
2600 Hilltop DR, Building G, B Suite C138
Richmond, CA, 94806
Tel: 1-661-524(LBI)-0262
Email: info@leadingbiology.com
Complete this form and click send to ask us a question, request a quote or simply say hello.

You have 0 item in your cart

You have 0 item in your inquiry list